Google News

Tự điều trị chấn thương sau tai nạn giao thông, người đàn ông nguy kịch

TPO - Cho rằng cơ thể chỉ bị xây xát nhẹ sau cú té xe, người đàn ông đã tự điều trị suốt 10 ngày nhưng cơn đau ngày càng dữ dội. Khi được gia đình đưa vào bệnh viện cấp cứu, bác sĩ phát hiện bệnh nhân bị vỡ lách, đối mặt nguy cơ tử vong.

Đó là trường hợp bệnh nhân N.V.D. (44 tuổi, ngụ tỉnh Tây Ninh) vừa được tiếp nhận điều trị tại Bệnh viện Đa khoa Xuyên Á. Ngày 22/11, BS-CKII Nguyễn Vũ An, Trưởng khoa Ngoại Tổng quát cho biết, thời điểm tiếp nhận cấp cứu, bệnh nhân trong tình trạng đau bụng nhiều, mạch nhanh, có dấu hiệu sốc mất máu.

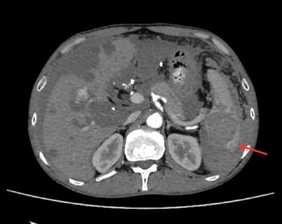
hinh-ct.jpg
Hình ảnh kiểm tra phát hiện vị trí lách của bệnh nhân bị vỡ

Theo bệnh sử, 10 ngày trước, anh D. gặp tai nạn giao thông trên đường đi làm về nhưng không đến bệnh viện kiểm tra vì cho rằng chấn thương không nghiêm trọng. Nhiều ngày sau, anh xuất hiện đau bụng âm ỉ và tìm đến cơ sở y tế tư nhân gần nhà để tiêm thuốc giảm đau. Tuy nhiên, tình trạng ngày càng nặng, cơn đau lan khắp bụng khiến anh không thể chịu đựng, trong đêm gia đình đã đưa người bệnh đi cấp cứu.

Ngay sau khi tiếp nhận bệnh nhân, các bác sĩ đã tiến hành truyền dịch, giảm đau và chỉ định chụp MSCT vùng bụng. Kết quả cho thấy, anh bị vỡ lách độ IV. Đây là tình trạng vỡ lách mức độ nặng, có nguy cơ chảy máu ồ ạt vào ổ bụng khiến bệnh nhân tử vong vì mất máu cấp.

Nhận định tình huống khẩn cấp, các bác sĩ đã tiến hành phẫu thuật ngay trong đêm. Khi phẫu thuật, bác sĩ ghi nhận khoảng 2 lít máu cục, máu tươi đã tràn ra ổ bụng bệnh nhân. Thám sát các bộ phận nội tạng, ê kíp phát hiện lách bệnh nhân bị vỡ thành nhiều mảnh.

hinh-ekip-phau-thuat1.jpg
Các bác sĩ đã thực hiện cuộc phẫu thuật giúp người bệnh qua nguy kịch

Ê kíp bác sĩ nhanh chóng kiểm soát cuống lách để cầm máu và cắt bỏ phần lách tổn thương. Trong suốt ca mổ kéo dài 2 giờ, bệnh nhân được truyền 4 đơn vị hồng cầu lắng để duy trì tuần hoàn. Ca phẫu thuật thành công, giúp bệnh nhân thoát khỏi nguy cơ tử vong cận kề. Sau phẫu thuật, sức khỏe bệnh nhân đang bình phục tốt.

BS Vũ An cho biết: “Lách là cơ quan giàu mạch máu, khi bị vỡ máu có thể chảy ồ ạt vào ổ bụng và khiến người bệnh nhanh chóng rơi vào sốc mất máu. Nếu người bệnh đến viện trễ hơn, nguy cơ mất máu nặng dẫn đến tử vong là rất cao”.

Theo bác sĩ, tai nạn giao thông hoặc chấn thương kín vùng bụng có thể gây tổn thương nội tạng nghiêm trọng nhưng không biểu hiện rõ ngay lập tức. Vì vậy, người dân không nên tự đánh giá chấn thương hay tự điều trị tại nhà. Việc thăm khám tại bệnh viện có đầy đủ trang thiết bị chẩn đoán hình ảnh và bác sĩ chuyên khoa sẽ giúp phát hiện kịp thời những tổn thương tiềm ẩn, tránh hậu quả đáng tiếc.