>> Gãy xương, gù lưng vì cặp siêu nặng
![]() |
| Bác sĩ Lĩnh đang băng cố định xương cho bé Anh - Ảnh: Vietnamnet.vn. |
Vác nặng đi bộ mỗi ngày 4 km
Trước mắt chúng tôi là một bé gái gầy gò, nhỏ bé, đứng nép đằng sau bố. Em ít nói nhưng ánh mắt em phần nào phản ánh lên sự lo sợ và đau đớn.
Hiện bé Anh đang là học sinh lớp 4 B, trường tiểu học Thới Thạnh, huyện Hóc Môn, TP.HCM. Gia đình bé Anh nghèo lắm, cả nhà trông vào đồng lương ít ỏi của người bố chạy xe ba gác thuê, mẹ của Anh do mới sinh nở nên phải ở nhà trông nom con mọn.
Người bố tâm sự: “Tội nghiệp con tôi lắm! Vì gia cảnh khó khăn, nhà có mỗi một chiếc xe máy cà tàng để cho tôi làm phương tiện đi làm từ sớm. Chính vì thế ngày nào cháu nó cũng phải đi bộ một quãng đường dài 4 km để đến trường. Hôm thứ 6 tuần rồi, thấy cháu đi học về mặt buồn thiu. Cháu ngồi xem ti vi được một lát thì than mệt và nói muốn đi nằm. Tôi lo quá, gọi điện thoại cho cô giáo chủ nhiệm vì nghĩ có thể do cháu bị cô la bởi làm bài kém. Tuy nhiên, cô giáo của cháu nói ở lớp không hề có chuyện gì cả. Đến sáng tôi vẫn thức dậy, đi làm từ 5 h. Khi đến chỗ làm, mẹ cháu gọi điện kêu về ngay. Tôi hốt hoảng chạy về thấy bên vai trái của cháu sưng húp, tím bầm. Cháu không thể cầm nắm hay dơ tay lên cao được.”
![]() |
| Vết thương do xương gãy vì đeo cặp sách nặng gây bầm tím - Ảnh: Vietnamnet.vn. |
“47 bạn cùng lớp đều than cặp nặng”
Trò chuyện với bé Anh, chúng tôi được biết, ngày nào em cũng phải đeo trên vai một chiếc cặp sách rất nặng và đi bộ đến trường. Chiếc cặp sách nặng tới nỗi em phải ngồi bệt xuống, tròng hai quai cặp lên vai rồi mới bò để đứng lên được.
Hôm xảy ra sự cố gãy xương vai, bé đã phải đeo một chiếc cặp gồm 4 tập vở 200 trang, 5 quyển sách giáo khoa lớp 4, 1 hộp viết, 1 bảng đen, 1 bình nước 250ml, 1 áo khoác, tổng cân nặng lên đến gần 5 kg.
Bé Anh nói không chỉ có mỗi mình phải đeo cặp sách như vậy mà nguyên cả lớp gồm 47 học sinh đều than rằng cặp sách quá nặng.
Hối hận khi thấy con gái nhỏ bị gãy xương do ngày nào cũng mang cặp sách nặng, đi bộ đến trường, bố của bé Anh hứa: - “Từ giờ tôi sẽ đi làm bằng xe buýt (mất 1 tiếng mới đến được chỗ làm) để nhường xe máy cho bà xã chở con gái đi học.”
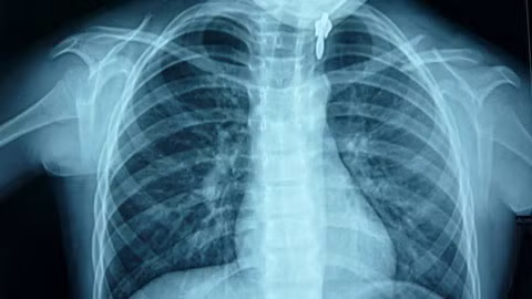
![]() |
| Kết quả chụp phim sáng ngày 28/9 của bé Anh - Ảnh: Vietnamnet.vn. |
Hiện nay, mọi chi phí điều trị cho bé Anh gia đình phải hoàn toàn tự túc. Theo bố của bé, dù đã đóng bảo hiểm ở trường nhưng cô hiệu trưởng nói mới đăng ký nên chưa có danh sách.
Trao đổi với chúng tôi, bác sĩ Huỳnh Bá Lĩnh, người trực tiếp điều trị cho bé Anh cho biết ngay từ hôm 24/9, khám cho bé, sau khi loại trừ hết các khả năng gây chấn thương như bị đánh, bị té ngã thì nguyên nhân kết luận gây gãy xương đòn chính là do đeo cặp sách quá nặng. Ngoài ra, bệnh nhi còn bị gù và vẹo cột sống.
Do bé còn nhỏ, các bác sĩ tránh phẫu thuật, cố gắng nẹp để ép phần xương nhô lên xẹp xuống trở lại. Đối với người lớn, gãy xương đòn có thể để lại di chứng làm cho vai ngắn lại, bị lệch.
Bác sĩ Lĩnh đề nghị Bộ Giáo dục xem lại lịch học tập của học sinh, bởi các bé đang rơi vào tình trạng quá tải, tình trạng trẻ bị lệch, vẹo cột sống, gù do đeo cặp sách quá nặng hiện nay không hề hiếm.
Thanh Huyền
Theo Vietnamnet.vn


