Google News

Bệnh viện Việt Nam – Cuba Đồng Hới lên tiếng về trường hợp tử vong của bệnh nhân 16 tuổi

TPO - Liên quan đến trường hợp tử vong của bệnh nhân 16 tuổi trong quá trình điều trị, Bệnh viện Hữu nghị Việt Nam – Cuba Đồng Hới khẳng định, toàn bộ quy trình tiếp nhận, chẩn đoán, điều trị và cấp cứu đều được thực hiện đúng chuyên môn, với tinh thần trách nhiệm cao nhất.

Trước đó, ngày 15/1/2026, sau hơn 6 giờ nhập viện cấp cứu với triệu chứng đau bụng dữ dội, bệnh nhân L.H.T.V đã tử vong trong quá trình điều trị. Người nhà bệnh nhân cho rằng, kíp trực đã không sốt sắng trong quá trình cấp cứu và điều trị, cũng như không thông báo cho người nhà về tình trạng nguy kịch của bệnh nhân.

img-5727.jpg
Bé gái tại phòng cấp cứu Bệnh viện Hữu nghị Việt Nam - Cuba Đồng Hới.

Theo thông báo của Bệnh viện Hữu nghị Việt Nam – Cuba Đồng Hới cho biết: bệnh nhân L.H.T.V có tiền sử hội chứng Down và tim bẩm sinh, được chuyển từ Bệnh viện Đa khoa khu vực Tuyên Hóa vào cấp cứu tại bệnh viện lúc 17 giờ 44 phút ngày 15/1/2026, với chẩn đoán theo dõi viêm tụy cấp.

Ngay sau khi tiếp nhận, bệnh nhân được thăm khám, làm các xét nghiệm cần thiết, chẩn đoán hình ảnh và bác sĩ đã giải thích rõ tình trạng bệnh cũng như các chỉ định chuyên môn cho gia đình.

Đến khoảng 20 giờ 40 phút cùng ngày, sau khi chụp cắt lớp vi tính ổ bụng có thuốc cản quang, bệnh nhân xuất hiện đau bụng nhiều, bụng chướng và được chỉ định đặt sonde dạ dày, tiếp tục theo dõi chờ kết quả cận lâm sàng.

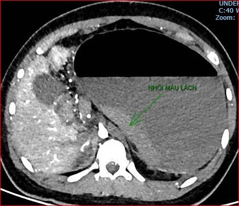
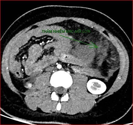
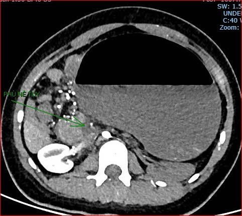
Khoảng 21 giờ 40 phút, kết quả chụp cắt lớp vi tính cho thấy tình trạng bệnh rất nặng và hiếm gặp, gồm: xoắn dạ dày, nhồi máu thận trái, nhồi máu lách, viêm đầu tụy, viêm hỗng tràng kèm dịch ổ bụng và tràn dịch màng phổi, trên nền bệnh nhân có hội chứng Down và tim bẩm sinh.

Trước diễn biến phức tạp, các bác sĩ đã khẩn trương tổ chức hội chẩn liên khoa với sự tham gia của các chuyên khoa Hồi sức tích cực và Chống độc, Cấp cứu, Ngoại Tổng hợp, Chẩn đoán hình ảnh và Gây mê hồi sức, thống nhất chỉ định mổ cấp cứu.

Tuy nhiên, sau hội chẩn, bệnh nhân bất ngờ xuất hiện suy hô hấp và ngừng tuần hoàn. Ê kíp y tế đã tiến hành hồi sức tích cực, đặt nội khí quản và cấp cứu ngừng tuần hoàn nhiều lần theo đúng phác đồ.

Dù đã được điều trị tích cực, do bệnh diễn tiến quá nặng và phức tạp, bệnh nhân đã tử vong lúc 23 giờ 47 phút cùng ngày.

img-5725.jpg
img-5726.jpg
img-5724.jpg
img-5729.jpg
Hình ảnh chụp cắt lớp vi tính thể hiện tình trạng bệnh nhân rất nặng, hiếm gặp.

Trao đổi với PV Tiền Phong, lãnh đạo Bệnh viện Hữu nghị Việt Nam – Cuba Đồng Hới khẳng định, đã làm hết khả năng chuyên môn, đồng thời bày tỏ sự cảm thông sâu sắc trước nỗi đau mất mát của gia đình bệnh nhân.

Tuy nhiên, trước luồng dư luận trái chiều, bệnh viện sẽ họp hội đồng chuyên môn một lần nữa, rà soát kỹ các quy trình, nếu có sai sót sẽ xử lý những người liên quan.