Google News

Tự ý bỏ thuốc điều trị, bệnh nhân suýt chết vì vỡ động mạch chủ

TPO - Được chẩn đoán bị tăng huyết áp, phải sử dụng thuốc mỗi ngày nhưng người bệnh đã tự ý bỏ thuốc dẫn tới vỡ phình động mạch chủ ngực – bụng rơi vào nguy kịch. Các bác sĩ đã nỗ lực thực hiện cuộc đại phẫu suốt 10 giờ để cứu sống bệnh nhân.

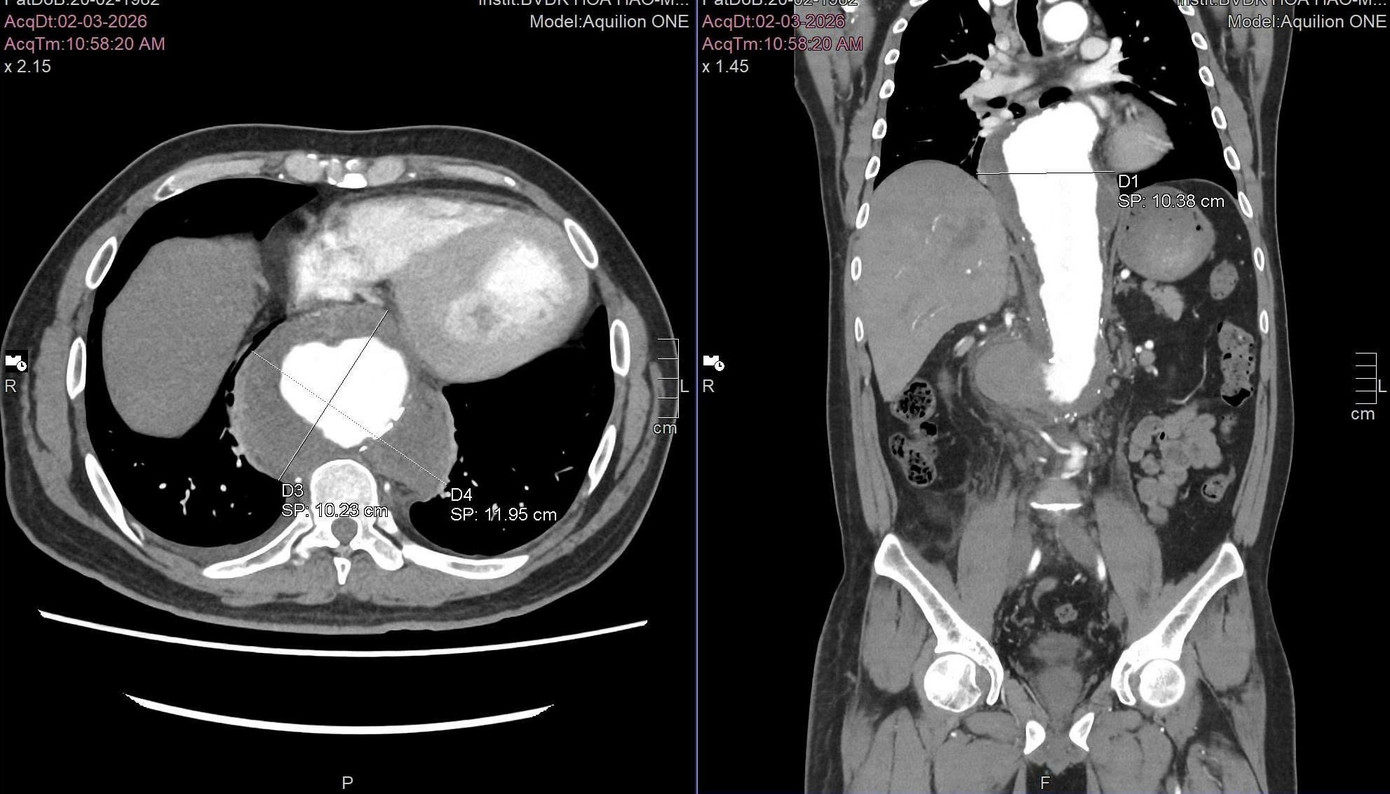
Ngày 24/3, ThS.BS Đặng Văn Sô Đa, khoa Ngoại Tổng hợp, Bệnh viện Đa khoa Quốc tế S.I.S Cần Thơ cho biết, bệnh nhân L.Q.L. (44 tuổi, ngụ tại Cần Thơ) nhập viện trong tình trạng đau bụng dữ dội, mặt tái, vã mồ hôi. Kết quả chụp CT mạch máu cho thấy túi phình động mạch chủ ngực – bụng đã vỡ, kèm khối máu tụ lớn sau phúc mạc, đường kính lên đến 11cm. Đây là dạng tổn thương có nguy cơ tử vong cực cao do mất máu cấp.

benh-nhan-1.jpg
Các bác sĩ xác định, túi phình động mạch chủ ngực - bụng bị vỡ khiến người bệnh rơi vào nguy kịch

“Trường hợp phình động mạch chủ đã vỡ hoàn toàn, tỷ lệ tử vong có thể vượt quá 90%. Đáng nói, bệnh nhân còn có tiền sử tăng huyết áp kéo dài hơn 5 năm và từng hai lần đột quỵ khiến tình trạng càng trở nên phức tạp. Điểm may mắn duy nhất là bệnh nhân nhập viện khi huyết áp chưa tụt sâu, vẫn còn ‘cửa sổ’ để can thiệp khẩn cấp, dù hy vọng sống rất mong manh” – BS Sô Đa nói.

Sau hội chẩn, các bác sĩ xác định đây là ca bệnh có tổn thương rất phức tạp. Nếu lựa chọn phẫu thuật mở hoàn toàn, nguy cơ mất máu ồ ạt và biến chứng rất lớn, trong khi phương pháp đặt stent đơn thuần lại không thể xử lý triệt để do ảnh hưởng đến các nhánh mạch nuôi tạng.

Sau khi cân nhắc, các bác sĩ quyết định thực hiện phẫu thuật Hybrid – một kỹ thuật kết hợp giữa mổ mở và can thiệp nội mạch. Phương án này được đánh giá là tối ưu nhất trong bối cảnh “ngàn cân treo sợi tóc” mà bệnh nhân đang đối mặt.

Trong quá trình phẫu thuật, ê kíp tiến hành chuyển vị và cắm lại các nhánh động mạch tạng, đảm bảo duy trì nguồn máu nuôi cho các cơ quan quan trọng. Sau đó, bệnh nhân được đặt stent từ đoạn động mạch chủ ở ngực kéo dài xuống vùng chậu nhằm loại trừ hoàn toàn túi phình đã vỡ.

benh-nhan-2.jpg
Các bác sĩ thực hiện cuộc phẫu thuật "hai thì" giúp người bệnh qua nguy kịch

Trong cuộc đại phẫu căng thẳng, kéo dài hơn 10 giờ, các bác sĩ đã kiểm soát chảy máu và duy trì huyết động ổn định. Sau khi hoàn tất, kết quả chụp kiểm tra cho thấy các nhánh mạch nuôi gan, thận, ruột lưu thông tốt, không ghi nhận tình trạng rò rỉ máu. Túi phình đã được loại bỏ hoàn toàn.

Sau 1 tuần điều trị tích cực, bệnh nhân gần như hồi phục chức năng gan, thận, huyết động ổn định, các chỉ số sinh tồn trở về mức bình thường.

Theo thông tin bệnh sử được người nhà bệnh nhân cung cấp, nguyên nhân sâu xa dẫn đến biến cố nguy hiểm này xuất phát từ việc bệnh nhân tự ý ngưng thuốc điều trị tăng huyết áp. Việc gián đoạn điều trị khiến huyết áp tăng cao đột ngột, tạo áp lực lớn lên thành mạch, dẫn đến vỡ túi phình vốn đã tồn tại trước đó mà không được phát hiện.

Từ trường hợp trên, các chuyên gia cảnh báo, tăng huyết áp, xơ vữa động mạch, hút thuốc lá, rối loạn mỡ máu… là những yếu tố nguy cơ hàng đầu gây phình động mạch chủ. Đáng lo ngại, bệnh lý này thường tiến triển âm thầm, không có triệu chứng rõ ràng khi kích thước còn nhỏ.

Khi túi phình lớn dần, người bệnh có thể xuất hiện đau bụng, đau lưng hoặc sờ thấy khối đập bất thường vùng bụng. Đến giai đoạn vỡ, nguy cơ tử vong xảy ra rất nhanh nếu không được cấp cứu kịp thời.

Bác sĩ khuyến cáo, việc tầm soát bằng siêu âm mạch máu ổ bụng hoặc chụp CT khi có yếu tố nguy cơ là rất cần thiết. Đặc biệt, người mắc tăng huyết áp cần tuân thủ điều trị, không tự ý bỏ thuốc dù chỉ trong thời gian ngắn để tránh hậu quả không thể cứu vãn.