Google News

Liên tiếp xảy ra tai nạn lao động nguy hiểm, bác sĩ cảnh báo 'nóng'

TPO - Chỉ trong thời gian ngắn, hai vụ tai nạn lao động nghiêm trọng đã xảy ra với những tình huống nguy hiểm đến tính mạng. Từ ngư dân bị dây cáp đánh trúng ngực giữa biển đến công nhân bị thanh sắt đâm xuyên cánh tay đang gióng lên hồi chuông báo động về môi trường làm việc thiếu an toàn.

Ngày 24/3, thông tin từ bệnh xá Đảo Song Tử Tây cho biết, tại đây vừa tiếp nhận nạn nhân từ một vụ tai nạn lao động xảy ra trên biển khiến thợ lặn nhập viện trong tình trạng chấn thương. Nạn nhân là anh N.T.P. (34 tuổi, quê Gia Lai), làm việc trên tàu đánh bắt hải sản.

can-bo-chien-si-dao-song-tu-tay-tiep-nhan-benh-nhan-tai-cau-cang-3.jpg
Cán bộ chiến sĩ Đảo Song Tử Tây tiếp nhận bệnh nhân bị tai nạn vào bệnh xá cấp cứu

Theo bệnh sử, sự cố xảy ra khoảng 6 giờ sáng 23/3 khi tàu đang khai thác hải sản cách đảo Đá Nam khoảng 4 hải lý. Trong quá trình làm việc, do sơ ý, anh P. bị dây cáp nặng đập mạnh vào vùng ngực, sau đó ngã đập lưng xuống sàn cứng. Dù không mất ý thức, nạn nhân xuất hiện choáng váng, đau tức ngực, đặc biệt đau tăng khi hít sâu hoặc xoay người.

Đến chiều cùng ngày, bệnh nhân được đưa vào cấp cứu tại bệnh xá Đảo Song Tử Tây. Qua thăm khám, các bác sĩ xác định đây là trường hợp chấn thương ngực – bụng kín do tai nạn lao động, tiềm ẩn nguy cơ diễn tiến phức tạp. Trong điều kiện y tế xa đất liền, bệnh nhân được chỉ định bất động, truyền dịch, giảm đau, chống viêm và theo dõi sát để tránh các biến chứng nguy hiểm có thể xảy ra.

Trước đó tại tỉnh Tây Ninh, một vụ tai nạn khác xảy ra ở công trình xây dựng với mức độ rất nguy hiểm. Nạn nhân là anh T.T.B. (30 tuổi, ngụ TP.HCM), bị thanh sắt dài gần 30cm đâm xuyên cánh tay, hướng về phía lồng ngực sau cú ngã trong lúc làm việc.

Ngay sau sự cố, nạn nhân được đưa đến Bệnh viện Đa khoa Xuyên Á, TP.HCM cấp cứu. Tại đây, các bác sĩ ghi nhận dị vật đâm xuyên vùng cánh tay phải, gây hạn chế vận động, nguy cơ tổn thương đến mạch máu lớn và thần kinh.

Bệnh nhân được chỉ định phẫu thuật khẩn. Trong quá trình mổ, ê kíp phát hiện thanh sắt đã gây tổn thương phức tạp, bao gồm đứt một phần gân cơ nhị đầu, tổn thương gân cơ tam đầu, rách màng xương và lẫn nhiều dị vật trong vết thương.

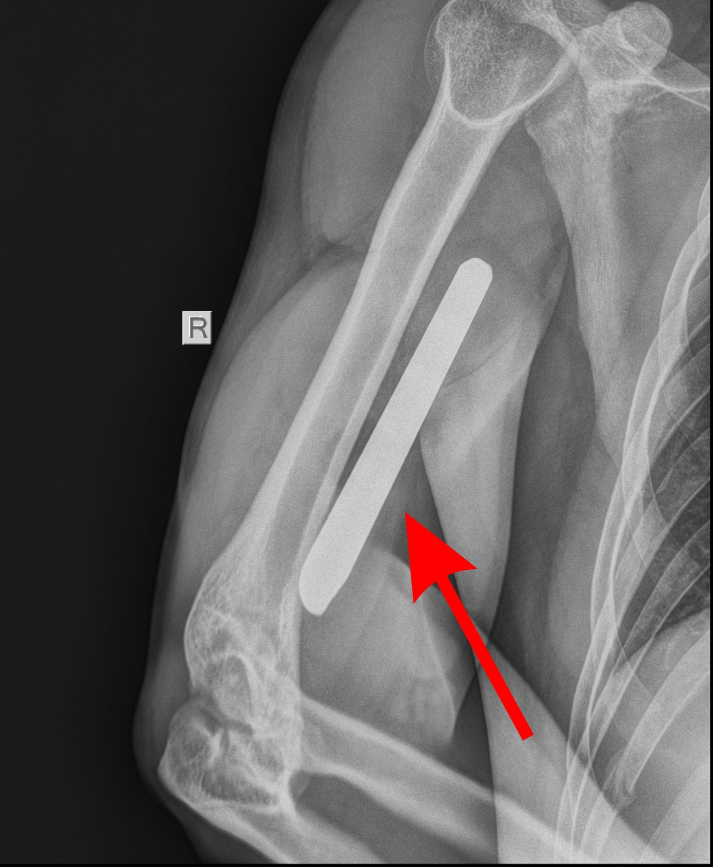
hinh-chup-xquang2.jpg
Hình ảnh cây sắt đâm xuyên cánh tay nạn nhân sau cú ngã tại công trường xây dựng

Các bác sĩ tiến hành lấy dị vật, làm sạch vết thương, kiểm soát chảy máu và khâu phục hồi theo cấu trúc giải phẫu. Sau hơn một tuần điều trị tích cực, sức khỏe người bệnh dần hồi phục.

Theo BS Triệu Anh Đức, Trưởng khoa Chấn thương Chỉnh hình, Bệnh viện Xuyên Á, thời gian qua, tại đây đã tiếp nhận nhiều trường hợp tai nạn lao động do dị vật đâm xuyên như đinh, thanh sắt hoặc mảnh vỡ gây ra những tổn thương nghiêm trọng. Bệnh nhân sau điều trị có thể đối mặt với các di chứng nặng nề về thẩm mỹ, vận động.

Một trường hợp tai nạn lao động khác khiến nạn nhân đứt lìa 4 ngón tay cũng được ghi nhận tại Bệnh viện Nhân dân 115 TP.HCM vào trung tuần tháng 3. Bệnh nhân là ông L.Q.C. (64 tuổi) nhập viện trong tình trạng tổn thương phức tạp do máy cắt giấy, 4 ngón của bàn tay phải bị đứt lìa. Ê kíp bác sĩ đã phẫu thuật vi phẫu suốt 8 giờ để nối xương, mạch máu, thần kinh và gân.

Sau mổ, các ngón tay hồi phục tưới máu nhưng nguy cơ người bệnh có thể đối mặt với di chứng hạn chế vận động.

Từ thực tế trên, các bác sĩ cảnh báo tai nạn lao động không chỉ xuất phát từ yếu tố rủi ro nghề nghiệp mà còn liên quan đến sự chủ quan, thiếu trang bị bảo hộ và không tuân thủ quy trình an toàn. Để tránh sự cố đáng tiếc xảy ra, cộng đồng cần nâng cao ý thức an toàn, trang bị đầy đủ phương tiện bảo hộ và siết chặt quy trình lao động.

Nếu không may bị tai nạn với tình huống bị dị vật đâm xuyên, bác sĩ khuyến cáo người dân tuyệt đối không tự ý rút dị vật ra khỏi cơ thể để tránh nguy cơ chảy máu ồ ạt. Việc sơ cứu đúng cách và nhanh chóng đưa nạn nhân đến cơ sở y tế chuyên khoa là yếu tố then chốt giúp giảm thiểu biến chứng.