Google News

Sặc một viên thuốc, cụ bà xẹp toàn bộ phổi trái

TPO - Tối 18/1, Bệnh viện Đa khoa khu vực Quảng Nam (thành phố Đà Nẵng) cho hay đã tiếp nhận một bệnh nhân nhập viện trong tình trạng ho nhiều đột ngột kèm khó thở sau khi uống thuốc.

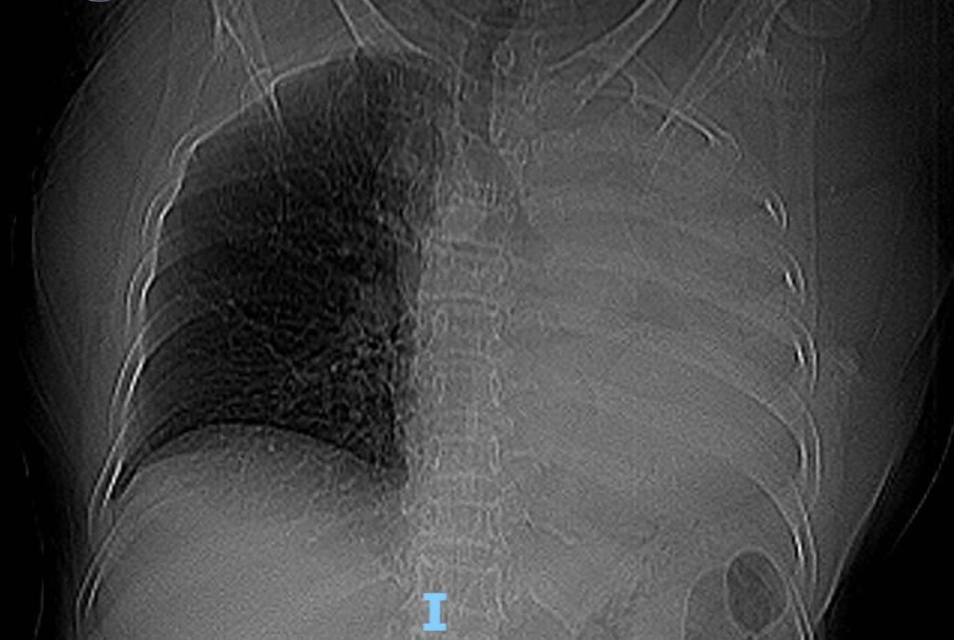
Bệnh nhân là bà T.B. (78 tuổi, trú Đà Nẵng). Sau khi chụp X-quang ngực, các bác sĩ phát hiện hình ảnh mờ đậm đều toàn bộ trường phổi trái. Kết quả CT cho thấy cụ bà bị xẹp toàn bộ phổi trái do khối tổn thương nằm trong lòng phế quản gốc trái, nghi ngờ u phế quản hoặc dị vật đường thở.

sac-thuoc-1.jpg
Phim X-quang ngực cho thấy mờ toàn bộ phổi trái.

Với diễn tiến ho và khó thở đột ngột trong vài ngày gần đây, các bác sĩ nhận định khả năng có dị vật đường thở.

Bệnh nhân được chỉ định nội soi phế quản cấp cứu. Quá trình nội soi phát hiện dị vật lấp kín hoàn toàn phế quản gốc trái. Dị vật có tính chất mềm, dễ vỡ, tiềm ẩn nguy cơ rơi xuống các nhánh phế quản nhỏ nếu thao tác không cẩn trọng. Nhờ sử dụng các thiết bị nội soi chuyên dụng và sự phối hợp chặt chẽ giữa ê-kíp nội soi hô hấp và tiêu hóa, dị vật đã được lấy ra an toàn.

Dị vật là viên thuốc có dạng tròn, mềm, màu vàng, kích thước khoảng 10x10mm. Khai thác kỹ tiền sử ghi nhận bệnh nhân từng bị sặc khi uống một loại thuốc có hình dạng tương tự.

Theo bác sĩ CK1 Nguyễn Hữu Trung, dị vật đường thở xảy ra khi uống thuốc, ăn uống vội vàng, hoặc có rối loạn nuốt. Dị vật có thể gây tắc nghẽn đường thở, xẹp phổi, suy hô hấp và đe dọa tính mạng nếu không được xử trí kịp thời.

sac-thuoc-2.jpg
Dị vật được lấy ra.

Bác sĩ khuyến cáo người dân không uống thuốc khi đang nằm hoặc uống quá vội vàng, cẩn trọng với các viên thuốc tròn, trơn, dễ trôi vào đường thở. Khi có dấu hiệu ho sặc, khó thở, đau ngực, cần đến cơ sở y tế ngay.