Sặc một viên thuốc, cụ bà xẹp toàn bộ phổi trái
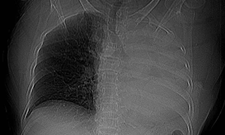
TPO - Tối 18/1, Bệnh viện Đa khoa khu vực Quảng Nam (thành phố Đà Nẵng) cho hay đã tiếp nhận một bệnh nhân nhập viện trong tình trạng ho nhiều đột ngột kèm khó thở sau khi uống thuốc.
Có 1 kết quả
TPO - Tối 18/1, Bệnh viện Đa khoa khu vực Quảng Nam (thành phố Đà Nẵng) cho hay đã tiếp nhận một bệnh nhân nhập viện trong tình trạng ho nhiều đột ngột kèm khó thở sau khi uống thuốc.