Google News

Cấy máy điều trị rối loạn nhịp tim giúp cụ bà 97 tuổi vượt qua 'cửa tử'

TPO - Ở tuổi 97, cụ bà bị block nhĩ thất hoàn toàn - dạng rối loạn nhịp tim nguy hiểm tính mạng. Cụ đã được các bác sĩ cấy máy tạo nhịp bó nhánh trái giúp qua nguy kịch. Đây là trường hợp bệnh nhân lớn tuổi nhất tại Việt Nam được thực hiện kỹ thuật này.

Ngày 12/2, TS.BS Trần Chí Cường, Giám đốc Bệnh viện Đa khoa Quốc tế S.I.S Cần Thơ cho biết, tại đây vừa tiếp nhận và can thiệp thành công, cứu cụ bà T.T.N. (97 tuổi, quê An Giang) thoát nguy cơ tử vong vì bị block nhĩ thất hoàn toàn.

Theo bệnh sử, cụ N. nhập viện trong tình trạng mệt kéo dài, khó thở, nặng ngực, các triệu chứng ngày càng trầm trọng. Ngay khi tiếp nhận, các bác sĩ tiến hành thăm khám, truy tìm nguyên nhân. Kết quả điện tâm đồ ghi nhận cụ bị block nhĩ thất hoàn toàn – một dạng rối loạn nhịp tim nặng, khi hoạt động điện học giữa tâm nhĩ và tâm thất không còn phối hợp. Tình trạng này khiến nhịp tim chậm, có thể dẫn đến suy tim, ngất, đe dọa tính mạng bệnh nhân.

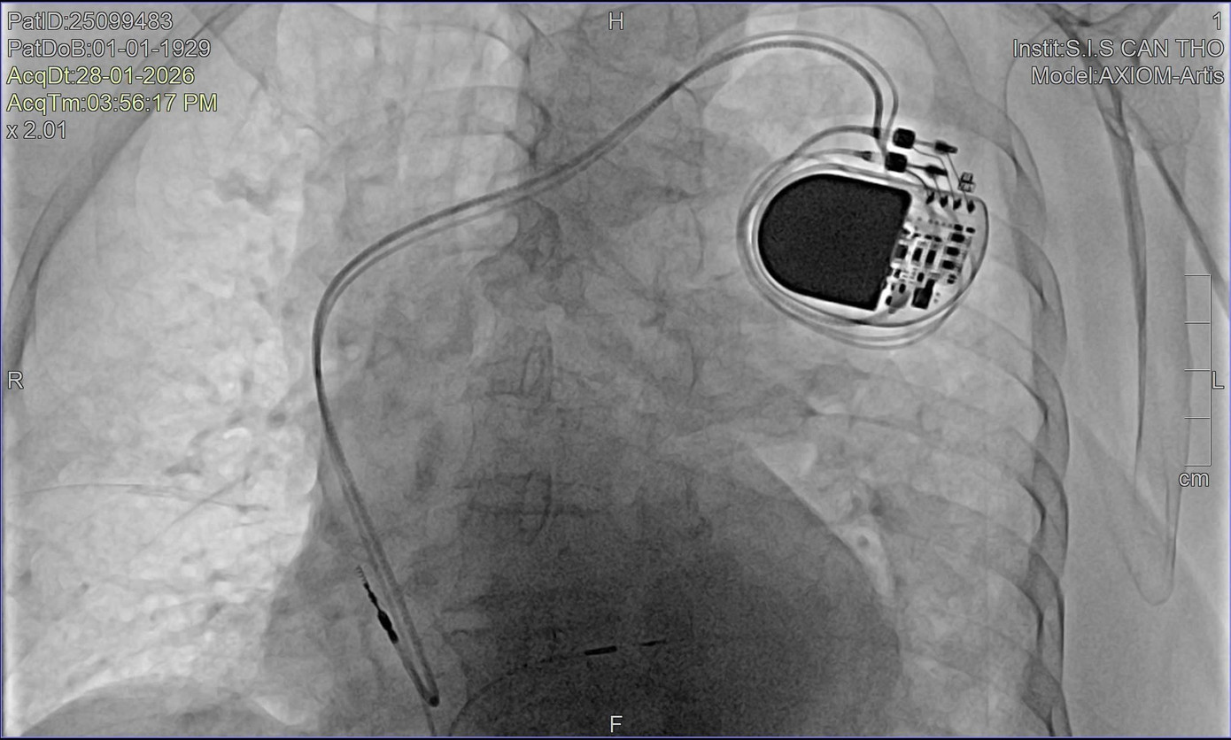
tao-nhip-2.jpg
Phương pháp cấy máy tạo nhịp bó nhánh trái lần đầu tiên tại Việt Nam được thực hiện thành công trên bệnh nhân 97 tuổi

Theo BS-CKII Nguyễn Mạnh Cường, Phó khoa Nội Tổng hợp, do bệnh nhân tuổi rất cao và rối loạn nhịp nghiêm trọng, ê kíp điều trị đã nhanh chóng đặt máy tạo nhịp tạm thời để ổn định huyết động. Song song đó, bệnh nhân được làm xét nghiệm máu, chụp X-quang phổi và chụp mạch vành bằng DSA để đánh giá toàn diện tình trạng tim mạch.

Kết quả chụp mạch vành cho thấy cụ bị hẹp mạch vành mức độ vừa, phù hợp với tuổi, được điều trị nội khoa. Sau khi tình trạng toàn thân ổn định, hội đồng chuyên môn thống nhất chỉ định cấy máy tạo nhịp vĩnh viễn bằng kỹ thuật bó nhánh trái – một phương pháp tiên tiến đang được triển khai tại bệnh viện trong những năm gần đây.

tao-nhip-1.jpg
Sau thủ thuật đặt máy tạo nhịp, sức khỏe của cụ bà đã bình phục tốt, đủ điều kiện xuất viện

Theo các bác sĩ, đây là trường hợp bệnh nhân lớn tuổi nhất tại Việt Nam được thực hiện kỹ thuật cấy máy tạo nhịp bó nhánh trái. Khác với phương pháp cấy máy tạo nhịp truyền thống, kỹ thuật bó nhánh trái giúp xung điện được dẫn truyền gần với sinh lý tự nhiên của tim, duy trì sự co bóp đồng bộ của thất trái, từ đó giảm nguy cơ suy tim lâu dài. Đối với người cao tuổi, phương pháp này mang lại lợi ích kép, vừa đảm bảo hiệu quả điều trị rối loạn nhịp, vừa hạn chế biến chứng.

Ca can thiệp diễn ra thuận lợi. Sau thủ thuật, cụ bà tỉnh táo, nhịp tim ổn định, các triệu chứng mệt và khó thở giảm rõ rệt. Sau khoảng 4 ngày theo dõi và điều trị, bệnh nhân đủ điều kiện xuất viện về nhà đón Tết trong niềm vui của gia đình và đội ngũ y bác sĩ.

Các chuyên gia tim mạch cho biết, block nhĩ thất hoàn toàn là mức độ nặng nhất của rối loạn dẫn truyền nhĩ – thất. Khi đó, tâm nhĩ và tâm thất đập độc lập khiến nhịp tim chậm và không đồng bộ. Người bệnh có thể xuất hiện mệt mỏi, chóng mặt, khó thở, nặng ngực, thậm chí ngất. Đặt máy tạo nhịp tim là phương pháp điều trị hiệu quả nhằm duy trì nhịp tim ổn định và đảm bảo cung lượng máu cho cơ thể.