Google News

Bánh xe cuốn tà áo dài, nữ sinh bị đập đầu xuống đường nứt hộp sọ

TPO - Trên đường đến trường, nữ sinh 15 tuổi ở Tây Ninh bất ngờ ngã đập đầu xuống đường khi tà áo dài bị cuốn vào bánh sau xe đạp điện. Tai nạn tưởng chừng đơn giản đã khiến em rơi vào tình trạng chấn thương sọ não nguy kịch tính mạng.

Hiểm họa từ tà áo dài

Ngày 17/11, BS Nguyễn Thế Thuần, Trưởng khoa Ngoại Thần Kinh, Bệnh viện Đa khoa Xuyên Á cho biết, tại đây vừa tiếp nhận, cấp cứu một trường hợp học sinh bị chấn thương sọ não, nguy hiểm tính mạng. Theo bệnh sử, sáng sớm trước khi gặp nạn em N.T.V. mặc áo dài di chuyển đến trường bằng xe đạp điện.

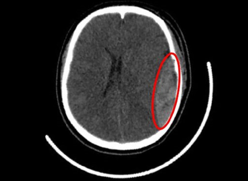
hinh-ct-truoc-phau-thuat.jpg
Hình ảnh kiểm tra ghi nhận vị trí nứt hộp sọ, máu tụ dưới màng cứng nữ sinh gặp phải

Trong lúc chiếc xe đang di chuyển nhanh, phần tà áo dài không may bị cuốn chặt vào bánh sau khiến chiếc xe khựng lại hất em V. văng xa, đập đầu xuống mặt đường. May mắn không bị phương tiện khác va vào, nhưng ngay sau tai nạn, nạn nhân rơi vào tình trạng đau đầu, buồn nôn, được người dân sơ cứu đưa vào bệnh viện.

Tại khoa Cấp cứu, các bác sĩ ghi nhận bệnh nhân bị yếu nửa người bên phải, tri giác giảm còn khoảng 9–10 điểm Glasgow. Kết quả kiểm tra hình ảnh cho thấy, một khối máu tụ ngoài màng cứng ở bán cầu não trái lan xuống vùng thái dương, kèm theo nứt xương hộp sọ thái dương. Khối máu tụ có dấu hiệu tăng thêm, nghi do đứt động mạch màng não giữa – một vị trí chảy máu lớn và nguy hiểm.

hinh-ekip-phau-thuat2.jpg
Các bác sĩ thực hiện cuộc phẫu thuật cấp cứu giúp nữ sinh qua nguy kịch

Trước tình trạng diễn tiến nhanh, ê kíp các bác sĩ khoa Ngoại Thần kinh lập tức chỉ định phẫu thuật khẩn. Ngay sau khi hoàn tất cận lâm sàng và xét nghiệm trong giới hạn an toàn, ca mổ mở sọ lấy máu tụ được tiến hành. Các bác sĩ nhanh chóng loại bỏ khối máu tụ, kiểm soát điểm rách động mạch và giải phóng áp lực lên não, ngăn chặn tổn thương lan rộng. Nhờ được can thiệp kịp thời, sau phẫu thuật em V. đã bình phục tốt cả tri giác và vận động.

Giải pháp chủ động phòng tránh tai nạn?

Các bác sĩ cảnh báo, thời gian gần đây, nhiều vụ tai nạn liên quan đến áo dài truyền thống, áo mưa, áo chống nắng, đã được ghi nhận tại các địa phương. Tai nạn chủ yếu xảy ra khi di chuyển bằng xe gắn máy, xe đạp hoặc xe đạp điện. Tà dài của các loại áo trên rất dễ mắc vào bánh xe khi di chuyển nhanh hoặc gặp lúc gió mạnh.

Để tránh những tai nạn thương tâm tương tự trường hợp trên, các chuyên gia khuyến cáo nữ sinh nên chủ động giữ phần tà áo gọn gàng trước khi di chuyển. Có thể dùng tay giữ nhẹ tà áo phía sau, cột gọn bằng dây nhỏ hoặc sử dụng áo khoác dài bên ngoài để hạn chế tà áo bay phấp phới khi chạy xe.

hinh-bs-tham-kham1.jpg
Sau phẫu thuật, sức khỏe của nữ sinh đã bình phục tốt

Bên cạnh đó, nhà trường nên hướng dẫn học sinh cách đảm bảo an toàn khi mặc áo dài, đặc biệt là với nhóm nữ sinh mới vào cấp ba chưa quen tự điều khiển phương tiện, chưa vững các kỹ năng phòng tránh tai nạn khi tham gia giao thông. Phụ huynh có thể lựa chọn xe có chắn bùn kín, bánh xe được che an toàn hoặc trang bị thêm miếng chắn bánh sau để giảm nguy cơ cuốn vải. Khi trời mưa hoặc mặt đường trơn, học sinh càng cần giảm tốc độ, tránh thắng gấp vì tà áo dễ vướng vào bánh xe hơn.

Ngoài ra, nữ sinh nên tránh mang theo balô quá nặng hoặc đeo lệch vai, vì mất thăng bằng khi áo bị kéo có thể khiến cú ngã trở nên nghiêm trọng hơn. Trong mọi tình huống, nếu áo dài bị cuốn vào xe, cần dừng lại ngay lập tức, tuyệt đối không cố gỡ khi xe đang chạy để tránh nguy hiểm đến tính mạng.

BS Nguyễn Thế Thuần cho biết, tụ máu ngoài hoặc dưới màng cứng là một trong những tổn thương nguy hiểm nhất trong chấn thương sọ não. Nhiều bệnh nhân sau khi ngã vẫn tỉnh táo, nhưng vài giờ sau có thể diễn tiến xấu nhanh do khối máu tụ âm thầm lớn dần, gây chèn ép não dẫn tới đau đầu dữ dội, nôn, lú lẫn, co giật, yếu liệt hoặc hôn mê. Bệnh viện đã tiếp nhận nhiều trường hợp đến khám khi đã xuất hiện biến chứng nặng, dù tai nạn xảy ra từ nhiều ngày hoặc nhiều tuần trước. Các chuyên gia cảnh báo mọi chấn thương vùng đầu cần được theo dõi và thăm khám càng sớm càng tốt, đặc biệt khi xuất hiện đau đầu, buồn nôn, chóng mặt, lơ mơ.