Google News

May mắn thoát chết khi bị nhồi máu cơ tim cấp tại bệnh viện

TPO - Đang đi khám vì cơn đau ngực kéo dài, người đàn ông 46 tuổi bất ngờ lên cơn nhồi máu cơ tim cấp ngay tại bệnh viện. Các bác sĩ đã kịp thời chẩn đoán, can thiệp giúp bệnh nhân thoát chết trong gang tấc.

Ngày 23/10, thông tin từ BS Mai Hoàng Dil, khoa Nội tổng hợp Bệnh viện Đa khoa Quốc tế S.I.S Cần Thơ cho biết, nam bệnh nhân C.Q.B. (46 tuổi, ngụ tỉnh Cà Mau) đến bệnh viện khám bệnh trong tình trạng bị đau ngực.

cap-cuu-1.jpg
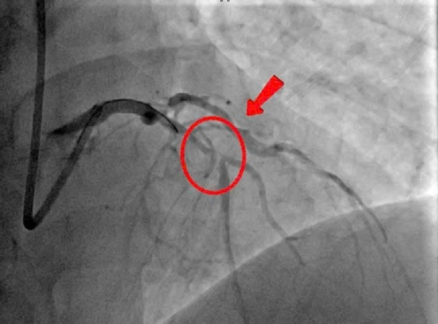
Vị trí mạch máu bị tắc nghẽn trên hình ảnh chụp mạch vành cấp cứu được bác sĩ ghi nhận.

Khai thác bệnh sử của bác sĩ từ phía người bệnh ghi nhận, hơn hai năm qua, anh B. thường xuyên đau tức ngực, mệt mỏi và đã nhiều lần đi khám ở các cơ sở y tế khác nhưng không tìm ra nguyên nhân. Thời gian gần đây, cơn đau xuất hiện thường xuyên và nặng hơn, buộc anh đến Bệnh viện S.I.S Cần Thơ kiểm tra.

Qua khai thác triệu chứng ban đầu, nhân viên y tế nghi ngờ bệnh nhân bị thiếu máu cơ tim, một tình trạng nguy hiểm nên vội chuyển bệnh nhân đến khoa Hồi sức Cấp cứu. Tại đây, kết quả xét nghiệm men tim, điện tim và siêu âm tim cho thấy bệnh nhân bị nhồi máu cơ tim cấp không ST chênh lên, thuộc nhóm nguy cơ tử vong cao.

Ngay sau khi phát hiện cơn nhồi máu cơ tim cấp đang đe dọa tính mạng người bệnh, ê kíp các bác sĩ tim mạch đã khẩn trương hội chẩn và quyết định chụp mạch vành cấp cứu. Hình ảnh cho thấy đoạn gần nhánh liên thất trước – vị trí then chốt trong việc cung cấp máu cho cơ tim bị hẹp rất nặng.

Ngay lập tức, bệnh nhân được chỉ định can thiệp đặt stent mạch vành cấp cứu. Cuộc can thiệp diễn ra thuận lợi, các bác sĩ đã giúp tái thông dòng máu bị tắc nghẽn và cứu được vùng cơ tim đang tổn thương cho người bệnh.

cap-cuu-2.jpg
Sau can thiệp sức khỏe của bệnh nhân đã bình phục tốt.

Theo BS Mai Hoàng Dil, bệnh nhân đã rất may mắn khi cơn nhồi máu cơ tim cấp diễn ra và được phát hiện ngay trong bệnh viện. “Khi nhận thấy dấu hiệu nghi ngờ, chúng tôi đã lập tức tiến hành xét nghiệm, chẩn đoán xác định và can thiệp mạch vành kịp thời. Với nhồi máu cơ tim cấp, từng phút đều vô giá. Xử trí càng sớm, khả năng cứu sống càng cao và hạn chế tối đa tổn thương cơ tim về sau” – BS Hoàng Dil cho hay.

Từ trường hợp trên, các bác sĩ cảnh báo cộng đồng, nhồi máu cơ tim có thể xảy ra đột ngột ở bất kỳ ai, kể cả những người tưởng chừng khỏe mạnh. Các triệu chứng cảnh báo như đau ngực, tức ngực, khó thở, mệt mỏi không rõ nguyên nhân thường dễ bị bỏ qua hoặc nhầm lẫn với bệnh dạ dày, đau cơ, rối loạn lo âu.

Đặc biệt, những người bị tăng huyết áp, tiểu đường, rối loạn mỡ máu, hút thuốc lá hoặc ít vận động thuộc nhóm nguy cơ cao. Nếu đã được điều trị nội khoa nhưng triệu chứng vẫn tái phát, người bệnh cần được tầm soát mạch vành sớm để phòng ngừa nguy cơ nhồi máu cơ tim cấp.