May mắn thoát chết khi bị nhồi máu cơ tim cấp tại bệnh viện
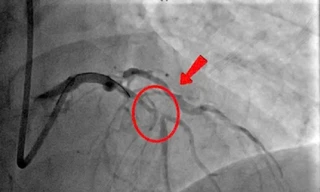
TPO - Đang đi khám vì cơn đau ngực kéo dài, người đàn ông 46 tuổi bất ngờ lên cơn nhồi máu cơ tim cấp ngay tại bệnh viện. Các bác sĩ đã kịp thời chẩn đoán, can thiệp giúp bệnh nhân thoát chết trong gang tấc.