Google News

Lần đầu tại Việt Nam: Phẫu thuật robot điều trị dị tật bẩm sinh phổi hiếm gặp

TPO - Ca bệnh hiếm với nguy cơ vỡ mạch máu lớn vừa được xử lý thành công bằng phẫu thuật robot tại Bệnh viện Bình Dân (TPHCM). Đây cũng là trường hợp phổi biệt lập được điều trị bằng robot đầu tiên tại Việt Nam, mở thêm hướng mới trong điều trị bệnh lý bẩm sinh tiềm ẩn nguy cơ tử vong.

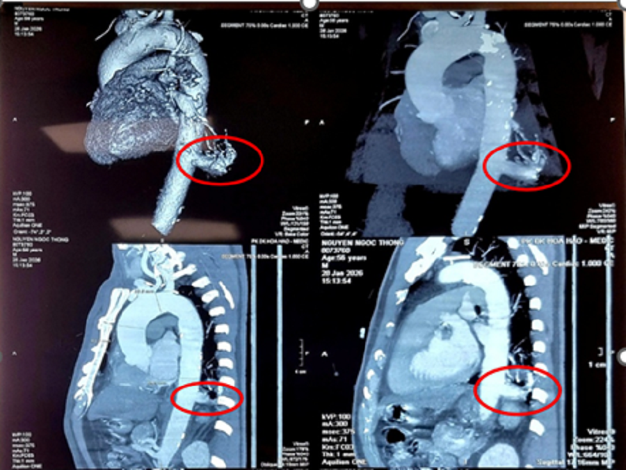
Ngày 3/3, thông tin từ Bệnh viện Bình Dân cho biết, ông N.N.T. (56 tuổi, Tây Ninh) tình cờ phát hiện tổn thương thùy dưới phổi trái trong một lần khám sức khỏe tổng quát. Kết quả chẩn đoán tại bệnh viện xác định ông mắc phổi biệt lập nội thùy – một dị tật bẩm sinh hiếm gặp của phổi. Khối tổn thương có kích thước 23 x 26 mm, nằm ở vị trí thùy dưới phổi trái.

Điều khiến ê kíp đặc biệt lưu ý là nguồn máu nuôi khối biệt lập không xuất phát từ động mạch phổi như cấu trúc sinh lý bình thường, mà nhận máu trực tiếp từ động mạch chủ ngực xuống. Đường kính nhánh động mạch nuôi lên đến 17 mm – kích thước lớn, tiềm ẩn nguy cơ chảy máu ồ ạt nếu xảy ra vỡ mạch trong quá trình bóc tách.

bd.jpg
Các bác sĩ Bệnh viện Bình Dân thực hiện cuộc phẫu thuật bằng robot cho người bệnh

BS-CKII Nguyễn Văn Việt Thành, Trưởng khoa Ngoại Lồng ngực – Bướu cổ, cho biết khó khăn lớn nhất là phẫu tích và kiểm soát nhánh động mạch bất thường nói trên. Mạch máu to, thành mạch dễ tổn thương và dính chặt do tình trạng viêm nhiễm mạn tính xung quanh. Chỉ một sai sót nhỏ có thể dẫn đến chảy máu không kiểm soát, đe dọa tính mạng người bệnh ngay trên bàn mổ.

Trước nguy cơ đó, hội chẩn toàn viện đã thống nhất lựa chọn phẫu thuật robot thay vì mổ mở hoặc nội soi kinh điển. Đây được xem là giải pháp tối ưu nhằm đảm bảo độ chính xác tối đa khi thao tác sát động mạch chủ.

Phẫu thuật mở truyền thống trước đây đòi hỏi rạch đường lớn ở ngực, banh sườn để tiếp cận phổi. Dù nội soi lồng ngực ra đời giúp giảm xâm lấn nhưng với những trường hợp có mạch máu bất thường lớn và vị trí sâu, khả năng thao tác vẫn còn hạn chế. Trong khi đó, hệ thống robot cung cấp hình ảnh 3D phóng đại với độ phân giải cao, giúp phẫu thuật viên nhận diện rõ cấu trúc mạch máu bất thường nằm sâu trong lồng ngực.

Ngoài ra, cánh tay robot có khả năng xoay linh hoạt, cho phép thao tác tinh vi ở không gian hẹp, đặc biệt khi cần kẹp, buộc và kiểm soát mạch máu lớn sát động mạch chủ. Hệ thống còn có cơ chế lọc bỏ rung động tự nhiên của tay người, tăng độ ổn định trong từng động tác bóc tách.

hinh-msct-nguc-1.png
Qua hình ảnh kiểm tra các bác sĩ ghi nhận tình trạng dị dạng bẩm sinh phổi biệt lập nội thùy ở người bệnh

BS Việt Thành cho biết, ca phẫu thuật được tiến hành và kéo dài khoảng 120 phút. Phần phổi biệt lập được cắt trọn, nhánh động mạch nuôi được kiểm soát an toàn, không xảy ra biến chứng chảy máu, không tổn thương động mạch chủ ngực xuống. Phương pháp phẫu thuật robot giúp người bệnh ít đau, giảm mất máu và phục hồi nhanh, chỉ 4 ngày sau mổ, bệnh nhân đã đủ điều kiện xuất viện.

Theo PGS.TS.BS Trần Vĩnh Hưng, Giám đốc Bệnh viện Bình Dân, phổi biệt lập là dị tật bẩm sinh hiếm, chiếm tỷ lệ thấp trong các dị dạng phổi. Tổn thương này hình thành từ giai đoạn phôi thai, là phần mô phổi phát triển bất thường, không thông với cây phế quản và không tham gia chức năng hô hấp. Bệnh có hai dạng gồm nội thùy và ngoại thùy, trong đó dạng nội thùy chiếm khoảng 75% trường hợp.

Các bác sĩ cho biết, nguy hiểm nhất của phổi biệt lập không nằm ở kích thước khối mô, mà ở nguồn cấp máu bất thường từ hệ động mạch chủ – nơi có áp lực máu cao. Nếu không được phát hiện và xử lý kịp thời, người bệnh có thể đối mặt với những biến chứng nặng như ho ra máu ồ ạt, xuất huyết khoang màng phổi, nhiễm trùng tái phát kéo dài hoặc suy tim do luồng thông máu bất thường. Y văn thế giới cũng ghi nhận các trường hợp thoái hóa ác tính trên nền mô phổi biệt lập, dù hiếm gặp.

Theo các chuyên gia, phẫu thuật là phương pháp điều trị triệt để duy nhất, đặc biệt khi chưa xuất hiện biến chứng nhiễm trùng hay chảy máu. Việc lựa chọn kỹ thuật mổ phù hợp có ý nghĩa quyết định đến mức độ an toàn. Những ca bệnh phức tạp, có mạch máu bất thường lớn cần được thực hiện tại các trung tâm ngoại khoa chuyên sâu, có sự phối hợp chặt chẽ giữa phẫu thuật viên lồng ngực, gây mê hồi sức, chẩn đoán hình ảnh và phẫu thuật mạch máu.

Từ trường hợp trên, các bác sĩ khuyến cáo, nếu có tình trạng viêm phổi tái diễn tại cùng một vị trí, ho ra máu hoặc phát hiện bất thường trên phim chụp phổi, người dân nên đến cơ sở chuyên khoa để được thăm khám nhằm phát hiện sớm dị tật phổi hoặc các bệnh lý nguy hiểm khác.