Google News

Cứu sống 2 mẹ con du khách Nga chấn thương sọ não nguy kịch

TPO - Sau tai nạn giao thông nghiêm trọng tại Vũng Tàu, hai mẹ con du khách người Nga rơi vào tình trạng chấn thương sọ não rất nặng, nguy cơ tử vong cao. Các bác sĩ đã nỗ lực phối hợp điều trị chuyên sâu giúp cả hai bệnh nhân từng bước qua cơn nguy kịch.

Ngày 8/2, BS Trần Văn Dũng, khoa Ngoại Thần kinh, Bệnh viện Nhân dân 115 (TPHCM) cho biết, tại đây vừa tiếp nhận, điều trị cho 2 du khách mang quốc tịch Nga nhập viện trong tình trạng nguy kịch tính mạng vì chấn thương sọ não. Theo bệnh sử, G.N. (53 tuổi) cùng con trai G.A. (28 tuổi) sang Việt Nam đi du lịch. Tuy nhiên, khi đang tham quan Vũng Tàu thì tai nạn giao thông bất ngờ xảy ra khiến chuyến đi bất ngờ biến thành cuộc chiến giành giật sự sống. Sau khi được sơ cứu và phẫu thuật cấp cứu mở sọ giải ép tại Bệnh viện Bà Rịa, cả hai người bệnh được chuyển đến Bệnh viện Nhân dân 115 để tiếp tục điều trị chuyên sâu.

BS Dũng cho biết, người con trai G.A. (28 tuổi) nhập viện trong tình trạng hôn mê sâu, phải thở máy qua nội khí quản. Kết quả CT scan sọ não ghi nhận dập não xuất huyết rải rác nhiều vị trí, phù não lan tỏa nặng dù đã được mở sọ giải ép tối đa. Đây là dạng chấn thương sọ não rất nặng, diễn tiến khó lường, nguy cơ tử vong luôn ở mức cao. Người bệnh được điều trị tích cực tại Đơn vị Hồi sức Ngoại khoa, khoa Gây mê Hồi sức, với sự theo dõi sát các chỉ số sinh tồn và áp lực nội sọ.

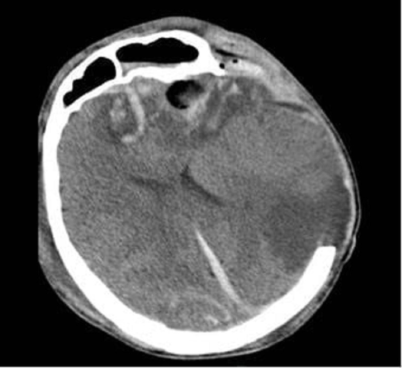
chan-thuong-1.jpg
Phim CT não người bệnh G.A. cho thấy dập não xuất huyết nhiều nơi, phù não lan tỏa dù đã được mở sọ giải ép (ảnh: BVCC)

Cùng thời điểm đó, mẹ của anh là bà G.N. (53 tuổi) cũng được chuyển đến Bệnh viện Nhân dân 115 trong tình trạng lơ mơ. Hình ảnh CT scan cho thấy dập não thái dương với ổ xuất huyết lớn kèm phù não xung quanh. Sau khi hội chẩn kỹ lưỡng, các bác sĩ quyết định lựa chọn phương án điều trị bảo tồn thay vì phẫu thuật nhằm hạn chế tổn thương não thứ phát. Sau nỗ lực điều trị của các bác sĩ khoa Ngoại Thần kinh, sức khỏe bà G.N. đã hồi phục tốt.

Trong khi đó, tình trạng của người con trai diễn tiến chậm và đầy thử thách. Sau hơn 10 ngày hồi sức tích cực, người bệnh bắt đầu có đáp ứng với kích thích đau, cho thấy dấu hiệu cải thiện thần kinh ban đầu. Đến ngày thứ 20, anh cai máy thở thành công, tự mở mắt và được chuyển về khoa Ngoại Thần kinh để tiếp tục theo dõi, điều trị và phục hồi chức năng.

Theo BS Trần Văn Dũng, chấn thương sọ não nặng là một trong những nguyên nhân hàng đầu gây tử vong và để lại di chứng lâu dài. Việc cấp cứu sớm, phẫu thuật kịp thời và theo dõi hồi sức chuyên sâu đóng vai trò quyết định trong việc cứu sống người bệnh và giảm thiểu tổn thương não không hồi phục.

em-kip-ngoai-04fbb6c362d84aad959ec9b72e03dd32-1024x1024.jpg
Các bác sĩ Bệnh viện Nhân Dân 115 thực hiện cuộc phẫu thuật cho người bệnh

Trong suốt quá trình điều trị, cả hai mẹ con đều không có thân nhân tại Việt Nam và gặp nhiều rào cản về ngôn ngữ. Đội ngũ y bác sĩ, điều dưỡng đã thay nhau hỗ trợ từ chăm sóc sinh hoạt hằng ngày, vệ sinh cá nhân đến động viên tinh thần. Bệnh viện đã chủ động phối hợp với Đại sứ quán Liên bang Nga để kết nối với gia đình người bệnh tại quê nhà, bảo đảm các thủ tục y tế và pháp lý cần thiết.

Mười ngày sau khi xuất viện, bà G.N. đã quay lại bệnh viện thăm con trai. Bà bày tỏ lời cảm ơn chân thành tới tập thể y bác sĩ Bệnh viện Nhân dân 115 vì đã tận tâm cứu chữa, chăm sóc mẹ con bà trong hoàn cảnh xa quê hương. Hiện tại, tình trạng sức khỏe của cả hai mẹ con đã ổn định. Gia đình đang hoàn tất các thủ tục để trở về Nga, tiếp tục quá trình phục hồi chức năng và theo dõi sau chấn thương sọ não nặng.