Google News

Cụ ông ở Quảng Trị gặp chứng ăn mòn xương mặt

TPO - Chủ quan với khối u nhầy xoang hàm tồn tại nhiều năm, một cụ ông ở Quảng Trị phải nhập viện trong tình trạng khối u tiến triển nặng, ăn mòn xương xoang hàm và xâm lấn sàn ổ mắt.

Ngày 3/1, Bệnh viện Đa khoa tỉnh Quảng Trị cho biết, các bác sĩ của đơn vị vừa phẫu thuật thành công cho một bệnh nhân bị u nhầy xoang hàm biến chứng nặng, gây tiêu xương thành xoang hàm và ăn mòn xương sàn ổ mắt.

bvdk-tinh-2.jpg
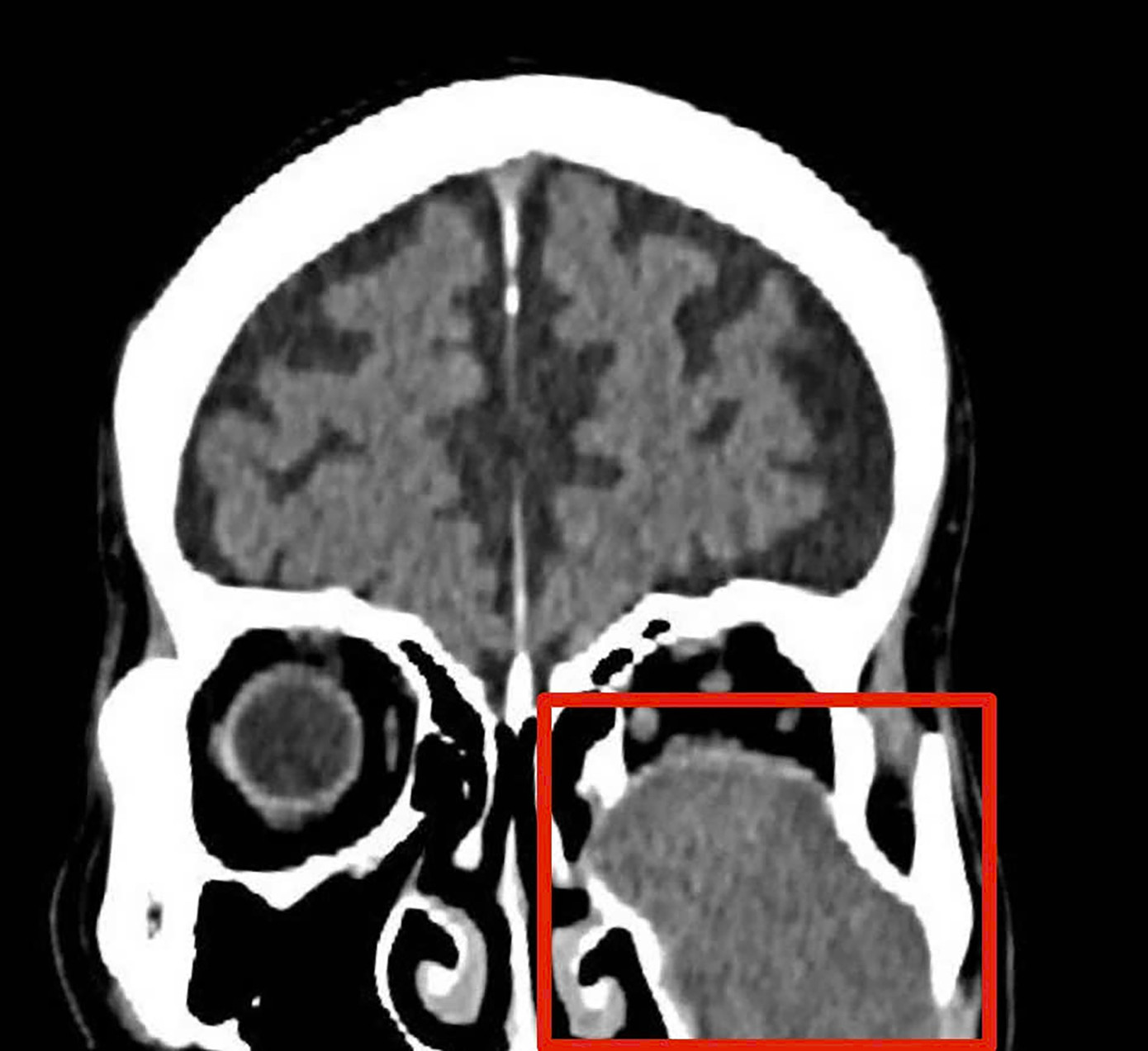
Hình ảnh chụp phim cho thấy khối u ăn mòn tiêu xương sàn ổ mắt.

Bệnh nhân là ông N.H. (76 tuổi, trú phường Nam Đông Hà), nhập viện trong tình trạng sưng đau vùng má trái kéo dài, khuôn mặt mất cân xứng. Thăm khám lâm sàng ghi nhận vùng lợi hàm trên sần sùi, mắt trái nhìn mờ dần và thường xuyên chảy nước mắt.

Khai thác bệnh sử cho thấy, ông H. đã được chẩn đoán u nhầy xoang hàm từ nhiều năm trước nhưng không điều trị do khối u tiến triển chậm, ít gây đau, sinh hoạt hằng ngày vẫn tạm ổn.

Kết quả chụp chiếu và hội chẩn liên khoa xác định, khối u nhầy xoang hàm trái của bệnh nhân có kích thước lớn, đã ăn mòn tiêu xương các thành xoang hàm, đồng thời xâm lấn và làm tiêu xương sàn ổ mắt.

Trước diễn biến phức tạp của bệnh, các bác sĩ quyết định tiến hành phẫu thuật nội soi vi phẫu. Ê kíp đã lấy bỏ hoàn toàn tổ chức u, mở rộng lỗ thông xoang hàm, hút sạch dịch nhầy, súc rửa và dẫn lưu xoang hiệu quả.

bvdk-tinh.jpg
Sau 4 ngày phẫu thuật, tình trạng bệnh nhân cải thiện rõ rệt

Sau 4 ngày phẫu thuật, bệnh nhân hồi phục tốt, tỉnh táo, không xuất hiện biến chứng. Tình trạng sưng đau vùng má trái giảm rõ rệt, khuôn mặt dần cân đối trở lại; thị lực mắt trái được cải thiện, hiện tượng chảy nước mắt gần như chấm dứt.

Theo các bác sĩ, trường hợp trên là lời cảnh báo rõ ràng đối với những bệnh lý tai mũi họng mãn tính. Dù tiến triển chậm và ít gây đau, người bệnh tuyệt đối không nên chủ quan, bởi khi để lâu, khối u có thể xâm lấn các cấu trúc quan trọng, gây hậu quả nặng nề.