Google News

Nhổ 'răng khôn', người đàn ông bị đục thủng xoang hàm

TPO - Sau khi nhổ 'răng khôn' hàm trên tại một phòng khám tư, người đàn ông liên tục gặp hiện tượng lạ, mỗi khi uống nước, nước chảy ngược ra mũi. Sau nhiều tháng hứng chịu đau đầu, nghẹt mũi, ông đến bệnh viện kiểm tra thì được bác sĩ xác định bị thủng xoang hàm.

Dấu hiệu bất thường sau nhổ răng

Ngày 24/10, BS.Phạm Ngọc Thái Sơn, Bệnh viện Đa khoa Xuyên Á cho biết, tại đây vừa tiếp nhận, can thiệp cho một trường hợp bị biến chứng sau nhổ "răng khôn". Bệnh nhân là ông L.V.S. (47 tuổi, ngụ tại Tây Ninh) đến bệnh viện thăm khám trong tình trạng đau đầu, nghẹt mũi, chảy dịch mùi hôi.

xa.jpg
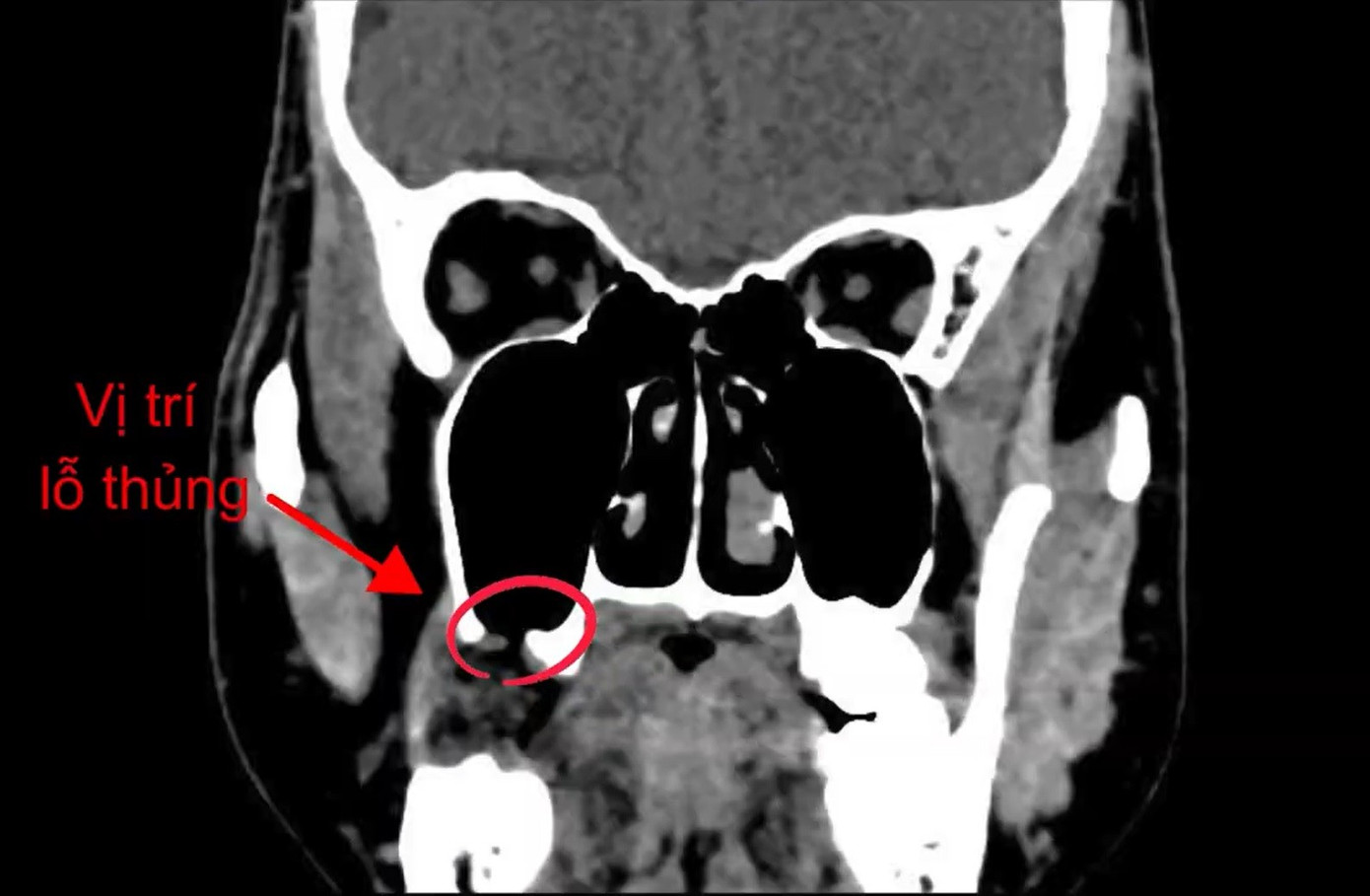
Trên hình ảnh kiểm tra, các bác sĩ phát hiện vị trí xoang hàm của người bệnh bị thủng

Theo bệnh sử, trước đó ông đã nhổ "răng khôn" (răng số 18 hàm trên) tại một cơ sở nha khoa trên địa bàn tỉnh. Sau khi nhổ răng, ông bắt đầu thấy hiện tượng kỳ lạ, cứ uống nước là nước lại trào ngược lên mũi.

Dù triệu chứng xuất hiện thường xuyên, ông nghĩ chỉ là phản ứng tạm thời sau nhổ răng nên tự mua thuốc uống. Tuy nhiên, tình trạng kéo dài suốt nhiều tháng khiến ông mệt mỏi, kèm theo đau đầu, nặng mặt, nhức hốc mắt hai bên và chảy dịch mùi hôi tái phát liên tục nên phải đến bệnh viện thăm khám.

hinh-ekip-mo8.jpg
Ê kíp bác sĩ đã thực hiện cuộc phẫu thuật vá lại lỗ thủng xoang hàm cho bệnh nhân

BS.Phạm Ngọc Thái Sơn cho biết, kết quả kiểm tra hình ảnh ghi nhận bệnh nhân có lỗ thủng vùng răng số 18 thông vào xoang hàm. Chính lỗ thủng này khiến nước và không khí lưu thông ngược giữa miệng và mũi, gây viêm xoang kéo dài, nghẹt mũi, đau đầu và nặng vùng mặt.

Cảnh báo biến chứng nguy hiểm

Sau khi hội chẩn, các bác sĩ quyết định phẫu thuật tạo hình đóng lỗ thủng bằng kỹ thuật ghép cân cơ thái dương. Quá trình mẫu thuật, các bác sĩ bóc tách một mảnh cân cơ ở vùng thái dương để ghép vào vị trí thủng, sau đó phủ kín bằng niêm mạc vùng khẩu cái và niêm mạc tại chỗ. Phương pháp này giúp cơ thể người bệnh khôi phục cấu trúc tự nhiên và ngăn chặn hoàn toàn đường thông giữa miệng và xoang hàm.

Sau phẫu thuật, ông S. đã hết nghẹt mũi, không còn chảy dịch hay trào ngược khi uống nước. Đường thở thông thoáng, sức khỏe phục hồi nhanh, trở lại sinh hoạt bình thường.

Theo BS.Thái Sơn, thủng xoang hàm sau nhổ răng khôn hàm trên là biến chứng nghiêm trọng nhưng không hiếm gặp nếu thực hiện ở cơ sở kém uy tín. Xoang hàm trên vốn là một khoang rỗng nằm ngay trên nhóm răng hàm trên (răng số 6, 7 và đặc biệt là răng số 8 – răng khôn), chỉ cách một bản xương mỏng. Khi thao tác nhổ răng không chính xác hoặc dùng lực quá mạnh, bản xương này có thể bị vỡ, tạo nên lỗ thông giữa khoang miệng và xoang.

Khi đó, vi khuẩn trong miệng dễ dàng xâm nhập vào xoang, gây viêm xoang mạn tính, chảy dịch hôi, đau đầu và nghẹt mũi kéo dài. Nếu không phát hiện sớm, lỗ thông sẽ không thể tự lành, người bệnh buộc phải phẫu thuật để tái tạo.

“Nhổ răng khôn chỉ là một tiểu phẫu, nhưng nếu bác sĩ thiếu kinh nghiệm hoặc dụng cụ không đạt chuẩn, nguy cơ tổn thương xoang hàm là rất lớn” - BS.Thái Sơn cảnh báo. Ông cũng cho biết, Bệnh viện Xuyên Á đã từng tiếp nhận nhiều trường hợp viêm xoang mạn do biến chứng từ nhổ răng không an toàn.

Từ trường hợp trên, bác sĩ khuyến cáo người dân nên lựa chọn cơ sở nha khoa uy tín, có bác sĩ chuyên khoa Răng Hàm Mặt và thiết bị hiện đại để đảm bảo an toàn. Sau khi nhổ răng, nếu xuất hiện các dấu hiệu bất thường như đau nhức kéo dài, nước trào lên mũi, nghẹt mũi hoặc chảy dịch hôi, cần đến ngay cơ sở y tế để được kiểm tra và xử trí kịp thời.

Theo các bác sĩ, xoang hàm trên là một khoang rỗng nằm trong xương mặt, có vai trò thông khí và cộng hưởng giọng nói. Khi bị thủng do nhổ răng hoặc chấn thương, miệng và xoang sẽ thông nhau, dễ dẫn đến nhiễm trùng, viêm xoang và rò dịch mạn tính.