Google News

Nghiện thuốc lá, người đàn ông suýt chết vì thuyên tắc phổi nặng

TPO - Người đàn ông 51 tuổi có tiền sử nghiện thuốc lá bị thuyên tắc phổi nặng biến chứng đã sốc, ngất lịm ngoài đồng và suýt tử vong nếu không được xử trí kịp thời.

Đang làm việc ngoài đồng, bỗng ngất lịm

Đó là trường hợp ông N.V.L. (51 tuổi, ngụ tại Tây Ninh) vừa được tiếp nhận, điều trị tại Bệnh viện Nhân Dân 115 TPHCM.

Ngày 9/10, thông tin từ BS Đỗ Công Tuấn, khoa Cấp cứu Bệnh viện Nhân Dân 115 cho biết, bệnh nhân L. nhập viện trong tình trạng huyết áp khó đo, mạch nhanh, thở gấp... Điện tim và siêu âm tim cho thấy dấu hiệu quá tải áp lực thất phải – hình ảnh điển hình của thuyên tắc phổi cấp nặng, nguy cơ tử vong bất kỳ lúc nào.

Theo bệnh sử, ông L. hút thuốc lá nhiều năm qua, hiện mỗi ngày ông hút khoảng 1 gói (tương đương 20 điếu thuốc). Trước khi nhập viện, ông L. đang làm việc ngoài đồng thì bất ngờ cảm thấy chóng mặt, nặng ngực rồi ngất lịm.

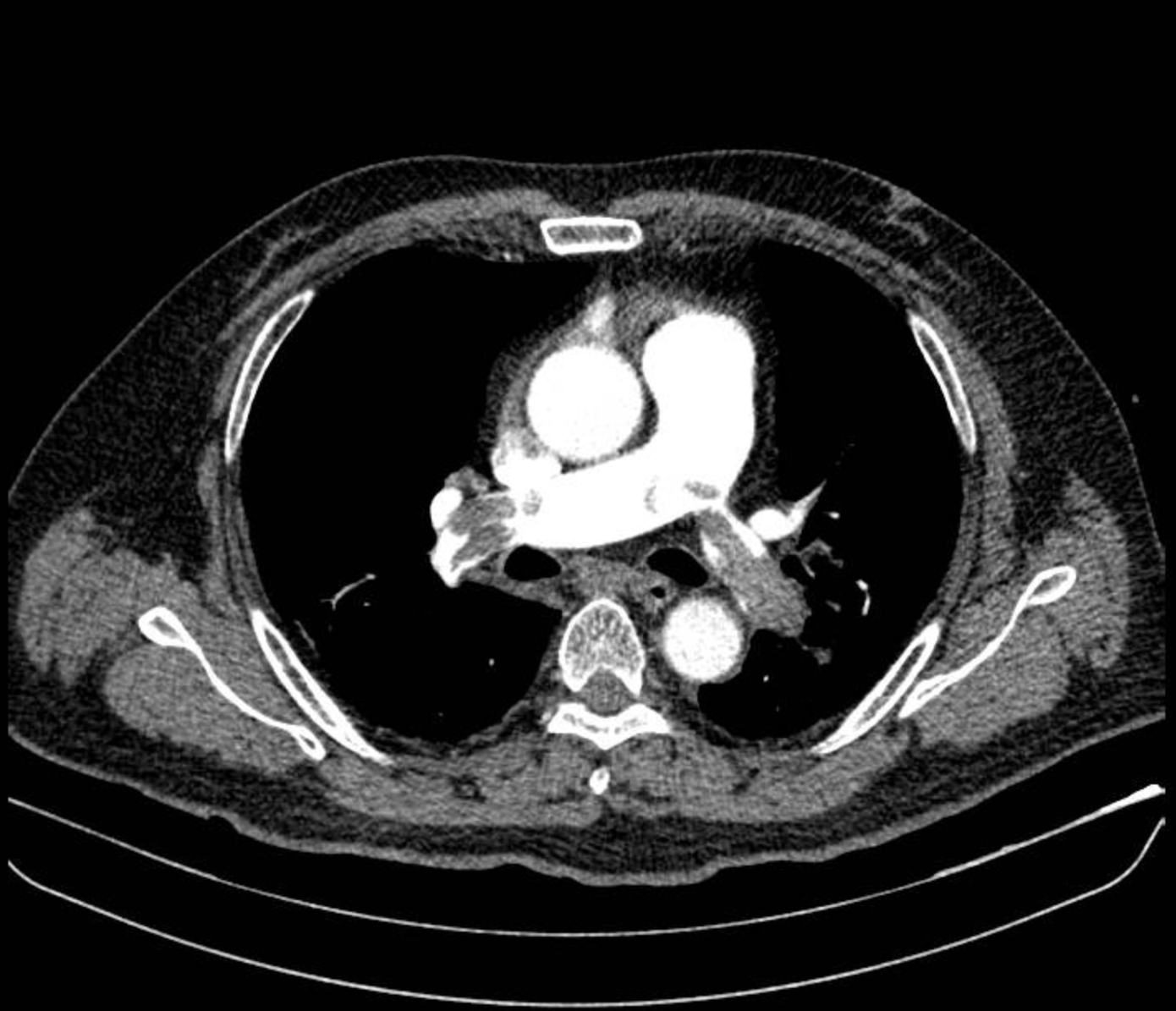
hut-thuoc.png
Hình ảnh chụp CT mạch máu phổi cho thấy huyết khối lớn bít tắc động mạch phổi hai bên (ảnh: BVCC)

Khi tỉnh lại, ông được người nhà phát hiện trong tình trạng choáng váng, khó thở, mạch nhanh và được đưa đến bệnh viện địa phương. Các bác sĩ tại đây nghi ngờ bệnh nhân bị nhồi máu cơ tim cấp biến chứng sốc tim nên đã xử trí cấp cứu ban đầu, sau đó chuyển khẩn đến Bệnh viện Nhân Dân 115.

Nhận định đây là trường hợp sốc tắc nghẽn do thuyên tắc phổi, ê kíp bác sĩ đã nhanh chóng dùng thuốc vận mạch để nâng huyết áp, đồng thời chuyển người bệnh đi chụp cắt lớp vi tính (CT) mạch máu phổi. Hình ảnh ghi nhận huyết khối lớn bít tắc hai nhánh động mạch phổi – nguyên nhân khiến tim phải “gồng” hết sức để bơm máu qua đoạn mạch bị tắc.

Hậu quả từ thuốc lá

Từ kết quả siêu âm mạch máu chi dưới của bệnh nhân, các bác sĩ phát hiện có huyết khối ở tĩnh mạch đùi và tĩnh mạch khoeo chân trái. Cục máu đông tại đây đã di chuyển theo dòng tuần hoàn lên phổi, gây tắc nghẽn động mạch phổi, khiến người bệnh nguy kịch do sốc tắc nghẽn.

Người bệnh không có tiền sử bệnh lý tim mạch. Các bác sĩ nhận định, chất độc từ khói thuốc lá đã làm tăng nguy cơ hình thành huyết khối tĩnh mạch sâu. Ngoài ra, hút thuốc lá còn gây co mạch và tổn thương nội mạc mạch máu là những yếu tố dễ dẫn đến hình thành cục máu đông.

Sau khi hội chẩn với các bác sĩ khoa Hồi sức Tích cực, bệnh nhân được chỉ định dùng thuốc tiêu sợi huyết – phương pháp giúp tan nhanh cục máu đông, giải phóng dòng máu bị tắc nghẽn. Nhờ can thiệp kịp thời, tình trạng huyết động của bệnh nhân cải thiện rõ sau vài giờ. Những ngày sau đó, người bệnh hết khó thở, mạch và huyết áp ổn định, siêu âm tim ghi nhận chức năng thất phải phục hồi.

Sau một tuần điều trị tích cực, sức khỏe bệnh nhân đã bình phục tốt, có thể trở lại sinh hoạt bình thường.

bv-nhan-dan-115-cap-cuu1.jpg
Các y bác sĩ tiếp nhận cấp cứu cho người bệnh (ảnh minh họa)

Từ trường hợp trên các bác sĩ cảnh báo, những người hút thuốc lá lâu năm, ít vận động hoặc có các bệnh lý mạn tính như tăng huyết áp, béo phì, đái tháo đường... cần đặc biệt lưu ý các dấu hiệu như đau ngực, khó thở đột ngột, choáng ngất. Đây có thể là biểu hiện của thuyên tắc phổi cấp, cần được cấp cứu ngay để tránh nguy cơ tử vong.

Theo các bác sĩ, thuyên tắc phổi là tình trạng cục máu đông từ tĩnh mạch sâu (thường ở chân) di chuyển đến phổi, gây tắc nghẽn dòng máu và tăng áp lực lên tim. Bệnh có thể xảy ra đột ngột và dẫn đến tử vong trong vài phút nếu không được chẩn đoán và điều trị kịp thời. Triệu chứng thường gặp gồm: khó thở đột ngột, đau ngực, ho ra máu, tụt huyết áp, ngất xỉu... Người có nguy cơ cao, gồm: người hút thuốc, người ít vận động, sau phẫu thuật, béo phì hoặc sử dụng thuốc tránh thai nội tiết kéo dài.