Google News

Chống chỉ định phẫu thuật, bệnh nhân bị khối bướu 'khủng' bóp nghẹt cổ

TPO - Được bác sĩ phát hiện bị bướu giáp và chỉ định phẫu thuật nhưng nữ bệnh nhân đã không tuân thủ điều trị vì cho rằng bướu lành tính. Sau 5 năm chung sống, khối bướu phát triển lớn, bóp nghẹt cổ khiến bệnh nhân khó thở, ăn uống khó khăn phải nhập viện.

Ngày 19/11, BS-CKII Huỳnh Kiến Thành, Phó trưởng Khoa Ung Bướu, Bệnh viện Đa khoa Xuyên Á (TPHCM) cho biết, tại đây vừa tiếp nhận và can thiệp cho một trường hợp mang khối bướu lớn ở vùng cổ. Bệnh nhân là bà N.T.G. (77 tuổi, ngụ tỉnh Tây Ninh).

Theo bệnh sử, khoảng 5 năm trước, bà G. đã được bác sĩ phát hiện bướu giáp và chỉ định phẫu thuật, điều trị. Tuy nhiên, bà G. cho rằng bướu lành tính, không đau và chưa ảnh hưởng nhiều đến sinh hoạt nên quyết định sống chung. Gần đây, bướu ngày càng lớn, gây khó nuốt, khó thở, khàn giọng, ảnh hưởng ăn uống và giao tiếp nên gia đình đưa bà đến bệnh viện kiểm tra, điều trị.

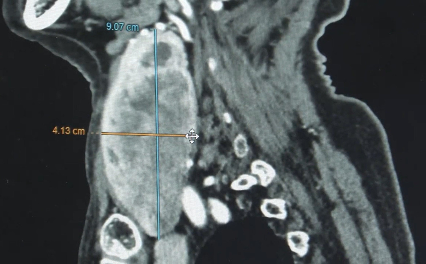
buou.jpg
Khối bướu phát triển lớn sau 5 năm chung sống khiến bệnh nhân đối mặt với nguy hiểm

BS Thành cho biết, kết quả kiểm tra hình ảnh cho thấy, bệnh nhân bị bướu giáp đa nhân hai thùy khổng lồ, thùy trái kích thước 9 cm. Khối bướu lớn lộ ra ngoài, chèn ép thực quản và dây thần kinh thanh quản.

Sau hội chẩn, các bác sĩ nhận định nếu để lâu, bướu sẽ tiếp tục chèn ép đường thở, nguy cơ gây suy hô hấp cấp, đe dọa tính mạng bệnh nhân. Các bác sĩ đã quyết định thực hiện phẫu thuật bóc tách bướu giáp để loại bỏ nguy cơ biến chứng và cải thiện chất lượng sống cho người bệnh.

Do bệnh nhân lớn tuổi, có nhiều bệnh lý nền như tim mạch, huyết áp, đái tháo đường... nên bệnh viện đã phối hợp liên chuyên khoa để kiểm soát toàn bộ bệnh lý nội khoa trước khi mổ. Ca phẫu thuật được thực hiện bằng dao siêu âm, phương pháp cắt và hàn mạch máu hiện đại giúp cầm máu tốt, rút ngắn thời gian phẫu thuật, hạn chế tổn thương mô xung quanh và giảm nguy cơ mất máu

buou-1.jpg
Các bác sĩ thực hiện cuộc phẫu thuật bóc tách khối bướu giáp khổng lồ cho người bệnh

Trong quá trình phẫu thuật, các bác sĩ đã cẩn trọng bóc tách bướu giáp khổng lồ, bảo vệ dây thần kinh thanh quản và các cấu trúc lân cận. Sau ca mổ, bệnh nhân hồi phục tốt, hết cảm giác vướng cổ, khàn giọng biến mất, ăn uống, nói chuyện bình thường.

Tuy nhiên, theo các bác sĩ, sau phẫu thuật, bà G. sẽ phải duy trì uống hormone tuyến giáp để thay thế nội tiết do tuyến giáp sản xuất, phòng nguy cơ suy giáp. Đây là bước quan trọng giúp người bệnh ổn định lâu dài, đảm bảo sức khỏe tổng thể.

Từ trường hợp trên, BS Huỳnh Kiến Thành khuyến cáo cộng đồng, khi nhận thấy vùng cổ xuất hiện khối u, nuốt vướng, khàn giọng kéo dài, người bệnh nên đi thăm khám ngay để được tư vấn và điều trị. Trì hoãn phẫu thuật đối với bướu lớn có thể gây chèn ép thực quản, dây thần kinh thanh quản và đường thở, đe dọa tính mạng. Việc phẫu thuật sớm tại cơ sở y tế uy tín không chỉ giúp người bệnh loại bỏ bướu hiệu quả, an toàn mà còn góp phần cải thiện chất lượng cuộc sống.