Google News

‘U quái’ chèn tim, ép phổi suýt đoạt mạng nam sinh viên

TPO - Các bác sĩ khoa Phẫu thuật Tim – Lồng ngực Mạch máu, Bệnh viện Nhân dân 115 vừa phẫu thuật thành công một trường hợp u quái trung thất hiếm gặp ở người bệnh mới 20 tuổi, khối u lớn chiếm gần trọn lồng ngực phải, chèn ép tim, phổi và tĩnh mạch chủ.

Cơn đau lưng bất thường hé lộ khối u khổng lồ

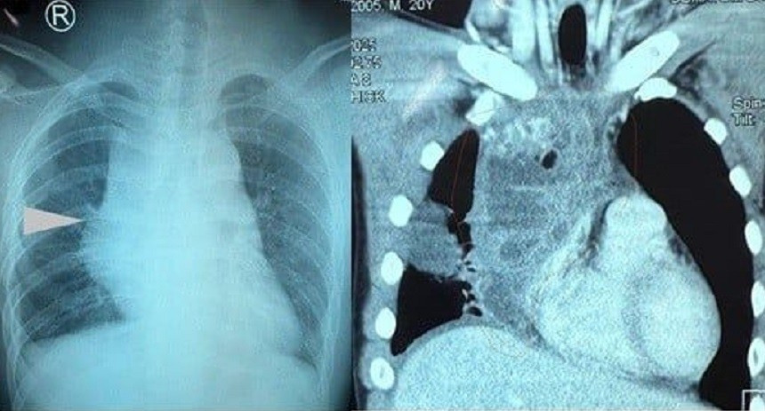
Người bệnh là nam sinh viên N.T.V. (20 tuổi) trước đó hoàn toàn khỏe mạnh, chơi được nhiều môn thể thao như đá bóng, cầu lông, bơi lội. Cách thời điểm nhập viện khoảng hai tuần, anh xuất hiện đau lưng vùng xương vai phải, lan ra trước ngực, cảm giác căng tức và khó thở tăng dần. Khi đến Bệnh viện Nhân dân 115 kiểm tra, hình ảnh X-quang ngực cho thấy bóng trung thất to bất thường.

u-quai-1.jpg
Khối u lớn ở trung thất đe dọa trực tiếp tính mạng người bệnh (ảnh: BVCC)

Ngày 12/10, thông tin từ bệnh viện cho biết, qua chụp CT ngực có cản quang, các bác sĩ phát hiện khối u rất lớn trong trung thất, kích thước khoảng 10 x 7 x 7cm. Khối u chèn ép mạnh vào tim, phổi và tĩnh mạch chủ, gây tụ dịch quanh nhĩ phải và xẹp thùy dưới phổi phải.

Trước tình trạng này, người bệnh được chỉ định mở ngực phẫu thuật cắt trọn khối u. Ca mổ do BS.CKII Dương Văn Mười Một – Trưởng khoa Phẫu thuật tim – Lồng ngực mạch máu cùng ê kíp thực hiện. Sau mổ, bệnh nhân hồi phục nhanh, hết đau ngực, hết khó thở và trở lại sinh hoạt, học tập bình thường. Kết quả giải phẫu bệnh xác định: U quái trung thất trưởng thành (mature teratoma) – dạng u lành tính hiếm gặp.

Theo BS Mười Một, u quái trung thất là dạng khối u phát triển từ tế bào mầm, chiếm khoảng 60% tổng số u tế bào mầm ở trung thất. Các mô trong khối u thường chứa thành phần biệt hóa từ ngoại bì, trung bì và nội bì, có thể bao gồm cả tóc, răng, mỡ hoặc sụn.

Khối u này thường phát triển chậm và không có triệu chứng rõ ràng, do đó phần lớn được phát hiện tình cờ khi bệnh nhân chụp X-quang ngực. Khi u phát triển lớn, các triệu chứng bắt đầu xuất hiện do chèn ép cơ quan lân cận như tim, phổi hoặc mạch máu lớn, gây đau ngực, khó thở, ho hoặc nhiễm trùng phổi tái phát.

Dạng u lành tính nhưng cần can thiệp càng sớm càng tốt

BS Dương Văn Mười Một cho biết: “U quái trung thất tuy lành tính nhưng khi kích thước lớn sẽ chèn ép các cơ quan quan trọng. Việc phát hiện sớm qua chẩn đoán hình ảnh giúp điều trị đơn giản hơn, tránh được nguy cơ biến chứng nặng”.

Cụ thể, phương tiện chẩn đoán hình ảnh như CT ngực và MRI có vai trò quan trọng giúp xác định vị trí, kích thước, mức độ chèn ép cũng như thành phần cấu trúc bên trong khối u (mỡ, mô mềm, canxi hóa...). Đặc biệt, siêu âm tim giúp phát hiện tình trạng chèn ép tim và tĩnh mạch chủ – yếu tố nguy hiểm có thể đe dọa tính mạng người bệnh.

em-kip-ngoai-04fbb6c362d84aad959ec9b72e03dd32-1024x1024.jpg
Ê kíp bác sĩ Bệnh viện Nhân Dân 115 thực hiện cuộc phẫu thuật cho người bệnh

Phẫu thuật cắt bỏ khối u triệt để là phương pháp điều trị tối ưu cho u quái trung thất. Nếu không được xử lý, khối u có thể gây biến chứng nặng như chèn ép tim phổi, vỡ u gây tràn dịch màng phổi hoặc hiếm hơn là chuyển dạng ác tính.

Với sự hỗ trợ của các kỹ thuật gây mê – hồi sức hiện đại và kinh nghiệm phẫu thuật của ê kíp, ca mổ tại Bệnh viện Nhân dân 115 đã diễn ra an toàn, bảo tồn tối đa cấu trúc tim phổi và mạch máu lớn. Bệnh nhân hồi phục nhanh, tiên lượng tốt và không cần hóa trị hay xạ trị bổ sung.

Theo các bác sĩ, u quái trung thất là dạng khối u hiếm có nguồn gốc từ tế bào mầm, thường gặp ở trung thất trước. Phần lớn là u lành tính, phát triển âm thầm nên dễ bị bỏ qua. Dấu hiệu gợi ý gồm đau ngực, khó thở, ho kéo dài, cảm giác tức ngực. Chẩn đoán xác định bằng CT ngực và MRI. Phẫu thuật là phương pháp điều trị triệt để, tiên lượng sau mổ thường rất tốt.