Google News

Chuyến bay dài kỷ lục trên biển cứu cùng lúc 2 bệnh nhân nguy kịch từ Trường Sa

TPO - Chuyến bay cấp cứu đặc biệt vừa đưa tổ cấp cứu đường không Bệnh viện Quân y 175 ra quần đảo Trường Sa vận chuyển an toàn cùng lúc hai bệnh nhân nguy kịch về đất liền. Đây là chuyến bay có thời gian dài kỷ lục, được triển khai trong điều kiện khẩn cấp.

Ngày 23/12, Đại tá – TS.BS Phan Đình Mừng, Phó Giám đốc Bệnh viện Quân y 175 cho biết, ê kíp cấp cứu đường hàng không của bệnh viện vừa phối hợp cùng tổ bay thuộc Binh đoàn 18 hoàn thành xuất sắc nhiệm vụ cấp cứu khu vực biển đảo. Tổ cấp cứu cùng lúc chuyển viện an toàn 2 bệnh nhân đang trong tình trạng nguy kịch về đất liền.

cap-cuu-3.jpg
Tổ cấp cứu hàng không đã đảm bảo an toàn tuyệt đối trong vận chuyển cả 2 bệnh nhân từ đảo về đất liền

Trường hợp thứ nhất là chị T.T.T.H. (sinh năm 1991), cư trú tại đảo Sinh Tồn, mang thai tuần thứ 20. Chiều 21/12, sản phụ xuất hiện ra máu âm đạo, đau bụng tăng dần, được đưa vào Bệnh xá đảo Sinh Tồn và điều trị ban đầu theo tư vấn từ xa của Bệnh viện Quân y 175. Tuy nhiên, đến khuya cùng ngày, tình trạng bệnh diễn biến xấu nhanh chóng. Bệnh nhân bị chảy máu nhiều, cổ tử cung mở, huyết áp tụt, mạch nhanh, siêu âm không ghi nhận tim thai...

Đến 1 giờ sáng 22/12, các chuyên gia của Bệnh viện Quân y 175 đã hội chẩn khẩn qua điện thoại với quân y đảo Sinh Tồn, chẩn đoán theo dõi sẩy thai tiến triển ở thai 20 tuần, nguy cơ băng huyết và sốc mất máu rất cao. Trong điều kiện đảo không có xét nghiệm máu, không sẵn chế phẩm máu, phương án duy nhất được xác định là cấp cứu đường không khẩn cấp, đưa bệnh nhân về đất liền.

Thực hiện mệnh lệnh của Bộ Quốc phòng, 6 giờ sáng 22/12, trực thăng EC225 VN-8620 cất cánh từ sân bay Tân Sơn Nhất, mang theo tổ cấp cứu đường không Bệnh viện Quân y 175 do Đại úy – BS Tạ Văn Bạch làm kíp trưởng, cùng kíp chuyên khoa Phụ sản, mang theo đầy đủ trang thiết bị, thuốc và chế phẩm máu dự trù cho cả tình huống phẫu thuật cấp cứu tại đảo.

cap-cuu-1.jpg
Nữ bệnh nhân mang thai lần thứ hai bị thai lưu đã được các bác sĩ cứu chữa qua cơn nguy kịch

Đến trưa cùng ngày, tổ cấp cứu tiếp cận bệnh nhân tại đảo Sinh Tồn. Qua thăm khám và siêu âm, các bác sĩ xác định thai đã lưu, chảy máu nhiều, bệnh nhân có nguy cơ băng huyết cao. Trong điều kiện đặc biệt giữa biển đảo, kíp cấp cứu đã xử trí khẩn tại chỗ, lấy thai lưu, gắp nhau, kiểm soát buồng tử cung, truyền máu, bù dịch, dùng thuốc tăng co và cầm máu.

Sau hơn 90 phút xử trí tích cực, tình trạng bệnh nhân ổn định, đủ điều kiện vận chuyển bằng đường không.

Thiếu tá, bác sĩ Nguyễn Văn Hữu, khoa Phụ sản Bệnh viện Quân y 175 cho biết, đây là ca xử trí thai lưu rất khó do thai lớn, nguy cơ mất máu cao trong khi điều kiện y tế tại đảo còn hạn chế. Việc mang sẵn chế phẩm máu và chuẩn bị đầy đủ phương án cấp cứu đã giúp bảo đảm an toàn cho người bệnh.

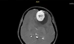
Trong quá trình bay, tổ cấp cứu tiếp tục nhận được thông tin khẩn từ Bệnh xá đảo Trường Sa Lớn về một bệnh nhân nam N.T.P. (sinh năm 1992) bị chấn thương sọ não, nghi ngờ máu tụ nội sọ. Sau hội chẩn từ xa, bệnh nhân được chỉ định vận chuyển khẩn về đất liền để theo dõi và điều trị chuyên sâu.

Với tinh thần sẵn sàng chiến đấu, kíp bay và kíp cấp cứu quyết định tiếp nhận thêm bệnh nhân thứ hai trên cùng chuyến bay.

cap-cuu-2.jpg
Nam bệnh nhân bị chấn thương sọ não đã may mắn được kết hợp chuyển vào đất liền trên chuyến bay cấp cứu

Theo Đại úy - BS Tạ Văn Bạch, do bệnh nhân chấn thương sọ não, trực thăng phải bay thấp hơn bình thường để bảo đảm an toàn khiến thời gian bay kéo dài đáng kể. Trong suốt hành trình, kíp cấp cứu phải theo dõi sát diễn biến của cả hai bệnh nhân, xử trí kịp thời mọi tình huống phát sinh.

Dù hành trình kéo dài, phải tiếp cận hai đảo và xử trí hai ca nguy kịch khác nhau, chuyến bay đã hoàn thành an toàn tuyệt đối.

Khoảng 19 giờ 30 phút, ngày 22/12, trực thăng hạ cánh tại Tòa nhà Viện Chấn thương Chỉnh hình, Bệnh viện Quân y 175. Hai bệnh nhân lập tức được chuyển vào Khoa Cấp cứu để tiếp tục theo dõi, làm xét nghiệm chuyên sâu và hội chẩn điều trị theo phác đồ chuyên sâu.