TPO - Giải chạy “Hành trình tiếp sức” 2025 vừa được Bệnh viện K khởi động, mang theo thông điệp sẻ chia và niềm tin cho cộng đồng, thu hút hàng ngàn vận động viên tham gia. Trong đó nổi bật là hành trình đặc biệt của một người đàn ông mang trong mình căn bệnh ung thư phổi nhưng đã trở thành chiến binh thực thụ trên đường chạy - minh chứng sống động cho sức mạnh niềm tin và khát vọng sống, khát vọng cống hiến.
TPO - Dấu hiệu ung thư phổi thường không rõ ràng ở giai đoạn đầu khiến nhiều người chủ quan hoặc nhầm lẫn với bệnh lý hô hấp thông thường. Bệnh diễn tiến nhanh và thường đã di căn khi phát hiện.
TPO - Ung thư phổi là căn bệnh nguy hiểm hàng đầu trên thế giới với hơn 2 triệu người mắc mới và hơn 1 triệu người tử vong mỗi năm. Tại Việt Nam, trong số các bệnh nhân nhập viện, có đến 62,5% không còn khả năng phẫu thuật. Vậy làm thế nào phát hiện sớm bệnh để điều trị hiệu quả nhất?
TPO - Người bệnh ung thư khi điều trị thường sẽ gặp một số tác dụng phụ như chán ăn, thay đổi vị giác... theo đó dễ dẫn đến nguy cơ suy dinh dưỡng. Uớc tính có tới 10-20% bệnh nhân ung thư tử vong do hậu quả của tình trạng suy dinh dưỡng mà không phải do chính khối u. Do đó, dinh dưỡng đóng vai trò quan trọng trong điều trị ung thư.
TPO - Ung thư phổi đang trở thành mối đe dọa nghiêm trọng tại Việt Nam khi mỗi năm ghi nhận hơn 24.000 ca mắc mới và gần 22.600 trường hợp tử vong. Tỉ lệ sống thêm 5 năm chỉ đạt 14,8%, thuộc nhóm thấp nhất trong các loại ung thư phổ biến.
TPO - Thông tin do Bác sĩ CK2 Mai Thanh Cúc – chuyên khoa ung bướu Bệnh viện Quốc tế Mỹ cho biết tại buổi công bố chương trình “1.000 lượt tư vấn khám ung thư miễn phí cùng đội ngũ giáo sư Nhật Bản” diễn ra hôm nay 27/3.
TPO - Các nhà khoa học của Viện Hàn lâm Khoa học và Công nghệ Việt Nam tìm ra một số hợp chất có hoạt tính rất mạnh diệt tế bào ung thư trong quá trình nghiên cứu San hô, Da gai và một số loài sinh vật tại vùng biển Khánh Hòa - Bình Thuận.
TPO - Lấy cảm hứng từ những cây dược liệu thiên nhiên, nam sinh Tô Mạnh Ngọc đã dành trọn niềm say mê khám phá để thử thách bản thân với công trình nghiên cứu về hoạt tính sinh học của các hợp chất được chiết xuất từ cây xáo tam phân, từ đó góp phần trong việc tìm kiếm giải pháp điều trị căn bệnh ung thư.
“Sau này em khỏe lại, em yêu người khác cũng được. Giờ cứ để anh bên cạnh chăm sóc em đi”, câu nói của chàng trai từng tỏ tình 9 lần khiến Huyền rung động.
TPO - Người bệnh ung thư nói chung và ung thư phổi nói riêng trong quá trình điều trị thường sẽ gặp tình trạng chán ăn. Điều này xuất phát từ các rối loạn tiêu hoá, thay đổi vị giác, tâm lý lo lắng hoặc tác dụng phụ của các phương pháp trị liệu.
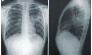
TPO - Bé trai 10 tuổi được chẩn đoán bị viêm phổi nhưng qua nhiều bệnh viện điều trị, tình trạng bệnh vẫn không cải thiện. Tại Bệnh viện Nhi Đồng 2, các bác sĩ phát hiện bệnh nhi bị ung thư phổi hiếm gặp.
TP - Theo báo cáo của Bộ Y tế, tại Việt Nam, mỗi năm có khoảng 40.000 ca tử vong do các bệnh liên quan đến thuốc lá (trung bình mỗi ngày có hơn 100 người chết vì thuốc lá). Nếu không can thiệp kịp thời, ước tính số ca tử vong do các bệnh liên quan đến thuốc lá sẽ tăng lên 70.000 ca/năm vào năm 2030.
TPO - Tỷ lệ mắc phải của ung thư phổi trong cộng đồng đứng hàng thứ 3 trong các loại ung thư nhưng mức độ nguy hiểm thì ung thư phổi là “sát thủ” hàng đầu gây tử vong cho người bệnh.
TPO - Các nhà nghiên cứu từ UCL, Viện Francis Crick và AstraZeneca đã phát hiện ra lý do khiến phương pháp điều trị đích đối với bệnh ung thư phổi không có tác dụng đối với một số bệnh nhân, đặc biệt là những người chưa bao giờ hút thuốc.
TPO - Bệnh viện Chợ Rẫy TPHCM đã thực hiện thành công 78 ca phẫu thuật robot cắt thùy phổi ung thư cho người bệnh. Bước đầu cho thấy, phương pháp này mang lại hiệu quả cao trong điều trị, giúp loại bỏ triệt để khối u ác tính, hạn chế nguy cơ bệnh tái phát.
TPO - Dấu hiệu sớm của ung thư phổi rất ít xuất hiện và cũng không có xét nghiệm sàng lọc nào có thể phát hiện bệnh ở giai đoạn đầu. Vì vậy, phần lớn bệnh nhân được phát hiện và chẩn đoán khi ung thư đã tiến triển và di căn ra khắp nơi trong cơ thể.