Google News

Tim xoay phải 90 độ sau tai nạn

Tim xoay phải 90 độ sau tai nạn
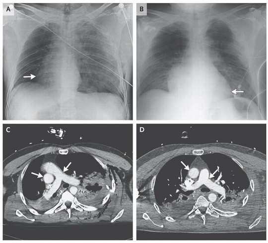
Một tai nạn xe mô tô tại Ý đã khiến trái tim của một người đàn ông 48 tuổi xoay chuyển sang ngực phải nhưng vẫn sống sót.

Nhóm bác sĩ cấp cứu người bị nạn phát hiện rằng trái tim của bệnh nhân đã dịch chuyển khi họ tìm cách nghe nhịp tim. Xét nghiệm hình ảnh cho thấy tim bệnh nhân đã xoay chuyển 90 độ về bên phải. Nhóm thầy thuốc này mô tả trường hợp hiếm có này trên tờ New England Journal of Medicine, hôm 7-5.

Tim bệnh nhân xoay 90 độ sau tai nạn

Trưởng Khoa Phẫu thuật tim lồng ngực tại Bệnh viện Lenox Hill, TP New York - TS Gregory Fontana - nhận định: “Đây là một phát hiện mới hết sức bất thường nhưng rất thú vị về giải phẫu học. Tôi chưa từng thấy trường hợp nào như vậy và ngạc nhiên thấy bệnh nhân vẫn còn sống. Điều độc đáo của ca này là trái tim xoay chuyển quá xa theo hướng khác”.

Là người không liên quan đến ca cấp cứu bệnh nhân này, TS Fontana cho rằng có thể trái tim xoay chuyển do cơ thể bệnh nhân bị vặn vẹo rất mạnh trong tai nạn nhưng trên thực tế sự xoay chuyển này xảy ra sau nhiều phút thậm chí một giờ sau tai nạn.

Nhóm bác sĩ điều trị phát hiện các vết thương ở phổi bệnh nhân và tai nạn khiến khí trong phổi thoát ra ngoài, đẩy trái tim về bên phải. Sau khi họ rút khí khỏi lồng ngực, tim bệnh nhân lại xoay về bên trái và trở lại vị trí cũ sau 24 giờ.

Lâu nay, tim nằm bên phải chỉ được ghi nhận ở một số ít trường hợp do bẩm sinh hoặc bệnh nhân bị ung thư phổi đã bị cắt bỏ một phần phổi tạo chỗ trống cho trái tim chuyển vào. Trường hợp trái tim xoay chuyển do tai nạn như vậy là điều chưa từng thấy, TS Fontana nhận định.