TPO - Tin lời rỉ tai về loại thuốc tiêm trị đau lưng hiệu nghiệm, người đàn ông 61 tuổi (ngụ Long An) đã phải nhập viện cấp cứu trong tình trạng nhiễm trùng nặng, suýt mất mạng. Các bác sĩ phải phẫu thuật khẩn cấp, rạch tháo gần 700ml mủ trắng đục để cứu sống bệnh nhân.
TPO - Đột ngột choáng váng rơi vào hôn mê khi đang bế cháu, tại bệnh viện ông B. được các bác sĩ xác định bị đột quỵ. Người bệnh đã may mắn nhập viện trong “thời gian vàng” sau khi được bác sĩ can thiệp sức khỏe đang bình phục tốt.
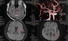
TPO - Nam doanh nhân 41 tuổi, đến bệnh viện trong tình trạng tê yếu nửa người do nhồi máu não. Khai thác bệnh sử của bác sĩ từ phía người bệnh ghi nhận, trước đó doanh nhân trẻ thường xuyên tiếp đối tác bằng rượu bia.
TPO - Nếu không tìm được phương pháp tốt để chữa trị chấn thương bàn chân mãn tính, “Vua đất nện” Rafael Nadal có thể sẽ phải chia tay sự nghiệp quần vợt đỉnh cao của mình.
TPO - Ngày 28/2, đoàn giám sát “Việc thực hiện chính sách, pháp luật về phòng, chống xâm hại trẻ em” họp phiên thứ ba, cho ý kiến về kết quả giám sát. Dự kiến, báo cáo sẽ được trình chiếu trước Quốc hội bằng video clip.
TPO - BV Da liễu Trung ương tiếp nhận liên tục 3 trường hợp vào viện sau khi tiêm thuốc làm tan mỡ để giảm béo đón Tết. Bệnh nhân đến viện trong tình trạng mỡ bị phân hủy nhưng không tan, vây quanh mạch máu, thần kinh tạo thành ổ đọng dịch, hoại tử.
TPO - Sáng 18/10, đại diện Sở Y tế Bình Định cho biết đơn vị này đang chờ kết luận của cơ quan điều tra, kết quả khám nghiệm tử thi liên quan đến cái chết của bé gái 6 tuổi.
TPO - Thấy mệt mỏi nên người đàn ông 40 tuổi ở Vĩnh Long đã tìm đến một bác sĩ tư thăm khám. Tại đây, anh được kiểm tra sức khỏe và được chỉ định tiêm thuốc. Ngay sau đó, người này bất ngờ có triệu chứng khó chịu, mặt tím tái rồi tử vong.
TPO - Ngày 4/1, Công an huyện Tân Thành (tỉnh Bà Rịa-Vũng Tàu) cho biết, đang tiếp tục điều tra nguyên nhân cái chết của ông Bùi Thanh Quyết (SN 1952; trú: xã Tân Hòa, huyện Tân Thành).
TPO - Sau khi tiêm thuốc cản quang để phục vụ chụp cắt lớp CT, chị Thúy bị sốc phản vệ và tử vong sau đó dù các y, bác sỹ của bệnh viện đã nỗ lực hồi sức, cấp cứu.
Sau 12 ngày nhiễm độc thuốc diệt cỏ, 13h ngày 3/12, bé trai 2 tuổi đã qua đời, còn cậu anh 7 tuổi vẫn nguy kịch. Trong khi đó, làm việc với cơ quan điều tra, mẹ của hai bé phủ nhận việc tiêm thuốc độc vào các con như tố cáo của chồng.
Đi chơi trong công viên, Đạt thấy con rắn dưới hồ bèn nhảy xuống bắt và bị cắn. Sau khi bán con rắn được hơn 1 triệu đồng rồi vào bệnh viện điều trị vết thương nhưng nạn nhân tử vong sau đó.
TP - Quan điểm chỉ đạo của lãnh đạo Bộ Y tế là phải làm việc nghiêm túc, chặt chẽ, khoa học, khách quan trên cơ sở ý kiến các bên, để tìm ra nguyên nhân và khắc phục hậu quả của vụ việc đau xót này, PGS.TS Lương Ngọc Khuê, Cục trưởng Cục Quản lý Khám chữa bệnh, Bộ Y tế nói.