TPO - Ngày 6/7, thông tin từ Bệnh viện Đa khoa Xuyên Á (TPHCM) cho biết, tại đây vừa phẫu thuật khẩn nguy, cứu sống bệnh nhân bị máy cày tông trúng, cuốn vào gầm xe, đa chấn thương nghiêm trọng, nguy cơ tử vong do sốc mất máu.
TPO - Ngày 13/5, thông tin từ Bệnh viện Chợ Rẫy TPHCM cho biết, tại đây đang điều trị cho 4 nạn nhân trong vụ tai nạn giao thông xảy ra tại huyện Định Quán, tỉnh Đồng Nai. Vụ việc khiến 4 người bị thương nặng, trong đó có một phụ nữ phải cắt bỏ chân.
TPO - Ngày 25/4, Bệnh viện Thống Nhất TP.HCM trở thành đơn vị y tế đầu tiên tại Việt Nam được Tổ chức Loãng xương Thế giới (IOF) công nhận đạt chuẩn bạc trong quản lý gãy xương do loãng xương theo mô hình FLS (Fracture Liaison Service). Đây là bước tiến lớn trong cuộc chiến chống lại một căn bệnh âm thầm nhưng gây hậu quả nghiêm trọng cho sức khỏe cộng đồng.
TPO - Sau tai nạn giao thông, người đàn ông 33 tuổi bị gãy xương chậu, trật khớp háng, nguy cơ đối mặt với thương tật vĩnh viễn. Bằng phương pháp dựng hình 3D, các bác sĩ đã tạo ra mô hình xương gãy, giúp cuộc phẫu thuật diễn ra thành công.
TPO - Đại diện Bộ Y tế Công cộng Somsak, Thái Lan khẳng định cái chết của Ping Chayada không liên quan đến massage. Kết quả khám nghiệm tử thi cho thấy nữ ca sĩ tử vong do biến chứng viêm màng não.
TPO - Các bác sĩ Bệnh viện E vừa tiếp nhận và cứu sống thành công một người bị tai nạn giao thông do bị xe tải 1,5 tấn chở hàng hóa lùi và đè qua người khiến đa chấn thương nghiêm trọng: Vỡ khung chậu phức tạp, vỡ bàng quang, đa gãy xương…
TPO - Khởi phát bệnh với những cơn đau ở vùng ngực, sườn, lưng, đến hai bên hông, bàn chân sau đó lan ra khắp cơ thể, sau 6 năm nữ bệnh nhân đã bị gãy xương khắp cơ thể. Các bác sĩ phát hiện bệnh nhân mắc một loại bệnh cực hiếm gặp, ghi nhận rất ít trên thế giới.
TPO - Nguyễn Công Duy (sinh năm 1999) tại Thành phố Thái Nguyên với đặc sản chè Tân Cương và Bánh chưng Bờ Đậu nổi tiếng. Công Duy tốt nghiệp bằng Xuất sắc chuyên ngành Sư phạm tiếng Anh – K40 của Trường Ngoại ngữ - Đại học Thái Nguyên. Duy kém may mắn so với mọi người khi phải đối mặt với căn bệnh “xương thủy tinh, xương dễ vỡ” từ khi còn nhỏ, nhưng Duy không ngại gian khổ vượt khó, sống tích cực vươn lên trong cuộc sống.
TPO - Trèo cây bị ngã gãy xương đùi, người trong gia đình đã bó nguyên con gà đã cắt cổ vào đùi một thiếu niên ở Quảng Ngãi với hy vọng mau lành bệnh dẫn đến vết thương bị nhiễm trùng!
TPO - Chiếc kim may quần áo đã xuyên từ đường tiêu hóa sang phổi của bệnh nhi, đe dọa trực tiếp đến sự an toàn của tính mạng. Trường hợp hi hữu trên vừa được các bác sĩ Bệnh viện Nhi Đồng 2, TPHCM phát hiện, can thiệp kịp thời.
TPO - Chỉ sau 38 giây thi đấu, võ sĩ có biệt danh ‘Spartan’ - Andrey Koreshkov đã hạ gục Chance Rencountre và khiến đối thủ gãy 5 xương sườn bằng một cú đá xoay cực mạnh.
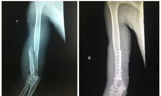
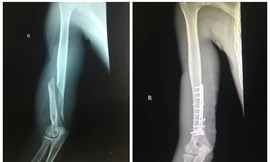
Sau khi đọ sức cùng bạn thông qua trò vật tay, nam thanh nhiên ở Quảng Yên, Quảng Ninh phải vào viện cấp cứu. Xương cánh tay bị gãy vặn xoắn một đoạn khoảng 8cm.
TPO - Mẹ của bé gái bị xâm hại tình dục dẫn tới gãy xương ở huyện Chương Mỹ (Hà Nội) đã gửi đơn kháng cáo, cho rằng bản án chung thân cho kẻ hiếp dâm con mình còn nhẹ, chưa đủ sức răn đe.
TPO - Người đàn ông bóp mồm, cổ của bé gái để thực hiện hành vi xâm hại tình dục khiến nạn nhân bị gãy xương, gãy răng… Người này đã hầu tòa và phải chịu án tù chung thân.
TPO - Sang nhà con gái chơi khi trời vừa tạnh mưa, do không cẩn thận nên một cụ ông gần 100 tuổi bất ngờ bị trượt té gãy xương, buộc phải phẫu thuật thay khớp háng.
TPO - Liên quan sự việc bé trai tử vong khi gây tê để mổ gãy xương tại Bệnh viện Trung ương Quân đội 108, lãnh đạo bệnh viện này cho biết đã thành lập Hội đồng chuyên môn và mời các chuyên gia đầu ngành của các Bệnh viện lớn tham gia.
TPO - Ngoài việc tự ý vào nhà người dân đánh chó, ông Đỗ Xuân Chính - Phó trưởng công an xã Ea Đăh, huyện Krông Năng (Đắk Lắk) còn đánh một người dân gãy 2 xương sườn, thương tích 10%.