Đây không phải cách nói quá về căn bệnh đột quỵ mà đó là thực tế diễn ra mỗi ngày, mỗi giờ, mỗi phút. Theo số liệu từ các chuyên gia y tế, cứ 3 giây trôi qua thì trên thế giới có 1 người bị đột quỵ. Cứ 4 người trưởng thành trên 25 tuổi thì 1 người có nguy cơ bị đột quỵ. Đột quỵ không còn là căn bệnh của người già, tỷ lệ đột quỵ ở người trẻ dưới 50 tuổi là 16% (năm 2019) có xu hướng ngày càng gia tăng.
Giá như…
Câu hỏi đau lòng từ phòng cấp cứu ở tất cả các bệnh viện nói chung: “Hôm qua cha mẹ tôi/ chồng vợ tôi/anh chị tôi/con tôi còn bình thường... Hôm nay như vậy là sao bác sĩ?!”.
![]() |
| Tình trạng cấp cứu tại Bệnh viện Đa khoa Quốc tế S.I.S Cần Thơ với ca bệnh đột quỵ chiếm 80% trong số khoảng 120 ca tiếp nhận mỗi ngày |
Có dịp tiếp xúc với người thân của bệnh nhân đột quỵ, câu nói thường nghe đó là mới ăn cơm/ mới uống cà phê/ mới nói chuyện qua điện thoại/ mới chạy xe/ mới thấy xân xẩn đó… mà giờ đã nằm đây bất động… Với căn bệnh đột quỵ, một người hôm qua còn khỏe mạnh, làm việc cười nói nhưng hôm nay đã khác. Có những người may mắn được phát hiện sớm đưa đến cơ sở y tế điều trị kịp thời. Nhưng có không ít người mãi mãi kẹt lại ở cái tuổi ấy. Cái tuổi trẻ trung, thanh xuân tràn đầy sức sống; cái tuổi cống hiến, dựng xây gia đình; cái tuổi đang ở đỉnh cao sự nghiệp,… Lúc đó chỉ còn cảm thán mà thốt lên 2 từ “giá như”… Giá như tôi quan tâm đến sức khỏe hơn… Giá như tôi không hút thuốc lá… Giá như tôi uống thuốc đều độ… Giá như tôi đến sớm hơn…
![]() |
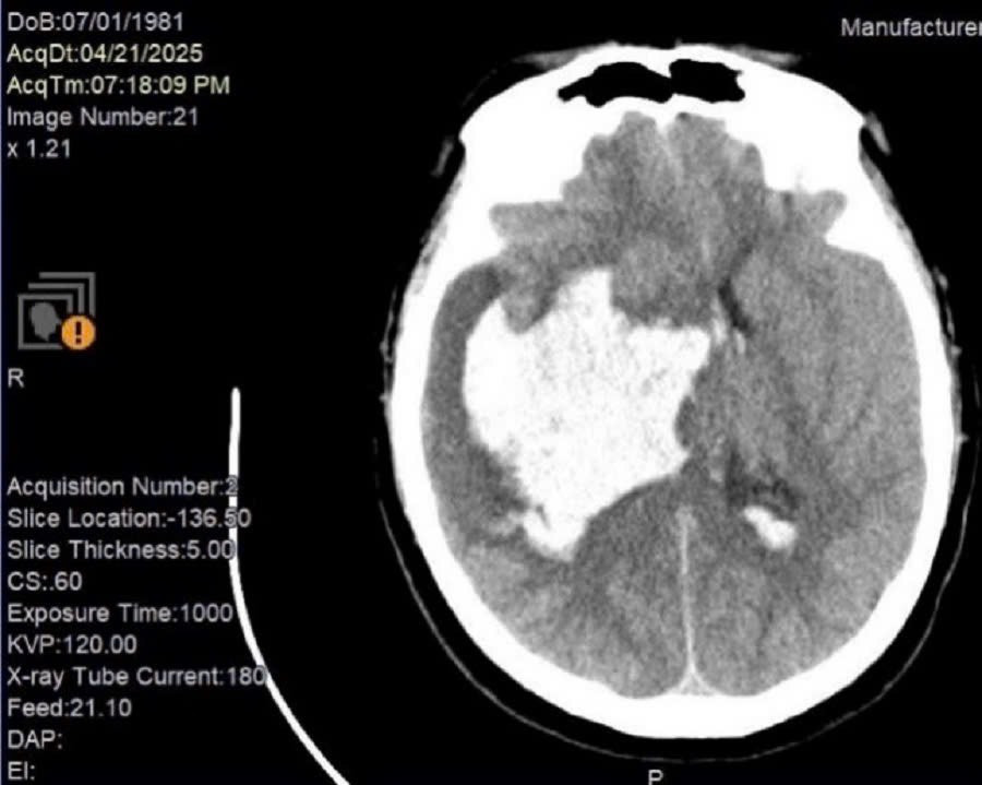
Một trường hợp bệnh nhân nam T. 44 tuổi bị đột quỵ xuất huyết não nặng nguyên nhân do tăng huyết áp. Ca xuất huyết não này không thể làm gì cả. Mơ ước của người nhà là bác sĩ cố gắng hết sức… gia đình có điều kiện nên cần làm gì cứ làm! Các bác sĩ chỉ biết ngậm ngùi… giá như bệnh nhân đến trong ngày hôm qua lúc nguy cơ đột quỵ (tăng huyết áp) chưa trở thành thảm họa. Để hôm nay hai chữ “giá như” bác sĩ không thể nói lúc bệnh nhân đang hấp hối. Vì cho dù đúng nhưng sẽ tàn nhẫn với người ở lại biết bao nhiêu.
Hay một trường hợp khác bệnh nhân nam 71 tuổi có tiền sử huyết áp cao, rối loạn mỡ máu, thiếu máu cơ tim cục bộ. Vài tháng trước, ông đã có cơn yếu nhẹ nửa người cũng đã đi khám bệnh và đang uống thuốc. Nhưng thuốc đó vẫn không bảo vệ được ông để rồi hôm nay ông bị đột quỵ tắc hoàn toàn động mạch cảnh trong bên phải khi đang ngủ. Các bác sĩ đã can thiệp cố gắng lấy ra 10 cục huyết khối tái thông cho ông. Nhưng có lẽ kết quả sẽ tốt hơn nếu vài tháng trước ông được tầm soát ngay lúc có triệu chứng đột quỵ nhẹ.
Đáng báo động hơn, một bệnh nhân nam sinh năm 2003 bị đột quỵ nhồi máu não may mắn được đưa đến điều trị trong thời gian vàng. Bệnh nhân có tiền sử hút thuốc lá từ năm 16 tuổi, trung bình mỗi ngày hút từ 1-2 gói. Ở cái tuổi được gọi là thanh niên trai tráng, gia đình bạn bè ai cũng sốc khi biết em bị đột quỵ. Bản thân em cũng không thể ngờ đột quỵ lại đến với mình!
![]() |
Vấn đề đặt ra từ 3 trường hợp thực tế trên: Bệnh lý tăng huyết áp trong cộng đồng thì có cần thiết tuyên truyền yếu tố nguy cơ dẫn đến đột quỵ hay không? Làm cách nào để bệnh nhân tuân thủ uống thuốc điều trị dự phòng? Dù có lợi cho chính bản thân nhưng chưa chắc họ đã tuân thủ… Làm thế nào để giảm thiểu tỷ lệ hút thuốc lá trong cộng đồng? Hay chờ đến khi xảy ra đột quỵ thì phó thác hết cho bác sĩ “còn nước còn tát”? Vô số câu hỏi đặt ra chỉ khi họ tận mắt chứng kiến người thân, bạn bè bị đột quỵ. Có lẽ nhiều người vẫn nghĩ đột quỵ sẽ chừa mình ra!
Những ai cần tầm soát nguy cơ đột quỵ?
Tại hội thảo Phòng chống đột quỵ: Từ lý thuyết đến thực tế hành động, trong phiên thảo luận, TS.BS Trần Chí Cường - Chủ tịch Hội Can thiệp Thần kinh TPHCM, thành viên Hội Can thiệp Thần kinh Thế giới, Giám đốc Bệnh viện Đa khoa Quốc tế S.I.S Cần Thơ đã nhấn mạnh:
“Bệnh đột quỵ có những triệu chứng báo trước và không có triệu chứng báo trước…Có trường hợp xảy ra đột ngột không kịp trở tay… có trường hợp bệnh nhân có triệu chứng đột quỵ nhẹ vài lần trước đó nhưng bỏ qua… việc khám tầm soát sức khỏe có thể từ đơn giản như khám lâm sàng, làm các xét nghiệm cơ bản: đo điện tim, siêu âm, X-Quang… Với những trường hợp cần loại trừ, tìm nguyên nhân nguy hiểm trong não: hiện nay với công nghệ hiện đại, chỉ cần khoảng 15 phút, máy cộng hưởng từ 3 Tesla chuyên dụng sẽ cho thấy rõ các nguyên nhân liên quan mạch máu não: phình mạch, dị dạng mạch, hẹp tắc mạch máu, nhồi máu não, xuất huyết não mà thậm chí không cần tiêm một giọt thuốc tương phản nào, cũng không bị nhiễm xạ tia X.
Với sự hỗ trợ đắc lực này, các bác sĩ có thể chẩn đoán được nguyên nhân gây đột quỵ để điều trị và dự phòng tái phát cho bệnh nhân. Đó là ý nghĩa quan trọng trong việc tầm soát đột quỵ. Vì thế việc tầm soát đột quỵ có ý nghĩa quan trọng với các nhóm đối tượng sau:
![]() |
Đầu tiên là những người đã từng bị đột quỵ. Đây là nhóm nguy cơ cao, tầm soát đột quỵ để giảm thiểu nguy cơ tái phát. Khi đột quỵ tái phát các triệu chứng sẽ nặng hơn rất nhiều và gây nguy hiểm đến tính mạng.
Nhóm thứ hai là những người có triệu chứng bất thường: đau đầu kéo dài, động kinh, những cơn mất ý thức thoáng qua đặt biệt là ở người trẻ, dấu hiệu thần kinh khu trú yếu tay yếu chân, tê tay chân, nói đớ nói khó…
Nhóm thứ ba là những người có bệnh nền người có bệnh lý tăng huyết áp, bệnh tiểu đường, hút thuốc lá nhiều, đặc biệt là người có tiền sử về bệnh tim mạch, đau ngực mệt, khó thở thường xuyên khi gắng sức.
Nhóm thứ tư là những người có người thân, ông bà, cha mẹ, anh chị em ruột đã từng bị đột quỵ trẻ không rõ nguyên nhân.
Cuối cùng là những người thường xuyên hút thuốc lá, uống rượu bia nhiều, người thừa cân, béo phì… áp lực công việc cao, muốn bảo vệ sức khỏe tốt nhất, có điều kiện muốn đi ra nước ngoài để khám tổng quát chuyên sâu thì nay đã có thể thực hiện tại Việt Nam với một chi phí thấp hơn đáng kể…”.
Những thứ bào mòn sức khỏe
Các chuyên gia cảnh báo 10 yếu tố hàng đầu gây đột quỵ gồm có: hút thuốc lá, chế độ ăn uống không hợp lý, sử dụng đồ uống có cồn, ít hoạt động thể lực, ô nhiễm không khí, chỉ số BMI cao, tăng cholesterol, tăng huyết áp, tăng đường huyết, rối loạn chức năng thận.
Trong đó, hút thuốc lá là yếu tố được các chuyên gia cảnh báo đầu tiên. Cách đây không lâu một đoạn clip được lan truyền trên mạng xã hội khiến hàng triệu phụ huynh đứng ngồi không yên. Đó là một nhóm nữ sinh mới học lớp 5 đang phì phèo hút thuốc lá ngay trong khuôn viên trường học.
Trước hình ảnh này, chúng ta coi điều tự nhiên, đáng dự phòng hay dự báo? Liệu ở những nơi khác, vào thời điểm khác có bao nhiêu em học sinh có đang sử dụng thuốc lá mà không được biết đến? Làn khói thuốc lá thiêu rụi sức khỏe cộng đồng đang diễn ra âm thâm từ thế hệ mầm non của đất nước, trách nhiệm này thuộc về ai? Còn trách nhiệm của các y bác sĩ làm gì để giải quyết vấn đề này?
Ngoài sự nỗ lực truyền thông sức khỏe trong cộng đồng, cần lắm sự đồng lòng quyết tâm của các cơ quan chức năng và quan trọng là ý thức cũng như sự hiểu biết của cộng đồng. Để không còn là những câu cảm thán không lời đáp như mới ngày hôm qua…
Những câu chuyện đột quỵ hiện nay đã không còn là vấn đề chỉ riêng của bác sĩ. Kiến thức cộng đồng trong việc phòng tránh từ xa; hiểu biết các phương pháp điều trị có kết quả nghiên cứu theo khoa học; hiểu được thời gian trong đột quỵ là mạng sống; cần bác sĩ có chuyên môn; hiểu được giá trị của công nghệ trong chẩn đoán và điều trị... Chẩn đoán tầm soát sớm đúng đối tượng để không còn những câu cảm thán không lời đáp như: mới ngày hôm qua… Đừng để mất bò mới lo làm chuồng và sự tiếc nuối trong vô vọng…



