TPO - Ở giai đoạn đầu, ung thư thận thường diễn biến âm thầm, không gây đau hay triệu chứng rõ rệt, khiến nhiều người phát hiện bệnh khi đã ở giai đoạn muộn.
TPO - Ung thư là một căn bệnh vô cùng nguy hiểm và gây ra những hậu quả nặng nề đối với tình trạng sức khỏe người bệnh, tỷ lệ tử vong cao. Trong số đó, ung thư thận được xem là một căn bệnh quái ác có tỷ lệ tử vong khá cao.
TPO - Bệnh nhân suy tuyến thượng thận có cần xét nghiệm cortisol máu vào 20h tối không? Có cần điều trị corticoid cho bệnh nhân sau mổ cắt tuyến thượng thận không?...Đó là những câu hỏi mà rất nhiều bệnh nhân suy tuyến thượng thận quan tâm.
TPO - Các bác sĩ Bệnh viện Ung Bướu Hà Nội vừa thực hiện thành công ca phẫu thuật loại bỏ khối u thận trái kích thước khổng lồ kèm huyết khối xâm lấn tĩnh mạch chủ dưới cho một nữ bệnh nhân 68 tuổi. Đây là ca mổ có độ khó và nguy cơ cao, đòi hỏi kĩ thuật phức tạp cùng sự phối hợp chặt chẽ giữa nhiều ê-kíp chuyên môn.
TPO - Âm thầm phát triển trong cơ thể và ít khi gây triệu chứng sớm, ung thư thận được mệnh danh là “cái bẫy thầm lặng”. Mỗi năm Việt Nam ghi nhận 1.700 - 2.000 ca mắc mới, trong đó nhiều bệnh nhân phát hiện khi đã ở giai đoạn muộn. Các chuyên gia khuyến cáo siêu âm bụng định kì và chú ý tới những tín hiệu bất thường của cơ thể có thể là chìa khóa để bảo vệ sức khoẻ.
TPO - Ung thư thận là loại ung thư rất đáng sợ vì khi được phát hiện, tỉ lệ tử vong rất cao. Và đây cũng là nỗi ám ảnh, nỗi lo của nhiều người không may mắc các bệnh lý về thận.
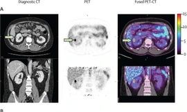
TPO - Một nghiên cứu mới do các nhà điều tra từ Trung tâm Ung thư Toàn diện Jonsson của UCLA Health (Mỹ), dẫn đầu đã chứng minh một kỹ thuật chụp ảnh mới, không xâm lấn có thể phát hiện chính xác ung thư biểu mô tế bào thận sáng, dạng ung thư thận phổ biến nhất.
TPO - Thường xuyên mệt mỏi, chán ăn, tiểu ít, sụt cân không rõ nguyên nhân, nam bệnh nhân đến bệnh viện thăm khám thì được bác sĩ phát hiện cơ thể ông chỉ có 1 quả thận. Nhưng quả thận duy nhất lại có bướu phát triển dạng ung thư.
TPO - Bánh mì là loại thực phẩm ưa thích của nhiều người, đặc biệt là trong bữa sáng. Tuy nhiên, ăn bánh mì thường xuyên có thể gây ra một số nguy hiểm, dẫn đến bệnh tật cho cơ thể.
TPO - Những dấu hiệu dưới đây cảnh báo chức năng thận của bạn đang bị suy giảm, thậm chí có thể là đang chứa khối u trong thận, nên đến bệnh viện để kiểm tra sức khỏe ngay lập tức.
TPO - Mỗi năm Việt Nam ghi nhận gần 2.400 ca mắc ung thư thận, tỉ lệ tử vong chiếm khoảng 55%. Điều đáng lo ngại là rất nhiều bệnh nhân phát hiện khi bệnh đã ở giai đoạn muộn. Vậy đâu là những dấu hiệu cảnh báo để nhận biết bạn có thể mắc ung thư thận?
TPO - Dù ai cũng biết tác hại khôn lường của việc hút thuốc lá nhưng không phải ai cũng biết 8 bệnh ung thư do hút thuốc lá gây nên. Thuốc lá có chứa đến hơn 40 chất gây ung thư cực kỳ nguy hiểm.
TP - Gặp bác Trần Phước Thành đang nhanh nhẹn dọn hàng ra bán trên một con phố đông đúc tại Q.1(TPHCM), chúng tôi bất ngờ khi biết người đàn ông này gần hai năm trước đã từng bị dồn đến con đường cùng bởi căn bệnh ung thư thận quái ác.