TPO - Bé trai 2,5 tuổi được Bệnh viện Nhi Đồng 1 cứu sống sau khi bị đột quỵ do một tình trạng y khoa hiếm gặp – huyết khối tĩnh mạch nội sọ liên quan đến bệnh lý di truyền homocystin niệu.
TPO - Được chẩn đoán bị động kinh trên nền bệnh lý cao huyết áp và từng nhồi máu não, tuy nhiên bệnh nhân đã tự ý ngưng thuốc điều trị. Vài tháng sau, bệnh nhân đột ngột rơi vào co giật, mất ý thức phải nhập viện cấp cứu.
TPO - Động kinh là một bệnh với biểu hiện lâm sàng dưới nhiều triệu chứng khác nhau trong đó có một thể thường gặp là cơn co giật trong trạng thái mất ý thức, có thể gây nguy hiểm đến tính mạng người bệnh.
TPO - Khi đang cùng bạn bè tắm ở bãi biển Nhật Lệ, anh Lê Anh Q. (20 tuổi), ở thị trấn Nông Trường Việt Trung, huyện Bố Trạch (Quảng Bình) bất ngờ bị động kinh và đuối nước.
TPO - Bệnh nhân bị giật kinh phong (động kinh) không chỉ ảnh hưởng nghiêm trọng đến chất lượng sống mà còn đe dọa trực tiếp đến tính mạng. Bệnh lý này hiện nay đã có thể điều trị hiệu quả bằng phương pháp đặt điện cực kích thích não sâu.
TP - Ngày 8/9, lần đầu tiên tại Việt Nam áp dụng thành công kĩ thuật tiên tiến thế giới để phẫu thuật cho 2 bệnh nhân bị bệnh thần kinh rất phức tạp. Từ đây mở ra cơ hội có cuộc sống bình thường với trẻ bị bệnh thần kinh nặng.
TPO - Trước khi ở tù vì dùng tiền qua mặt cơ quan chức năng, Nafla 7 lần trốn nghĩa vụ quân sự. Nam ca sĩ Ravi nhận hai năm tù treo với thủ đoạn tương tự.
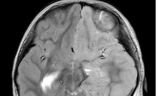
TPO - Cho rằng con học nhiều nên bị đau đầu gia đình không đưa đến bệnh viện thăm khám, hơn 1 tháng sau bé gái 12 tuổi rơi vào tình trạng yếu nửa người bên trái. Tại bệnh viện, bác sĩ xác định trẻ bị đột quỵ do vỡ dị dạng mạch máu não.
TPO - Ngày 6/7, BS Đỗ Châu Việt, Trưởng khoa Hồi sức Tích cực Nhiễm, Bệnh viện Nhi Đồng 2 TPHCM cho biết, tại đây vừa liên tiếp phát hiện 2 trường hợp bị viêm não cấp hiếm gặp. Trẻ nhập viện trong tình trạng co giật toàn thân, liệt nửa người, nguy hiểm tính mạng nhưng đã may mắn được cứu sống.
TPO - Cặp vợ chồng Trung Quốc khai khi đang điều trị tại bệnh viện, nữ BJ Ah Yeong lên cơn động kinh và qua đời. Hai nghi phạm bị buộc tội “Giết người và tra tấn”.
Nhờ được cứu chữa kịp thời, người bệnh đã tỉnh lại và dần hồi phục. Hành động đẹp của chàng trai họ Feng thu hút sự quan tâm của dân mạng kèm theo nhiều bình luận tán thưởng.
TPO - “Thấy chị ấy động kinh, co giật bên vỉa hè, tôi chạy xuống sơ cứu cho tới khi xe cấp cứu đến. Lúc này, laptop vẫn để trên xe máy...”, anh Dũng kể lại.
TPO - Nguyễn Xuân Bách (sinh năm 2004) sinh ra và lớn lên ở Thạch Thất – thành phố Hà Nội. Là con út trong gia đình có ba anh em, trong suốt 12 năm học, thành tích duy nhất mà Xuân Bách đạt được là danh hiệu thủ khoa đầu vào Trường Đại học Xây dựng Hà Nội với tổng điểm xét tuyển là 27,35. Bản thân Bách mắc một chứng bệnh động kinh từ năm lên lớp 4. Một chàng trai đầy nghị lực, vượt qua mọi khó khăn cố gắng trong học tập và mong muốn trở thành một kỹ sư giỏi.
TPO - Theo Đông y, rau ngải cứu là loại cây thuốc chữa bệnh, nó có thể giúp xoa dịu những cơn đau cơ, giúp tuần hoàn máu, giảm đau bụng, an thai tốt… Nhưng loại rau này cũng có chứa những tác dụng phụ đáng sợ khi ăn.
TPO - Ngày 30/7, gia đình bà Lã Thị Lý (75 tuổi, ngụ phường Tân Đông Hiệp, TP Dĩ An, tỉnh Bình Dương) vui mừng khi bất ngờ tìm được con trai sau hơn nửa năm mất tích. Trước đó, sau thời gian dài tìm kiếm không được, gia đình nghĩ ông Long đã chết nên lập bàn thờ để thờ cúng.
TPO - Tài xế xe Hyundai Santafe gây tai nạn liên hoàn trên đường Ngô Thì Nhậm (Hà Nội), cho biết anh ta bị động kinh nặng và mỗi lần lên cơn là gần như trí nhớ không còn.
TPO - Không đáp ứng với thuốc điều trị, trung bình mỗi ngày cậu bé bị co giật khoảng 7 lần. Bằng phương pháp phẫu thuật cắt bỏ kết nối giữa các vùng bán cầu não bác sĩ đã giúp bệnh nhi thoát khỏi tình trạng động kinh.
TPO - Điều gì sẽ xảy ra với người bị “tách đôi não”? Khi hai bán cầu não không còn đồng bộ nữa, bạn sẽ vẫn là bạn hay sẽ biến thành hai con người với hành động khác nhau?
TPO - Theo ước tính, tại Việt Nam có khoảng 500.000 người mắc bệnh động kinh. Nhiều người nghĩ chưa đúng hay quan điểm sai lầm về bệnh động kinh như đây là bệnh tâm thần hay bệnh di truyền. Vì vậy, ảnh hưởng rất nhiều tới người bệnh, khiến họ tự ti không đi điều trị hay người nhà của bệnh nhân giấu bệnh vì sợ xấu hổ, dị nghị.