TPO - Sởi là bệnh lây lan nhanh nhất trong số các bệnh truyền nhiễm, tất cả mọi người đều có nguy cơ mắc. Bệnh có thể gây biến chứng nguy hiểm như viêm phổi, viêm não, viêm tai giữa, viêm loét giác mạc hoặc tiêu chảy, thậm chí tử vong.
TPO - Não bộ là cơ quan quan trọng nhất của cơ thể. Xây dựng cho trẻ một thói quen ăn uống lành mạnh sẽ giúp trẻ có một não bộ khỏe mạnh. Hãy tránh xa các thực phẩm có hại sau đây để giúp trẻ tránh được nguy cơ suy giảm nhận thức, lão hóa và ngăn ngừa bệnh mất trí nhớ.
TPO - Tại sao chúng ta nhớ được một số thứ còn những thứ khác thì không? Và tại sao ký ức cuối cùng lại phai nhạt? Vậy trước tiên, hãy cùng xem ký ức hình thành như thế nào.
Từ ngày 23/2, 165 Trung tâm tiêm chủng VNVC trên toàn quốc triển khai tiêm rộng rãi vaccine viêm màng não mô cầu nhóm B cho trẻ em từ 2 tháng tuổi và người lớn, tương đối hoàn thiện danh mục các vaccine phòng virus, vi khuẩn gây các bệnh nguy hiểm về não.
TPO - Nấm đen hay còn gọi là Mucormycosis là một bệnh nhiễm trùng hiếm gặp nhưng nguy hiểm do nhóm nấm mốc có tên Mucormycetes gây ra, thường ảnh hưởng đến xoang, mắt, phổi, da và não, nhất là trên những người có hệ miễn dịch suy yếu.
TP - Ra đời từ năm 2017 tại Trung Quốc, TikTok đã phát triển như vũ bão nhờ những thuật toán chính xác đánh vào tâm lý hiếu kỳ của người dùng. TikTok đem lại danh tiếng cho không ít nghệ sĩ cũng như những người chuyên sáng tạo nội dung. Còn người làm nhạc vẫn tỏ ra cảnh giác với ứng dụng này…
TP - Năm 2022 được coi là năm tăng tốc của một chu kỳ bão từ mới với số lượng và cường độ lớn dần. Bão từ không chỉ ảnh hưởng đến hệ thống vệ tinh, điện thoại, đường truyền tải điện mà còn tác động đến sức khỏe con người, đặc biệt là người mắc bệnh tim mạch, xương khớp.
TPO - Theo truyền thông Argentina, 7 nhân viên y tế liên quan tới cái chết của huyền thoại Diego Maradona đã được tòa án triệu tập chờ xét xử. Trước mắt họ là bản án 25 năm tù giam.
TPO - Bệnh nhân là người dân tộc Thái, làm lao động tự do ở Hà Nội. Khi đang làm việc tại công trường, Đ. ngã từ tầng 5 xuống tầng 4, rơi vào cột sắt trụ đổ bê tông, bị thép xuyên vào vùng cổ, qua xương sọ vào trong não của bệnh nhân. Lúc gặp tai nạn bệnh nhân không đội mũ bảo hộ lao động.
TPO - Hàng nghìn trẻ em tại cả 2 thành phố là Hà Nội và TP.HCM mắc bệnh tay chân miệng. Đáng chú ý, số trẻ mắc bệnh này đang có xu hướng tăng nhanh, và nhiều trường hợp biến chứng nặng lên não.
TPO - Bé trai 11 tháng tuổi ở xã Đồng Lương, huyện Cẩm Khê, tỉnh Phú Thọ vừa được các bác sĩ Bệnh viện đa khoa tỉnh Phú Thọ và Bệnh viện Sản Nhi tỉnh Phú Thọ phối hợp cấp cứu và điều trị thành công sau tai nạn bị kéo đâm vào đầu gây xuất huyết não.
TPO - Não là cơ quan điều phối mọi hoạt động của cơ thể. Nếu não bị tổn thương, sức khỏe sẽ bị ảnh hưởng rất nhiều, thậm chí có thể tử vong. Có những thói quen làm hàng ngày có thể vô tình "tiêu diệt" các tế bào não khiến chúng ta có nguy cơ bị rối loạn tâm thần, mất trí nhớ, tổn thương não.
TPO - Không chỉ gây tổn thương hệ hô hấp, virus SARS-CoV-2 còn được cho là có thể gây viêm cho phần não điều khiển việc hô hấp, theo các nhà nghiên cứu Mỹ.
TPO - Phụ thuộc vào mức độ nặng của đột quỵ, nguyên nhân và tuổi bị bệnh, người bệnh có thể gặp các biến chứng khác nhau với các mức độ nặng nhẹ khác nhau.
TPO - Có nhiều nguyên nhân gây đột quỵ não nhưng thường gặp ở những người bị đái tháo đường, tăng huyết áp, rối loạn mỡ máu, người béo phì, ít vận động, hút nhiều thuốc lá, lạm dụng rượu, chất gây nghiện như heroin, amphetamin…
TPO - Người bệnh Hoàng Văn D (nam giới, 50 tuổi, Lào Cai), người bệnh được chuyển tuyến từ bệnh viện tỉnh Lào Cai xuống Bệnh viện đa khoa tỉnh Phú Thọ ngày 04/10/2019 trong tình trạng giảm trí nhớ, giảm tri giác.
TPO - Có những thói quen làm hàng ngày có thể vô tình "tiêu diệt" các tế bào não khiến chúng ta có nguy cơ bị rối loạn tâm thần, trầm cảm, lo lắng hoặc mắc các bệnh như Alzheimer, đột quỵ, động kinh và thậm chí ung thư.
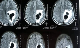
TPO - Kết quả chụp CT não của người đàn ông 38 tuổi tại Nghệ An cho thấy có 5 ổ sán nằm rải rác trong não, trong đó có một ổ sán lớn trên đỉnh của bệnh nhân gây phù não.