TPO - Hiện tại, mặt cỏ sân Mỹ Đình đã xanh mướt mắt hơn khá nhiều so với thời điểm tổ chức những trận đấu của tuyển Việt Nam ở AFF Cup 2022. Mặt cỏ sân Mỹ Đình đã không còn héo úa, "chỗ xanh chỗ vàng" như trước.
TPO - Kết quả điều tra dịch tễ khu vực phía Nam ghi nhận tình trạng vật nuôi đang trở thành nguyên nhân chính gây nhiễm giun sán, ký sinh trùng cho con người. Nhiễm ký sinh trùng qua thực phẩm đang khiến nhiều người mang bệnh vì thói quen ăn đồ sống.
TPO - Theo Netease News đưa tin, mới đây, một thanh niên ở quận Dư Hàng, thành phố Hàng Châu, Trung Quốc đã vô tình bắt gặp một sinh vật có vẻ ngoài kỳ dị, hệt như những sinh vật ngoài hành tinh thường thấy trong các bộ phim khoa học viễn tưởng.
TPO - Sau khi làm xét nghiệm mẫu giun được lấy từ cơ thể bệnh nhân, các bác sĩ phát hiện loại giun này chưa từng xuất hiện ở Việt Nam mà thường gặp ở Châu Phi và một số nước khác.
TPO - Các bác sĩ khoa Nội tiêu hóa – Bệnh viện E vừa nội soi ruột non bóng đôi gắp giun mỏ lúc nhúc trong ruột non gây chảy máu ồ ạt cho một bệnh nhân nam (36 tuổi, người dân tộc Dao, ở huyện Bảo Yên, tỉnh Lào Cai).
Ốc là món ăn được khá nhiều người ưa chuộng, nhưng bên trong món ăn khoái khẩu này lại tiềm ẩn rất nhiều nguy cơ gây hại nếu bạn không lưu ý loại bỏ chúng.
Từ 24 tháng tuổi trở lên, cha mẹ cần tiến hành tẩy giun cho con. Để xác định trẻ nhiễm giun hay không, nhiễm loại giun nào, các bác sĩ cần khám, xét nghiệm phân.
Theo y học cổ truyền, thốt nốt có vị ngọt, tính bình. Có tác dụng lợi tiểu, tiêu viêm, kiện tỳ, giải nhiệt, dịch nhựa thốt nốt lên men có tác dụng bổ dưỡng.
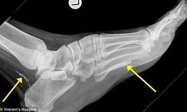
Con giun dài 1 mét lẩn phía sau mắt cá chân và lòng bàn chân một người đàn ông và đã sống trong đó 4 năm, chỉ được phát hiện ra bởi bản chụp X quang sau khi nó đã chết.
Bò, dê tái chanh, gỏi cá, nem chua… là những món ăn được người Việt, đặc biệt là dân nhậu ưa chuộng nhưng lại có nguy cơ gây bệnh rất cao, thậm chí dẫn đến tử vong.
Một số vùng biển tuyệt đẹp của thế giới, với làn nước trong vắt như pha lê cũng là nơi dung chứa không ít sinh vật biển kỳ dị, độc nhất vô nhị và dễ khiến con người liên tưởng đến những con quái vật trong các bộ phim kinh dị.