TPO - Bệnh nhân 71 tuổi, người Campuchia đã suýt phải đoạn toàn bộ bàn chân trái vì hoại tử lan rộng do tắc động mạch chi dưới. Tuy nhiên, ông đã thoát khỏi tình trạng trên và giữ được chân nhờ nỗ lực của các bác sĩ Việt Nam.
TPO - Tưởng như đã vượt qua cơn nguy hiểm sau lần đột quỵ đầu tiên, người phụ nữ 57 tuổi không ngờ lại đối mặt tiếp cơn đột quỵ thứ hai trong vòng chưa đầy 24 giờ.
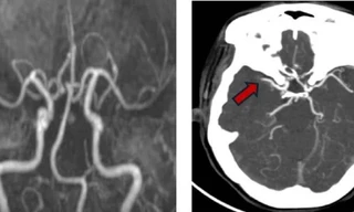
TPO - Bệnh nhân người Nga bị đột quỵ nặng trong thời gian công tác tại Việt Nam đã được các bác sĩ Bệnh viện Nhân Dân 115 TPHCM can thiệp kịp thời, phục hồi gần như hoàn toàn và sắp được xuất viện trở về nước.
TPO - Đột ngột choáng váng rơi vào hôn mê khi đang bế cháu, tại bệnh viện ông B. được các bác sĩ xác định bị đột quỵ. Người bệnh đã may mắn nhập viện trong “thời gian vàng” sau khi được bác sĩ can thiệp sức khỏe đang bình phục tốt.
TPO - Nhập viện trong tình trạng vùng ngực bên trái có vết thương hở, ông H.T.T. (36 tuổi, ngụ tại Vĩnh Long) rơi vào tình trạng sốc mất máu cấp đe dọa tính mạng. Các bác sĩ đã nhanh chóng thực hiện cuộc phẫu thuật cấp cứu bệnh nhân, xử lý vết thương đang xuất huyết ồ ạt.
TPO - Ngày 18/3, BS Nguyễn Minh Tiến, Phó giám đốc Bệnh viện Nhi Đồng Thành Phố (TPHCM) cho biết, tại đây vừa tiếp nhận và can thiệp cho một trường hợp bị vỡ lách, mất máu cấp.
TPO - Nhập viện trong tình trạng đau bụng dữ dội, đi cầu ra máu, nam bệnh nhân được bác sĩ phát hiện nguy cơ hoại tử ruột, đe dọa tính mạng. Nguyên nhân của tình trạng trên là do người bệnh bị bóc tách động mạch treo tràng trên hiếm gặp.
TPO - Đang nằm ngủ, người đàn ông đột ngột ho ra máu lượng lớn, ngay lập tức được gia đình chuyển đến bệnh viện cấp cứu. Các bác sĩ xác định người bệnh bị tổn thương phổi mức độ nặng. Sau khi nhập viện, bệnh nhân tiếp tục ho ra máu, nguy kịch.
TPO - Ngày 15/11, BS Diệp Trọng Khải, Trưởng khoa Đột quỵ Bệnh viện Đa khoa Xuyên Á TPHCM cho biết, tại đây vừa tiếp nhận và can thiệp cho một trường hợp là nam tài xế lái xe đường dài bị đột quỵ.
TPO - Nhập viện trong tình trạng vùng mặt, thái dương bên phải có vết thương dài 15cm máu phun thành vòi, thanh niên nhanh chóng rơi vào nguy kịch vì sốc mất máu cấp. Các bác sĩ đã thực hiện cuộc phẫu thuật khẩn nguy nối lại động mạch bị đứt, giúp bệnh nhân giữ được tính mạng.
TPO - Biến chứng rung nhĩ khiến nữ bệnh nhân rơi vào tình trạng đột quỵ liên tiếp 2 lần trong vòng 48 giờ. Người bệnh đã may mắn được các bác sĩ can thiệp kịp thời giúp qua cơn nguy kịch.
TPO - Ngày 8/4, TS.BS Trần Chí Cường, Giám đốc Bệnh viện Đa khoa S.I.S Cần Thơ cho biết, tại đây vừa hội chẩn cùng các bác sĩ Campuchia và kịp thời tiếp nhận, cứu sống một bệnh nhân của nước bạn bị đột quỵ rất nặng, đã quá thời gian vàng nhiều ngày.
TPO - Bệnh viện Đại học Y Dược TPHCM vừa liên tiếp thực hiện thành công kỹ thuật thay van động mạch phổi qua da cho 5 bệnh nhân bị biến chứng sau phẫu thuật tứ chứng fallot. Tuy nhiên, phương pháp này có chi phí rất cao và chưa được bảo hiểm y tế thanh toán nên đang là rào cản với người bệnh.
TPO - Nam bệnh nhân 68 tuổi nhập viện trong tình trạng đau đớn dữ dội kèm theo vết lở loét ở các đầu ngón chân. Bác sĩ xác định bệnh nhân bị tắc động mạch chi, nguy cơ hoại tử nặng phải đoạn chi. Người bệnh đã may mắn được can thiệp đặt stent thành công.
TPO - Nhập viện trong tình trạng chân phải thường bị tê lạnh, đau nhức, các ngón tím tái, bệnh nhân được bác sĩ chẩn đoán bị tắc hẹp động mạch chi. Đây là bệnh lý nguy hiểm có thể khiến người bệnh đối mặt với nguy cơ phải đoạn chi hoặc biến chứng đe dọa tính mạng.
TPO - Trong lúc chơi với em trai, cậu bé 11 tuổi không may bị cây kéo đâm vào chân trái. Vết thương tưởng như không nghiêm trọng đã khiến bệnh nhi suýt bị cụt chân.
TPO - Từ những cơn đau nhẹ đến cơn đau đột ngột ở chân tay có thể diễn tiến sang hoại tử khiến bệnh nhân đối mặt với nguy cơ tàn phế. Nguy hiểm hơn, người bệnh có khả năng dễ bị nhồi máu cơ tim hoặc đột quỵ nếu tình trạng tắc hẹp động mạch chi không được can thiệp kịp thời.
TPO - Nhập viện trong tình trạng yếu liệt nửa người, lơ mơ, tiếp xúc chậm bé gái được bác sĩ chẩn đoán bị đột quỵ thiếu máu não cấp. Đây là trường hợp rất hiếm gặp, bệnh nhi đã may mắn được các bác sĩ can thiệp kịp thời.
TPO - Cuộc thi Đường lên đỉnh Olympia tuần 1, tháng 3, quý 4 là “một trong những cuộc thi có điểm số cao hiếm gặp” khi 10X chuyên Tiền Giang Võ Thành Trung đạt 400 điểm - thành tích cao thứ 3 Olympia năm 19. Cách cậu giành chiến thắng đầy thuyết phục, nhất là phần thi Về đích.
TPO - Do mâu thuẫn khi va chạm giao thông, nam thanh niên (35 tuổi, Hà Nội) bị dao đâm xuyên từ phải sang trái, từ dưới lên trên vùng cuống họng. đứt rời tĩnh mạch cảnh trong trái, đứt gần rời động mạch cảnh chung trái, đứt đôi xương móng, đa vết thương phần mềm…