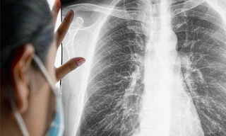
TPO - Nhập viện trong tình trạng cơ thể suy kiệt, khó thở nữ bệnh nhân được bác sĩ chẩn đoán nhiễm ký sinh trùng. Kết quả kiểm tra hình ảnh ghi nhận ấu trùng giun lươn đã đào hầm, làm tổ trong phổi bệnh nhân.
Diễn viên Thu Quỳnh nổi tiếng với diễn xuất biến hóa đa dạng, nhiều màu sắc và để lại ấn tượng khó phai trong lòng khán giả. Những tưởng không có vai diễn nào có thể làm khó được cô nàng nhưng trong “vai diễn chính” của cuộc đời mình, đã có những lần cô “chịu thua” trước chứng táo bón, biếng ăn của con.
TP - Qua một nghiên cứu bỏ túi của nhóm sinh viên xã hội học, trên 80% bà mẹ mắc phải stress vì tật biếng ăn ở trẻ. Mặc dù đã cho bé dùng rất nhiều sản phẩm như siro ăn ngon, cốm vi sinh, viên đa sinh tố nhưng bé vẫn biếng ăn. Trong mê cung của hàng chục loại sản phẩm trị biếng ăn, suy dinh dưỡng trên thị trường, để chọn cho con mình sản phẩm phù hợp là khó khăn, thách thức lớn trước sự hiểu biết và túi tiền của người mẹ.
Từ lâu, cá diếc đã là một loại cá quen thuộc đối với người dân đồng bằng Bắc Bộ. Tuy xuất hiện khá nhiều trong bữa ăn của người dân nơi đây, nhưng nhiều người vẫn chưa biết hết công dụng cực hay của cá diếc thông qua những món ăn - bài thuốc dưới đây.
TP - Trên diễn đàn Web trẻ thơ, Mẹ yêu con...các mẹ, thậm chí cả các nhà chuyên môn đã rất băn khoăn khi phải cho trẻ uống THUỐC THẦN KINH, THUỐC KHÁNG HISTAMIN khi mất ngủ vì có nhiều tác dụng phụ (Buồn nôn, chóng mặt, lú lẫn, ảo giác…).
TP - Kém ngủ, mất ngủ, quấy khóc đêm đang trở nên thường gặp với trẻ nhỏ. Trẻ mất ngủ, quấy khóc, đái dầm, ra mồ hôi trộm vì quấy khóc... sinh ra mệt mỏi, biếng ăn, suy nhược cơ thể.
Rau cải cúc, hay còn gọi là tần ô, có tính ôn, vị ngọt, chát. Theo Đông y, cải cúc bình can bổ thận, trị chứng đi tiểu nhiều lần, giúp lưu thông khí huyết, mất ngủ, nằm mơ nhiều, tâm phiền bất an, ho nhiều đờm, tiêu chảy, sưng dạ dày…
Ngoài chữa táo bón, đầy hơi khó tiêu... bằng khoai lang, thì hiện nay, nhiều bậc cha mẹ đang nháo nhào dùng phương pháp trị trẻ biếng ăn bằng công thức chứa bột khoai lang. Vậy thực hư của phương pháp này là gì?
TP - Trẻ biếng ăn thường kém hấp thu, hậu quả là suy dinh dưỡng ở thể thấp còi. Để thỏa mãn nhu cầu phát triển toàn diện, bé phải dùng 3 loại sản phẩm: siro hết biếng ăn, men vi sinh tăng hấp thu, viên bổ dưỡng tổng hợp.
TP - Yến sào KID’sNEST với sức mạnh 3 trong 1: Lysine hàm lượng cao (Nhanh hết biếng ăn); Men bia tươi (Mạnh tăng hấp thu) và Yến sào Ngân nhĩ (Bồi bổ thể trạng). Thực nghiệm 200 trẻ cho thấy 85% trẻ hết biếng ăn chỉ sau 5-7 ngày sử dụng và tăng cân sau 6-8 tuần.
TP - Từ xa xưa yến sào (tổ yến) đã được xếp vào hàng thượng phẩm, chỉ dành cho tầng lớp vua chúa, quý tộc. Với hơn 50% protein không béo, 18 loại axit amin và 31 nguyên tố vi lượng, bồi bổ tốt cho sức khỏe.
TP - Ai cũng biết Yến sào đặc biệt tốt cho trẻ biếng ăn, suy dinh dưỡng, ngủ không ngon giấc hoặc mắc bệnh về phổi, phế quản. Dùng tổ yến thường xuyên sẽ giúp kích thích hệ tiêu hóa, giúp cơ thể trẻ phát triển mạnh khỏe, tăng khả năng miễn dịch, đề kháng.