Từ khóa: "u màng não"

4 kết quả

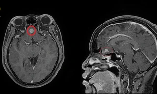
Cảnh giác phát hiện u màng não từ biểu hiện đau đầu thường xuyên
Đời sống

Cảnh giác phát hiện u màng não từ biểu hiện đau đầu thường xuyên

Đau đầu là triệu chứng phổ biến, thường gặp có thể do nhiều yếu tố gây nên như thiếu ngủ, căng thẳng thần kinh, tiếp xúc tiếng ồn, thay đổi thời tiết... Tuy nhiên, nếu có biểu hiện đau đầu thường xuyên thì hãy đi khám ngay bác sĩ, bởi đó có thể là biểu hiện của tổn thương, bệnh lý nguy hiểm trong não.