TPO - Không đau, không sốt, không mệt – nhiều người tưởng mình đã khỏi bệnh tăng huyết áp và tự ý ngừng dùng thuốc. Bác sĩ cảnh báo hành động bỏ điều trị tăng huyết áp của người bệnh chính là sai lầm chết người.
TPO - Trước những thông tin lan truyền trên mạng xã hội về tình trạng người trẻ suy thận do uống trà sữa, nước ngọt, thức khuya, Bác sĩ Chuyên khoa I Đào Thị Thùy Nguyên, hiện đang công tác tại Khoa Thận Lọc máu, Bệnh viện Đa khoa Nông nghiệp đã có những chia sẻ thẳng thắn để làm rõ những lầm tưởng, đồng thời chỉ ra các nguyên nhân thực sự và cách phòng ngừa hiệu quả căn bệnh nguy hiểm này.
TPO - Tăng huyết áp được mệnh danh là kẻ giết người thầm lặng. “Tỉ lệ tăng huyết áp (THA) hiện nay chiếm đến 25% ở người trưởng thành Việt Nam (cứ 10 người thì có 3 người bị THA) và đang có xu hướng tăng cao đến mức báo động đỏ”.
TPO - Tại Việt Nam có khoảng 12 triệu người mắc tăng huyết áp, cứ 5 người trưởng thành có 1 người tăng huyết áp. Tuy nhiên vẫn còn tỉ lệ tương đối cao bệnh nhân chưa được phát hiện bệnh hoặc đã phát hiện nhưng chưa kiểm soát được bệnh.
TPO - Một trường hợp bệnh nhân trẻ tuổi bị tăng huyết áp kéo dài do khối u tuyến thượng thận đã được Bệnh viện Nội tiết Trung ương phát hiện và điều trị kịp thời, tránh nguy cơ biến chứng tim mạch nghiêm trọng.
TPO - Chạy bộ mang lại nhiều lợi ích sức khỏe. Nhưng đây là loại hình tập luyện cần cân nhắc với một số nhóm người chống chỉ định với việc tập luyện cường độ cao.
TPO - Ngày 1/2, thông tin từ Bệnh viện Đa khoa Xuyên Á cho biết, tại đây vừa tiếp nhận một trường hợp nguy cơ đột tử. Các bác sĩ đã can thiệp khẩn, giúp bệnh nhân qua cơn nguy kịch.
TPO - Ngày Tết cộng đồng thường có nhiều thay đổi về thói quen ăn uống cũng như sinh hoạt có thể gia tăng nguy cơ về đột quỵ, đặc biệt là những người có bệnh lý nền. Bác sĩ cảnh báo khi có dấu hiệu bất thường hãy nhập viện ngay đừng kiêng cữ.
TPO - Bệnh tăng huyết áp không được kiểm soát có thể gây nhiều hậu quả trầm trọng tới cơ thể, khiến chất lượng sống đi xuống. Tuy nhiên, huyết áp có thể được kiểm soát nhờ những thay đổi tích cực trong lối sống của chính bạn.
TPO - Tăng huyết áp, hay còn gọi là cao huyết áp, là một tình trạng mà áp lực máu trong động mạch cao hơn mức bình thường. Ở trẻ em, bệnh này ít được nhận biết hơn so với người lớn nhưng không kém phần nguy hiểm. Vậy bố mẹ làm thế nào để phát hiện con mình có dấu hiệu của một bệnh nhân cao huyết áp?
TP - Gần đây Trung tâm Đột quỵ (Bệnh viện Bạch Mai) tiếp nhận nhiều ca đột quỵ có tuổi đời còn rất trẻ (dưới 45 tuổi), chiếm 15% tổng số bệnh nhân của toàn Trung tâm. Xu hướng trẻ hóa đột quỵ tại Việt Nam đang trở thành vấn đề đáng lo ngại.
TPO - Theo thống kê của Hiệp hội Ung thư Mỹ, béo phì là nguyên nhân thứ hai gây ung thư sau hút thuốc lá và được các chuyên gia dự đoán sẽ trở thành nguyên nhân hàng đầu trong thập kỷ tới.
TPO - Trong việc sử dụng thuốc an toàn, hiệu quả các dược sĩ luôn nhấn mạnh đến khả năng tương tác giữa các loại thuốc, vitamin và khoáng chất… trong quá trình điều trị bệnh. Chả hạn như, nếu dùng không đúng người đúng bệnh, các vitamin và khoáng chất có thể khiến một số bệnh nặng hơn.
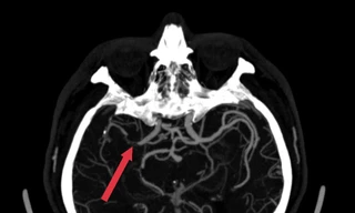
TPO - Ngày 16/10, BS.Ngô Minh Tuấn, Trưởng khoa Chẩn đoán Hình ảnh, Bệnh viện Đa khoa S.I.S Cần Thơ cho biết, tại đây vừa phát hiện một trường hợp bị bóc tách phình động mạch treo tràng trên rất hiếm gặp, thế giới mới chỉ ghi nhận 56 ca.
TPO - Một nhóm các nhà nghiên cứu y khoa liên kết với nhiều tổ chức trên khắp nước Mỹ đã nghiên cứu dữ liệu giấc ngủ của những người thường xuyên ngủ không ngon giấc và nhận thấy rằng, giấc ngủ kém thường xuyên có thể dẫn đến rối loạn tim mạch, tâm thần và tăng huyết áp.
TPO - Các nhà khoa học phát hiện ra hai chất hóa học do não tạo ra, bao gồm oxytocin hay còn gọi là "hormone tình yêu", có thể đóng vai trò làm tăng huyết áp sau nhiều lần thiếu oxy.
TPO - Nhập viện trong tình trạng nguy kịch với chẩn đoán bị đột quỵ não, người đàn ông mang quốc tịch Hàn Quốc đối mặt với nguy cơ tử vong. Các bác sĩ đã khẩn cấp thực hiện phương án can thiệp, giúp bệnh nhân vượt qua nguy kịch.