TPO - Phát biểu tại toạ đàm “Bước tiến trong phát hiện, chuẩn đoán và điều trị bệnh” thuộc Tuần lễ Vinfuture diễn ra ngày 3/12, đại diện Bộ Y tế và các chuyên gia cảnh báo về tình trạng kháng kháng sinh gần đến mức báo động, đe dọa sức khoẻ người dân toàn cầu.
TP - PGS.TS Nguyễn Thị Thu Hoài là tác giả, đồng tác giả của 5 chương sách và 90 bài báo, trong đó có 37 bài báo ISI/Scopus trong lĩnh vực nghiên cứu hệ protein (proteomics) và kháng thuốc. Riêng TS. Hà Thị Thanh Hương có khoảng 30 công trình nghiên cứu về sức khỏe tâm thần, đặc biệt là phần mềm Brain Analytics chẩn đoán bệnh Alzheimer.
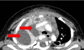
TPO - Bé trai 7 tháng tuổi nhập viện trong tình trạng nguy kịch. Qua xét nghiệm, các bác sĩ xác định, bệnh nhi bị nhiễm khuẩn tụ cầu vàng - loại vi khuẩn được mệnh danh là 'vô địch kháng kháng sinh'.
TPO - Các nhà khoa học đã phát minh ra một loại kháng sinh mới có thể thay đổi hình dạng và tiêu diệt vi khuẩn kháng thuốc trong các thí nghiệm trên động vật, nhưng nó vẫn chưa được thử nghiệm trên người.
TPO - Tại Việt Nam, 90% kháng sinh bán tại nhà thuốc không có đơn thuốc; 50% thuốc sử dụng cho người là kháng sinh bán ở nhà thuốc; 1/3 bệnh nhân dùng kháng sinh thiếu chỉ định…
TPO - Các chuyên gia cho biết lần đầu tiên tại Việt Nam, một loại vi khuẩn kháng thuốc colistin - loại thuốc dùng để trị bệnh nhiễm khuẩn nặng đã được phát hiện trên thịt tại các chợ truyền thống ở TPHCM.
Kể từ khi những loại thuốc kháng sinh đầu tiên xuất hiện vào thập niên 1940, đã được chào đón như là “thần dược” - “phép lạ” của y học hiện đại, chữa khỏi những căn bệnh truyền nhiễm làm chết hàng triệu người mỗi năm, con người không bị tử vong bởi những nguyên nhân thông thường như viêm họng do liên cầu khuẩn, nhiễm trùng,...; khả năng gây tổn thương của những căn bệnh chủ yếu như giang mai, lậu, phong, lao đã giảm rất nhiều.