Từ khóa: "Điều trị thoát vị đĩa đệm"

4 kết quả

Nam tài xế suýt liệt vì căn bệnh đang ngày càng trẻ hóa
Sức khỏe

Nam tài xế suýt liệt vì căn bệnh đang ngày càng trẻ hóa

TPO - Nhiều năm đối mặt với những cơn đau lưng âm ỉ, nam tài xế cho rằng là do ngồi nhiều, anh tự mua thuốc giảm đau, dán cao. Gần đây, cơn đau lan xuống chân trái, khiến anh không thể ngồi lái xe quá 30 phút. Tại bệnh viện các bác sĩ đã phải thực hiện cuộc phẫu thuật để tránh nguy cơ liệt cho người bệnh.

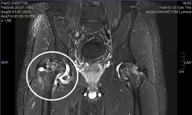
Bác sĩ ngoại quốc chẩn đoán sai, Việt kiều về nước được điều trị khỏi bệnh
Sức khỏe

Bác sĩ ngoại quốc chẩn đoán sai, Việt kiều về nước được điều trị khỏi bệnh

TPO - Điều trị ở Mỹ và Hàn Quốc với chẩn đoán thoát vị đĩa đệm, nam bệnh nhân người Mỹ gốc Việt vẫn không cải thiện được tình trạng đau nhức và đi lại khó khăn. Trở về Việt Nam, anh được các bác sĩ trong nước phát hiện nguyên nhân thật sự là hoại tử chỏm xương đùi và điều trị khỏi bệnh.

Điều trị thoát vị đĩa đệm: Top 6 địa chỉ uy tín tại Hà Nội
Sức khỏe

Điều trị thoát vị đĩa đệm: Top 6 địa chỉ uy tín tại Hà Nội

Cột sống lưng và thắt lưng được xem là trụ cột quan trọng của cơ thể con người, liên kết với nhiều dây thần kinh quan trọng, giúp cơ thể hoạt động ổn định và vận động nhịp nhàng. Tuy nhiên, đây là bộ phận rất dễ bị chấn thương do các tác động trong quá trình làm việc và sinh hoạt hàng ngày. Trong đó, thoát vị đĩa đệm cột sống lưng là triệu chứng thường gặp nhất.