TPO - Từng có một thời gian rất dài, người dân huyện đảo Lý Sơn (tỉnh Quảng Ngãi) phải ‘cắn răng” bỏ ra hàng chục triệu đồng để thuê tàu, đưa người thân vào đất liền cấp cứu. Mỗi hành trình xuyên sóng là một canh bạc với sinh mạng. Nhưng giờ đây, những chuyến tàu đau đáu ấy đang dần lùi vào dĩ vãng.
TPO - Nghĩ rằng chỉ bị cảm sốt thông thường, cụ ông N.V.G. (82 tuổi, ngụ tại Long An) không ngờ bản thân đang đối mặt với một trong những thể lao ngoài phổi nguy hiểm nhất – lao màng ngoài tim, có thể gây tràn dịch màng tim, suy tim, đe dọa tính mạng nếu không được can thiệp kịp thời.
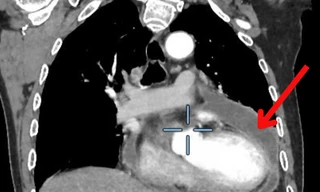
TPO - Sử dụng hệ thống trí tuệ nhân tạo, hệ thống máy chụp cắt lớp vi tính được trang bị tại Bệnh viện Thống Nhất TPHCM cho phép quét toàn thân chỉ trong 4 giây. Đây là một trong 3 thiết bị chẩn đoán hình ảnh hiện đại vừa được đưa vào sử dụng tại bệnh viện.
TPO - Ngày 26/11, BS Nguyễn Quang Hưng, Đơn vị Ngoại Thần kinh, Khoa Ngoại tổng hợp Bệnh viện Đa khoa S.I.S Cần Thơ cho biết, tại đây vừa can thiệp loại bỏ khối u não kích thước lớn cho bệnh nhân. Đây là trường hợp rất hy hữu, người bệnh tình cờ phát hiện khối u khi kiểm tra chấn thương vùng đầu sau tai nạn giao thông.
TPO - Lương Bích Hữu nói cô phát hiện khối u trong não sau khi gặp tai nạn trên phim trường, may mắn chỉ là u lành tính, không quá ảnh hưởng đến sinh hoạt.
TPO - Chương trình "Vì lá phổi khỏe" khám, sàng lọc bệnh ung thư phổi và các bệnh lý về phổi diễn ra tại 4 tỉnh thành phố: Hà Nội, Thừa Thiên - Huế, Cần Thơ và Đà Nẵng, với mục tiêu hơn 50 nghìn người dân được khám sàng lọc.
TPO - Nhiều người cho rằng đau tim và đột quỵ là là hai tình trạng bệnh lý giống nhau. Đau tim và đột quỵ đều phát triển từ tình trạng tắc nghẽn mạch máu nhưng sự khác biệt là ảnh hưởng đến các chức năng quan trọng khác nhau của cơ thể. Các triệu chứng đau tim và đột quỵ cũng khác nhau.
TP - Ngày 27/11, Bệnh viện Đa khoa Saint Paul (Hà Nội) đã khai trương Trung tâm kỹ thuật cao và phẫu thuật tiêu hóa Hà Nội. Trung tâm được đầu tư hơn 400 tỷ đồng, sẽ là nơi tầm soát phát hiện sớm bệnh, chẩn đoán chính xác, điều trị hiệu quả bệnh lý tiêu hóa.
TPO - Ngày 27/7, Sở Y tế TPHCM đã có kết luận thanh tra Bệnh viện Tai Mũi Họng TPHCM. Theo đó, ngoài chi trả tiền công cho nhân viên bằng tiền mặt từ hoạt động dịch vụ chưa đúng theo quy định của Bộ Tài chính, bệnh viện còn chi tiền công cho bộ phận trực tiếp và gián tiếp nhà thuốc không đúng quy chế chi tiêu nội bộ với tổng số tiền hơn 1,2 tỷ đồng.
TPO - Chiều 22/5, bác sĩ Trần Anh Tân - Trưởng tua trực khoa phỏng-tạo hình thẩm mỹ, Bệnh viện Chợ Rẫy TPHCM - cho biết, bệnh nhân Vy Thanh Hiếu (SN 1970) được chuyển đến khoa lúc 13h20 cùng ngày trong tình trạng phỏng 73% độ 2-3, độ sâu 47%. Bệnh nhân đang trong giai đoạn sốc phỏng, phỏng đường hô hấp. Đánh giá chung tình trạng bệnh nhân này rất nặng.
TPO - Việc những hình xăm bí ẩn vẫn còn tồn tại, thậm chí rõ nét mồn một sau hàng ngàn năm, chứng tỏ kĩ thuật ướp xác và xăm mình của người Ai Cập cổ đại đã đạt đến độ ảo diệu.
Một bé gái 12 tuổi ngồi trên vỉa hè uống nước thì bất ngờ bị một xe du lịch 7 chỗ lao lên lề đường cuốn bé gái vào gầm xe, kéo lê cách chỗ ngồi gần cả chục mét thì mới dừng lại. Sau đó bé gái được người nhà đưa đi cấp cứu trong tình trạng đa thương, vỡ gan, vỡ lách.
Nếu chỉ dùng kháng sinh để điều trị viêm xoang mạn tính thì giống như một trận bóng đá chỉ toàn tiền vệ mà không có hậu vệ hay thủ môn. Bạn phải kết hợp giữa điều trị và phòng ngừa mới có thể đạt kết quả tốt.
Các nhà khoa học sau khi tiến hành chụp cắt lớp bức tượng Phật gần 1.000 tuổi tại Trung tâm Y tế Meander ở TP Amersfoort, Hà Lan, đã bất ngờ phát hiện xác ướp một vị hòa thượng bên trong tượng Phật này.
Phó trưởng Công an quận Hai Bà Trưng (Hà Nội) cho biết, CQĐT đã ra quyết định khởi tố vụ án, khởi tố bị can và tạm giữ hình sự đối với đánh vỡ mặt bác sĩ BV Thanh Nhàn.