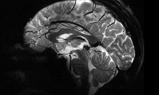
Những triển vọng được mở ra bởi cỗ máy độc đáo này trên thế giới là rất lớn, giúp các nhà khoa học thiết lập các chẩn đoán tốt hơn cho nhiều loại bệnh về não.
TPO - Giấc ngủ rất quan trọng đối với não của bạn, với 1/5 lượng máu tuần hoàn của cơ thể được truyền đến não khi bạn chìm vào giấc ngủ. Và những gì diễn ra trong não khi bạn ngủ là một giai đoạn tái tạo mạnh mẽ, điều này rất quan trọng đối với cách thức hoạt động của trí nhớ chúng ta.
TPO - Sau khi chia tay nhau, bạn có thể nghĩ rằng mình vẫn ổn cho đến khi lái xe qua một góc phố, đụng mặt một người bạn chung, hoặc nghe một bản tình ca cụ thể trên radio. Cho dù bạn muốn ngừng nghĩ về người đó đến mức nào, mọi thứ đều là lời nhắc nhở về mối quan hệ. Không thể xóa bỏ toàn bộ ký ức của bạn, vậy liệu có thể xua đuổi những suy nghĩ không mong muốn?
TPO - Bộ não của chúng ta thay đổi khi chúng ta già đi và phát triển trên Trái đất. Nhưng điều gì sẽ xảy ra với bộ não con người sau khi sống trên vũ trụ một thời gian dài?
TPO - Thiên tài Albert Einstein là nhà vật lý lý thuyết sinh người Đức và được đánh giá là một trong những cha đẻ của vật lý hiện đại. Nhà khoa học người Đức gốc Do Thái, sắc tộc chủ yếu ở Israel, nên được mời giữ cương vị tổng thống của quốc gia này.
TPO - Cá heo là loài động vật có vú sống ở đại dương nổi tiếng thân thiện, tinh nghịch và thuộc một trong những loài thông minh nhất trên trái đất. Vậy cá heo thông minh đến mức nào?
Cùng con chiến đấu với suy dinh dưỡng, thấp còi là cả một hành trình đầy gian nan, vất vả, đó là chưa kể đến những lời bàn tán xoay quanh 2 từ “mẹ vụng”. Vậy các bà mẹ hiện đại, thông thái đã làm gì để vượt qua cuộc chiến đầy cam go này, giúp con nhanh chóng thoát khỏi “con còi”, tăng cân nhanh chóng và bắt kịp đà tăng trưởng?
Bộ não với khả năng chế ngự nỗi sợ khi đu mình trên những vách đá dựng đứng của vận động viên leo núi Alex Honnold là đề tài thu hút các nhà nghiên cứu.
Những dấu hiệu cảnh báo bạn đang bị hạ đường huyết thường không rõ ràng. Nếu không được phát hiện và chữa trị kịp thời, bạn có thể bị hôn mê hoặc tử vong.
Những giấc ngủ ngắn, thậm chí cực ngắn, chỉ 6 phút mỗi lần vào ban ngày có thể giúp kích hoạt quá trình tích luỹ ký ức của bộ não để nâng cao khả năng ghi nhớ.
60 năm sau cái chết của thiên tài vật lý Albert Einstein, các lát não còn lại của nhà khoa học vĩ đại nhất thế kỷ XX vẫn đang được trưng bày công khai tại một địa điểm duy nhất trên thế giới.
Trong quá trình khám nghiệm tử thi Albert Einstein, bác sĩ Thomas Harvey là người phát hiện nguyên nhân cái chết do vỡ động mạch chủ. Sau này, ông cũng là người giữ bộ não trong nhiều năm.