Với hơn 30 năm phục vụ trong quân đội, AH-64 Apache đã và đang là "xương sống" của lực lượng trực thăng tấn công trong quân đội Mỹ và nhiều nước đồng minh.
TPO - Trong quá trình tiến hóa, con người cần phải vươn lên cao để hái lượm thức ăn cũng như tiết kiệm năng lượng, nên đã chuyển từ việc đi bằng 4 chân sang 2 chân. Thế nhưng điều này lại gây ra các vấn đề với lưng.
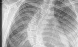
TPO - Sự phối hợp kịp thời, nhanh chóng của các bác sỹ Bệnh viện Đa khoa tỉnh Phú Thọ đã mang lại kì tích, kịp thời cứu chữa người bệnh từ cõi chết trở về.
TPO - Thoát vị đĩa đệm không chỉ gây đau đớn cho người bệnh, sức khỏe giảm sút mà nó còn còn ảnh hưởng rất lớn đến cuộc sống sinh hoạt hằng ngày. 'Thủ phạm' gây nên căn bệnh này lại có thể do những thói quen xấu của chính chúng ta.
TPO - Sinh vật kì quái này được những người nhìn thấy miêu tả là có vẻ ngoài giống với sinh vật ngoài hành tinh bước ra từ phim viễn tưởng. Nó có vảy giống cá, nhưng lại có… chân và có một chiếc mũi giống mũi người.
Mới đây, cuộc gặp gỡ tình cờ với một sinh vật không rõ nguồn gốc tại đồn điền cọ dầu ở bang Sarawak, Malaysia gây ớn lạnh xương sống cho một nhóm công nhân người Indonesia.
Để cải thiện chứng yếu sinh lý ở nam giới cũng như nhiều rắc rối nam khoa khác, gừng tươi và cá chạch đã được nhiều nghiên cứu chỉ ra như là "thần dược".
Tờ News Sientist của Mỹ đưa tin, các nhà khoa học Bỉ và Hà Lan vừa lắp thành công hàm răng mới cho cụ bà người Bỉ 83 tuổi nhờ máy in xương công nghệ 3D. Cụ bà này đã có thể nhai, nói và thở bình thường trở lại ngay sau khi phẫu thuật.
Hệ xương được coi là “giá đỡ” của cơ thể, có tác dụng bảo vệ các cơ quan, tích trữ canxi, magiê và các loại khoáng chất. Thế nhưng những thói quen xấu dưới đây sẽ gây đau lưng, đau mỏi các khớp hay thậm chí là gãy xương…