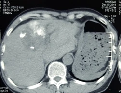
Cụ ông vỡ u gan, máu tràn ngập ổ bụng mà không hề biết
Các bác sĩ Bệnh viện Ung Bướu Hà Nội vừa thực hiện thành công ca cấp cứu u gan vỡ gây mất máu cấp, có nguy cơ tử vong cao nếu không được can thiệp kịp thời. Bệnh nhân được cầm máu bằng phương pháp nút tắc động mạch gan, giúp vượt qua “cửa tử”.