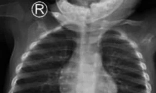
TPO - Trẻ ngậm trong miệng rồi nuốt lúc nào không biết, đến khi đau đớn quằn quại phải nhập viện thì đã bị thủng ruột bởi 2 viên bi nam châm gây ra. Bác sĩ cảnh báo, nuốt dị vật là tai nạn rất nguy hiểm có thể cướp đi sinh mạng của bệnh nhi.
Ngoài giá trị dinh dưỡng, hồng xiêm còn được dùng làm thuốc chữa bệnh. Quả hồng xiêm còn xanh là một vị thuốc chữa tiêu chảy tốt vì có chứa nhiều tanin.