TPO - Khi các đại dịch càn quét qua hàng loạt quốc gia trong nhiều thế kỷ, trước khi tìm ra vắc-xin, nhân loại đã nghĩ ra những "chiến lược sinh tồn" độc đáo.
TPO - Bộ Y tế Mông Cổ thông báo một công dân nước này đã tử vong vì dịch hạch, làm dấy lên lo ngại rằng quốc gia này có thể sẽ trải qua một đợt bùng phát dịch bệnh trên quy mô lớn.
TPO - Một con sóc đã được xác nhận dương tính với virus gây bệnh dịch hạch ở thành phố Morrison (hạt Jefferson, bang Colorado, Mỹ), theo cơ quan chức trách địa phương.
TPO - Lịch sử từng ghi nhận 3 lần bùng phát đại dịch hạch. Trong đó, lần bùng phát kinh hoàng nhất là Cái chết đen (thế kỉ 14) khiến 75 đến 200 triệu người thiệt mạng. Đại dịch hạch gần nhất bùng phát ở Trung Quốc và Ấn Độ trong khoảng thế kỉ 19 - 20, khiến 12 triệu người thiệt mạng.
TPO - Nga đã tăng cường tuần tra để ngăn chặn người dân săn bắn gần khu vực biên giới với Trung Quốc và Mông Cổ, sau khi các nước này xuất hiện ca bệnh hoặc nghi mắc dịch hạch.
TPO - Từ năm 430 đến năm 426 trước Công nguyên, đại dịch thành Athens làm thành phố mất đi ưu thế trong Chiến tranh Peloponnesian, khiến 1/4 dân số và binh lính ở đây tử vong trong vòng 4 năm.
TPO - Đại dịch này đã cướp đi trên 25 triệu người ở Tây Âu từ năm 1347 đến 1351. Theo thống kê, đại dịch này đã cướp đi sinh mạng của gần 60% dân số châu Âu và giảm dân số toàn cầu từ khoảng 450 triệu người xuống còn từ 350 đến 375 triệu người vào năm 1400.
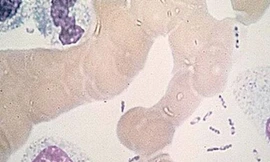
TPO - Ngành y tế Trung Quốc đang áp dụng các biện pháp phòng ngừa sau khi phát hiện hai người mắc bệnh dịch hạch – căn bệnh từng gây đại dịch “Cái chết đen” quét qua châu Á, châu Âu hồi thế kỷ 14, làm biến mất 30-60% dân số châu Âu.
TPO - Các công nhân đào đường ở London (Anh) đã tìm thấy hài cốt của hai nạn nhân nam thiệt mạng trong dịch bệnh Cái chết đen (thế kỉ 15). Hai nạn nhân nằm song song nhưng mặt đối mặt, tay nắm tay suốt hơn 6 thế kỉ.
Sedlec Ossuary thuộc Cộng hoà Séc là nơi trưng bày hài cốt các nạn nhân của bệnh dịch hạch từ những năm 1318. Nơi này được ước tính lưu giữ từ 40.000 đến 70.000 bộ xương.
TP - Ngày 2/12, tại buổi họp Ban Chỉ đạo phòng chống dịch bệnh, Cục trưởng Cục Y tế dự phòng (Bộ Y tế) Trần Đắc Phu cho biết, trước thông báo của Tổ chức Y tế Thế giới (WHO) về dịch hạch xảy ra tại Madagascar, Cục đã có văn bản chỉ đạo sở y tế các tỉnh, thành phố tăng cường công tác phòng chống bệnh dịch hạch.
Theo PGS.TS Nguyễn Văn Kính – Giám đốc Bệnh viện Bệnh Nhiệt đới Trung ương, dịch hạch là một bệnh truyền nhiễm nguy hiểm chưa có vaccine phòng bệnh. Người dân cần chủ động phòng tránh, đặc biệt đề phòng nguồn trung gian gây bệnh từ chuột. Ngoài ra, chuột còn là vật chủ mang đến 35 loại bệnh nguy hiểm cho con người.
Ngày 24/11, ông Trần Đắc Phu, Cục trưởng Cục Y tế dự phòng (Bộ Y tế) có văn bản khẩn gửi Sở Y tế các tỉnh, TP về việc tăng cường giám sát bệnh dịch hạch.