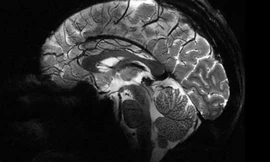
TPO - Chụp cộng hưởng từ (CHT hay MRI) là một kỹ thuật ghi hình ảnh sử dụng từ trường mạnh và sóng radio để tạo nên những hình ảnh của các cơ quan và cấu trúc bên trong cơ thể. MRI không sử dụng phóng xạ ion hóa (không dùng tia X)
TPO - Bệnh nhân bị giật kinh phong (động kinh) không chỉ ảnh hưởng nghiêm trọng đến chất lượng sống mà còn đe dọa trực tiếp đến tính mạng. Bệnh lý này hiện nay đã có thể điều trị hiệu quả bằng phương pháp đặt điện cực kích thích não sâu.
TPO - Biến chứng rung nhĩ khiến nữ bệnh nhân rơi vào tình trạng đột quỵ liên tiếp 2 lần trong vòng 48 giờ. Người bệnh đã may mắn được các bác sĩ can thiệp kịp thời giúp qua cơn nguy kịch.
TP - PGS.TS Đào Xuân Cơ, Giám đốc Bệnh viện Bạch Mai, cho biết, từ ngày 1/8, Bệnh viện sẽ mở rộng khung giờ khám bệnh ngoài giờ hành chính, từ 17 - 21 giờ các ngày trong tuần.
Những triển vọng được mở ra bởi cỗ máy độc đáo này trên thế giới là rất lớn, giúp các nhà khoa học thiết lập các chẩn đoán tốt hơn cho nhiều loại bệnh về não.
TPO - Năm 1936, nhà văn người Mỹ Lowell Thomas đã viết trong phần giới thiệu cuốn sách "Đắc nhân tâm" của Dale Carnegie một điều mà sau này trở thành một tuyên bố thường được nhắc đi nhắc lại như : "Giáo sư William James của trường Harvard từng nói rằng một người bình thường chỉ phát triển 10% về khả năng trí tuệ tiềm ẩn của anh ta."
TPO - Không đủ hóa chất, vật tư y tế tiêu hao cần thiết cho hoạt động khám chữa bệnh đang trở thành nguyên nhân chính khiến Bệnh viện Chợ Rẫy đối mặt với nguy cơ phải tạm ngừng hoạt động. Các khó khăn trên xuất phát từ những bất cập trong các quy định về đấu thầu vừa được bệnh viện báo cáo đến Bộ Y tế.
TPO - Bất ngờ bị vàng da kèm theo tình trạng đau nhói vùng hạ sườn phải, nam bệnh nhân đi thăm khám thì được bác sĩ chẩn đoán bị khối u gan có dấu hiệu di căn. Ung thư gan đang đứng đầu trong các loại ung thư tại Việt Nam, cộng đồng cần chủ động tầm soát để phát hiện, điều trị sớm.
TPO - Được 13 bác sĩ tại Mỹ chăm sóc trong vòng 1 năm và qua 24 lần kiểm tra điều trị nhưng chứng đau đầu của Natasha không giảm. Cô qua đời vì u não do không được chụp cộng hưởng từ (MRI).