TPO - Bệnh viện đa khoa tỉnh Phú Thọ vừa phẫu thuật thành công cho một bé gái 16 tháng tuổi (trú tại Hà Lộc, thị xã Phú Thọ, Tỉnh Phú Thọ) có tới 3 quả thận và 3 ống niệu quản riêng biệt.
Theo chị Hương, mẹ cháu bé cho biết khi mang thai dược 28 tuần, chị được bác sĩ thông báo thai nhi có dấu hiệu giãn đài bể thận trái, theo dõi hẹp khúc nối bể thận – niệu quản trái.
Sau khi chào đời, trẻ được gia đình đưa đi khám và phát hiện thận – niệu quản đôi bên trái nhưng chưa có chỉ định mổ.
Gần đây, gia đình phát hiện thấy hố thận trái của trẻ to hơn bình thường kèm theo tiểu són nên đưa đến TT Sản nhi, BV đa khoa tỉnh Phú Thọ kiểm tra lại. Ngay lập tức, bác sĩ đã chỉ định nhập viện để phẫu thuật.
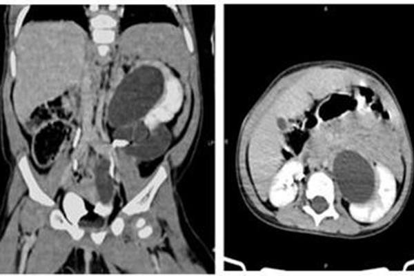
Hình ảnh 3 quả thận nhìn rõ sau khi chụp cắt lớp vi tính.
BS Triệu Mạnh Toàn, Phó khoa Ngoại nhi tổng hợp cho biết, bệnh nhi bị giãn đài bể thận trái, có 2 thận trái với 2 hệ thống đài bể thận và niệu quản riêng biệt, đơn vị thận phụ bên trái (đơn vị thận trên) ứ nước do sa lồi niệu quản vào lòng bàng quang, còn chức năng. Thận dưới trái hình thái và chức năng bình thường.
Sau mổ ngày thứ nhất trẻ đã ăn uống bình thường và tự đi lại. Đến ngày thứ 2 trẻ được rút toàn bộ sonde. Sau 5 ngày điều trị hậu phẫu, sức khỏe bệnh nhi ổn định và được cho xuất viện.
Dị tật đường tiết niệu có thể phát hiện trong thời kỳ bào thai qua siêu âm. Do đó, các thai phụ nên tuân thủ đúng việc khám thai định kỳ tại những cơ sở y tế uy tín để có thể phát hiện bệnh sớm và có hướng điều trị sau sinh phù hợp.

Qua hậu kiểm việc quảng cáo thực phẩm bảo vệ sức khỏe trên internet, Cục An toàn thực phẩm- Bộ Y tế đã phát hiện 4 sản phẩm thực phẩm bảo vệ sức khoẻ vi phạm quy định về quảng cáo, thậm chí có sản phẩm còn quảng cáo như thuốc chữa bệnh.

Chiều nay (21/5) sẽ có thêm 2 bệnh nhân COVID-19 được công bố khỏi bệnh là bệnh nhân 188 - nhân viên công ty TNHH Trường Sinh từng điều trị ở bệnh viện Đa khoa tỉnh Hà Nam. Đây là người phụ nữ tái dương tính sau khi được công bố khỏi bệnh ngày 16/4. Người thứ 2 là bệnh nhân 261, ở thôn Hạ Lôi, xã Mê Linh, Hà Nội.

Theo tổ chức y tế thế giới WHO, tỷ lệ người mắc bệnh ung thư vú trên thế giới ngày càng tăng cao, đặc biệt là ở các nước đang phát triển. Ở Việt Nam ung thư vú đứng hàng đầu về tỷ lệ mắc và hàng thứ 3 về tỷ lệ tử vong ở nữ giới.

Cà phê, trà, bia, hải sản, khoai tây chiên, kem, nước trái cây, món ăn cay... những thực phẩm ngon miệng được nhiều người mê mẩn nhưng không ngờ lại có thể gây nên những bất lợi cho hệ hô hấp, 'phá hoại' phổi.

Bé gái 4 tháng tuổi sau khi uống thuốc 2 ngày đã không đi ngoài nhưng xuất hiện tình trạng li bì, ngủ nhiều hơn bình thường. Đến tối 15/5/2020 trẻ xuất hiện tình trạng co giật toàn thân, mắt trợn ngược, sùi bọt mép, tay co quắp, chân duỗi cứng. Lúc này gia đình mới đưa cháu vào Trung tâm y tế địa phương.