Chiều 13/7, thông tin từ Bệnh viện Đa khoa tỉnh Quảng Trị, đơn vị vừa thực hiện thành công ca phẫu thuật nội soi sau phúc mạc, cắt bỏ thận phải ứ mủ cho một bệnh nhân người Lào.
Bệnh nhân H.T. M. nhập viện trong tình trạng sốt cao, bụng đau quặn từng cơn ở vùng hông, bụng to lệch bên phải, kích thước gần như một người mang thai 8 tháng. Theo lời bệnh nhân M, tình trạng này đã xảy ra từ 10 năm nay, song điều kiện kinh tế khó khăn nên không đến bệnh viện được; 3 năm nay, kích thước bụng bệnh nhân ngày càng to lên.
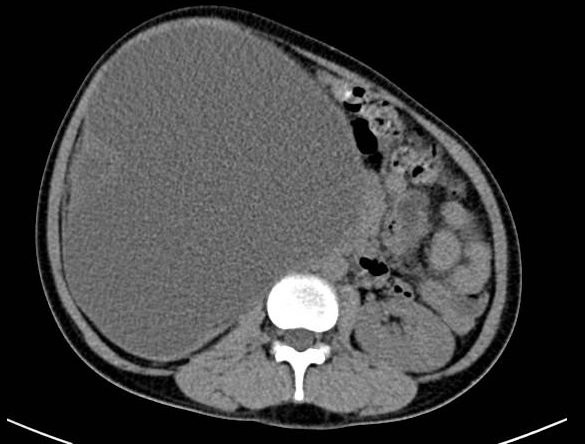
![]() |
| Hình ảnh cắt lớp vi tính của bệnh nhân M. trước lúc phẫu thuật. Ảnh: BVĐKQT |
Quá trình thăm khám kết hợp với kết quả xét nghiệm, siêu âm và chụp cắt lớp vi tính ổ bụng, các bác sĩ phát hiện thận bệnh nhân bị ứ nước độ 4 do sỏi niệu quản (nhu mô thận chỉ còn như tờ giấy) kèm theo triệu chứng nhiễm trùng. Bệnh nhân M. được chẩn đoán thận phải ứ mủ độ 4, mất chức năng.
Ngày 12/7, bệnh nhân M. đã được tiến sĩ, bác sĩ Phan Khánh Việt-Trưởng Khoa Ngoại tổng hợp cùng các y, bác sĩ phẫu thuật nội soi sau phúc mạc cắt bỏ thận phải ứ mủ, mất chức năng. Quá trình phẫu thuật, do tình trạng viêm dính cùng với thận quá lớn làm thay đổi tương đối về giải phẫu đã khiến các bác sĩ gặp khó khăn trong bóc tách. Từ thận phải của bệnh nhân đã hút ra 4,5 lít dịch mủ.
![]() |
| Sau phẫu thuật, sức khỏe của bệnh nhân M. đã ổn định. Ảnh: BVĐKQT |
“Nhờ phẫu thuật nội soi nên bệnh nhân M. đã phục hồi sớm hơn, hiện có thể tự ngồi dậy và đi lại nhẹ nhàng. Người dân nên thực hiện thăm khám định kỳ hoặc đến bệnh viện kiểm tra lúc có các biểu hiện bất thường, tránh để tình trạng bệnh trở nặng”, bác sĩ Việt khuyến cáo.

